IHCeasy® TARS Ready-To-Use IHC Kit
TARS Ready-to-use reagent kit for IHC.
Reactivity
Human, Mouse, Rat
Sample Type
FFPE tissue
Cat no : KHC3203
Synonyms
EC:6.1.1.3, TARS1, Threonine tRNA ligase, Threonine--tRNA ligase 1, cytoplasmic, Threonyl-tRNA synthetase
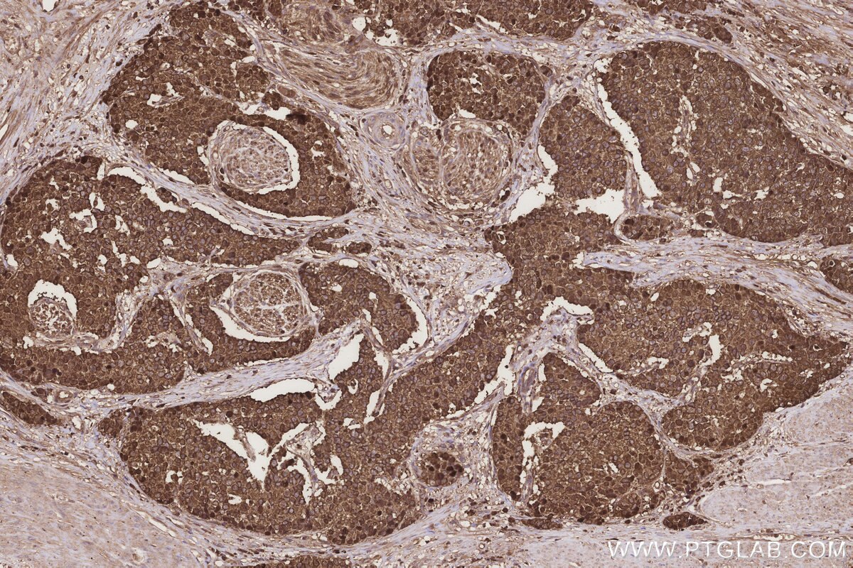
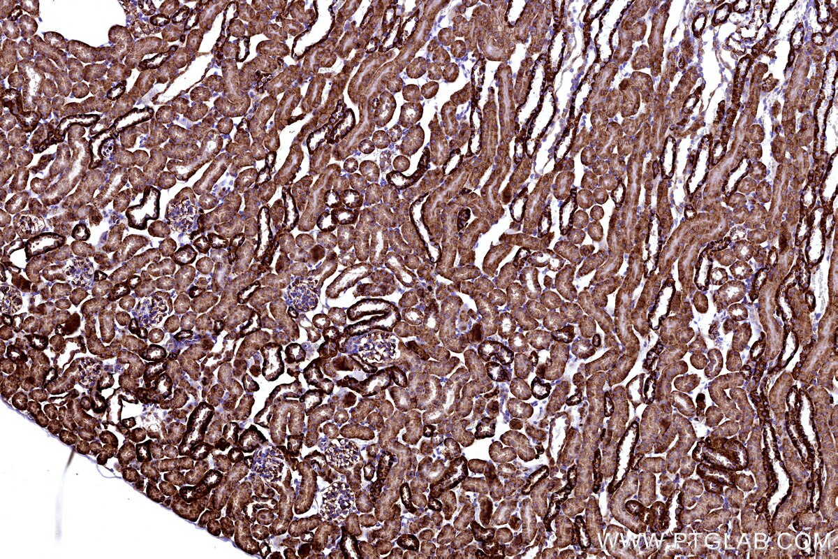
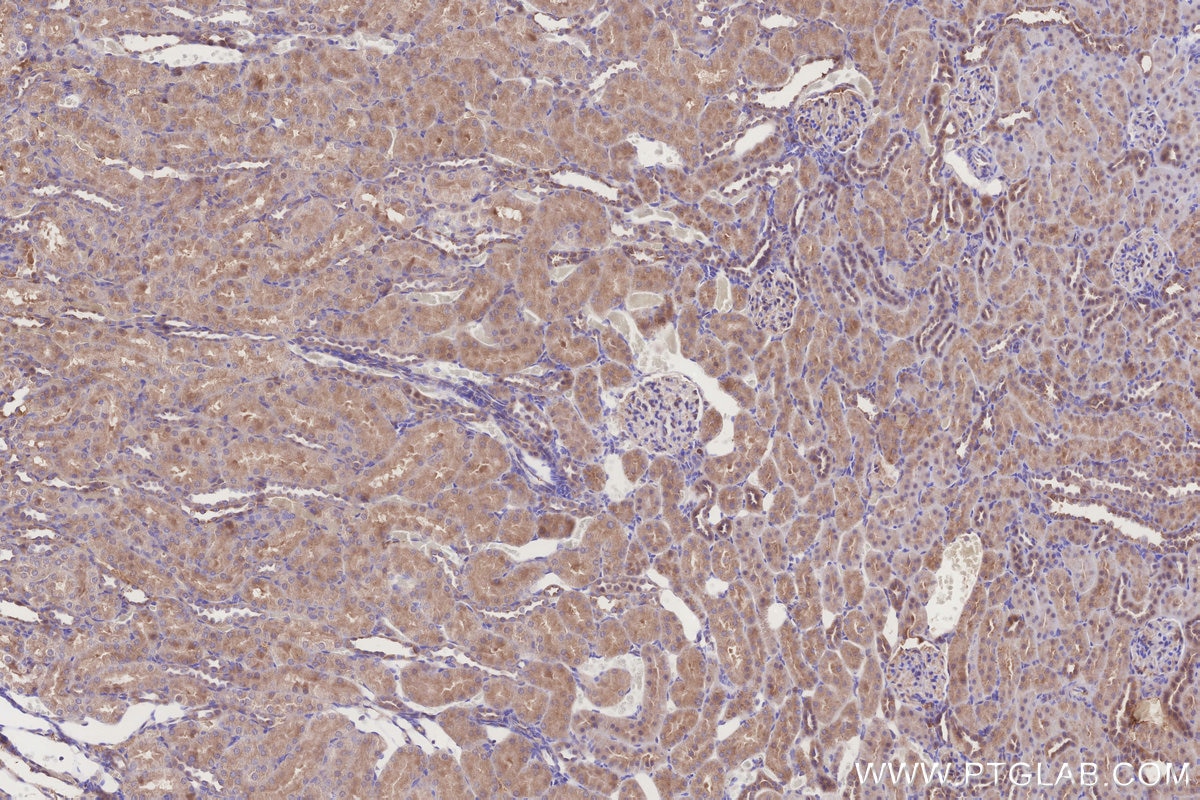
Validation Data Gallery
Product Information
KHC3203 is a ready-to-use IHC kit for staining of TARS. The kit provides all reagents, from antigen retrieval to cover slip mounting, that require little to no diluting or handling prior to use. Simply apply the reagents to your sample slide according to the protocol and you're steps away from obtaining high-quality IHC data.
| Product name | IHCeasy® TARS Ready-To-Use IHC Kit |
| Sample type | FFPE tissue |
| Assay type | Immunohistochemistry |
| Primary antibody type | Mouse Monoclonal |
| Secondary antibody type | Polymer-HRP-Goat anti-Mouse |
| Reactivity | Human, Mouse, Rat |
Kit components
| Component | Size | Concentration |
|---|---|---|
| Antigen Retrieval Buffer | 100 mL | 50× |
| Washing Buffer | 100 mL ×2 | 20× |
| Blocking Buffer | 5 mL | RTU |
| Primary Antibody | 5 mL | RTU |
| Secondary Antibody | 5 mL | RTU |
| Chromogen Component A | 0.2 mL | RTU |
| Chromogen Component B | 4 mL | RTU |
| Signal Enhancer | 5 mL | RTU |
| Counter Staining Reagent | 5 mL | RTU |
| Mounting Media | 5 mL | RTU |
| Datasheet | 1 Copy | |
| Manual | 1 Copy |
Background Information
TARS (Threonyl-tRNA synthetase), also known as threonine-tRNA ligase or ThrRS, belongs to the aminoacyl-tRNA synthetase family. Aminoacyl-tRNA synthetase (aaRS) catalyzes the specific esterification of an amino acid with the 3'-terminal hydroxyl group of its cognate tRNA. Specificity of aminoacylation catalyzed by aaRSs ensures the accurate translation of the genetic code in the first step of protein synthesis.
Properties
| Storage Instructions | All the reagents are stored at 2-8°C. The kit is stable for 6 months from the date of receipt. |
| Synonyms | EC:6.1.1.3, TARS1, Threonine tRNA ligase, Threonine--tRNA ligase 1, cytoplasmic, Threonyl-tRNA synthetase |



