IHCeasy® Spartan Ready-To-Use IHC Kit
Spartan Ready-to-use reagent kit for IHC.
Reactivity
Human, Mouse
Sample Type
FFPE tissue
Cat no : KHC2897
Synonyms
C1orf124, DVC1, DDDL1880, PRO4323, SPRTN
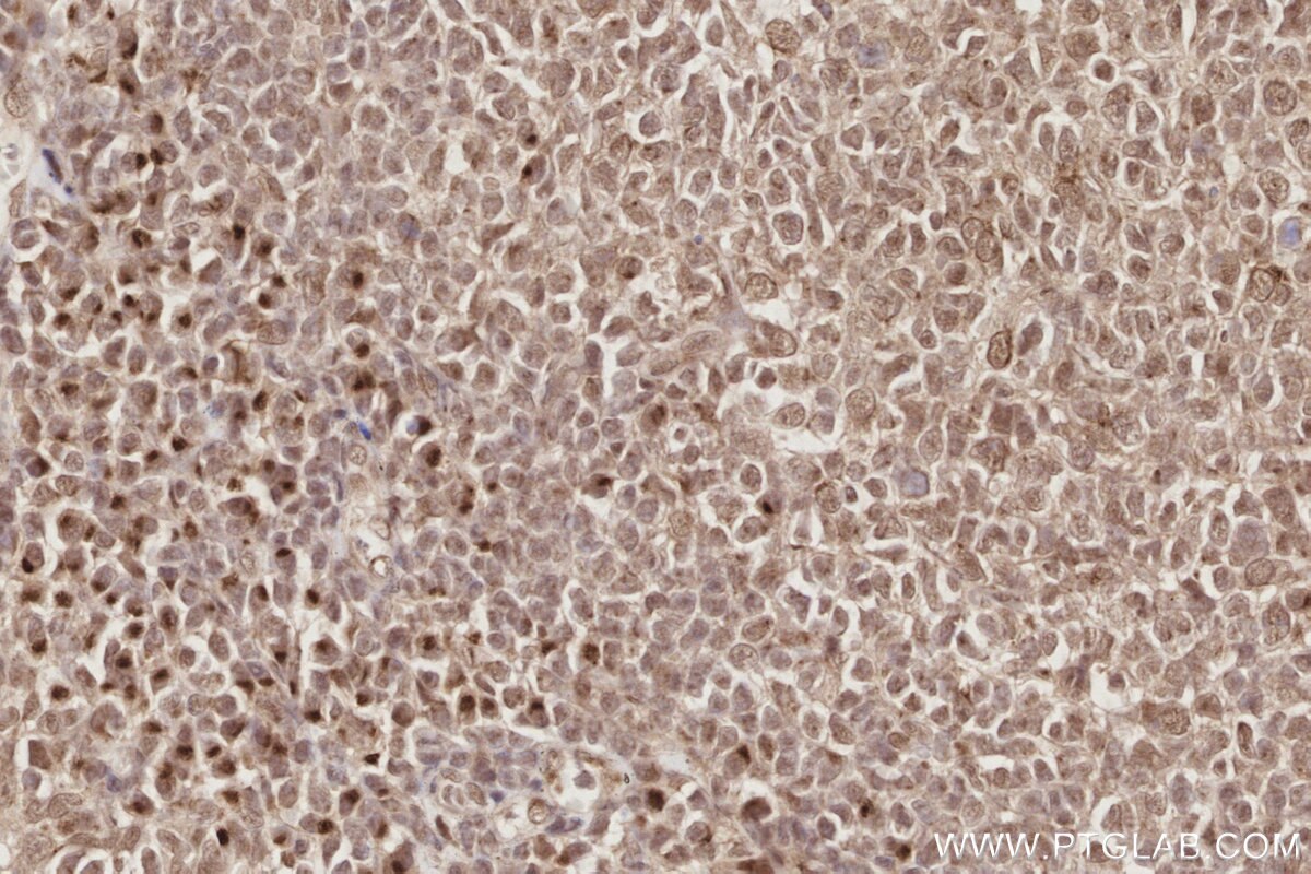
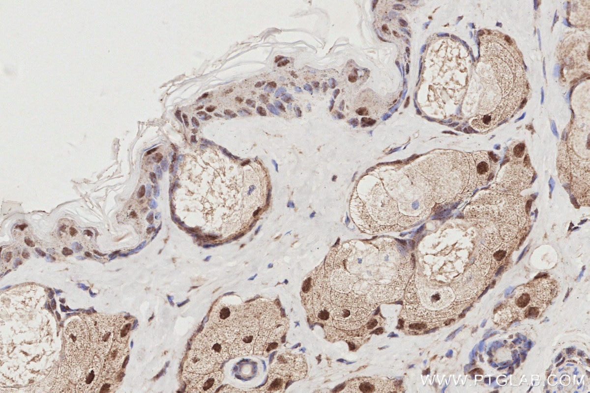
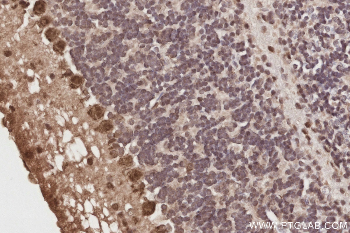
Validation Data Gallery
Product Information
KHC2897 is a ready-to-use IHC kit for staining of Spartan. The kit provides all reagents, from antigen retrieval to cover slip mounting, that require little to no diluting or handling prior to use. Simply apply the reagents to your sample slide according to the protocol and you're steps away from obtaining high-quality IHC data.
| Product name | IHCeasy Spartan Ready-To-Use IHC Kit |
| Sample type | FFPE tissue |
| Assay type | Immunohistochemistry |
| Primary antibody type | Rabbit Polyclonal |
| Secondary antibody type | Polymer-HRP-Goat anti-Rabbit |
| Reactivity | Human, Mouse |
Kit components
| Component | Size | Concentration |
|---|---|---|
| Antigen Retrieval Buffer | 100 mL | 50× |
| Washing Buffer | 100 mL ×2 | 20× |
| Blocking Buffer | 5 mL | RTU |
| Primary Antibody | 5 mL | RTU |
| Secondary Antibody | 5 mL | RTU |
| Chromogen Component A | 0.2 mL | RTU |
| Chromogen Component B | 4 mL | RTU |
| Signal Enhancer | 5 mL | RTU |
| Counter Staining Reagent | 5 mL | RTU |
| Mounting Media | 5 mL | RTU |
| Datasheet | 1 Copy | |
| Manual | 1 Copy |
Background Information
Spartan (Protein with SprT-like domain at the N terminus), also known as DVC1 or C1orf124, is a replication-coupled DNA-dependent metalloprotease that cleaves proteins cross-linked to DNA to promote DPC repair. Spartan protease activity is stimulated by DNA binding, while posttranslational modification of Spartan governs both its protease activity and recruitment to the DPC on chromatin. The regulation of Spartan includes a ubiquitin switch (where deubiquitination activates its proteolytic activity), and acetylation and phosphorylation switches (which facilitate DNA binding).
Properties
| Storage Instructions | All the reagents are stored at 2-8°C. The kit is stable for 6 months from the date of receipt. |
| Synonyms | C1orf124, DVC1, DDDL1880, PRO4323, SPRTN |



