IHCeasy® STT3A Ready-To-Use IHC Kit

STT3A Ready-to-use reagent kit for IHC.

Reactivity

Human, Mouse, Rat

Sample Type

FFPE tissue

Cat no : KHC3213

Synonyms

B5, Dolichyl-diphosphooligosaccharide--protein glycosyltransferase subunit STT3A, EC:2.4.99.18, Integral membrane protein 1, ITM1



Product Information

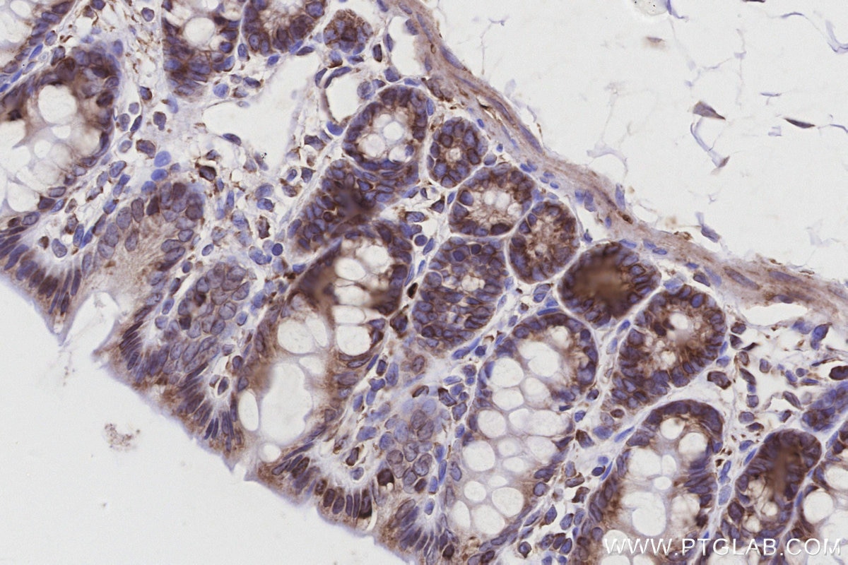
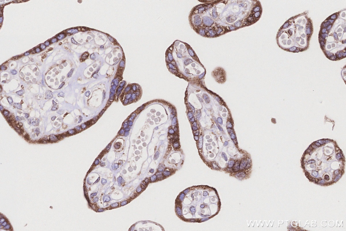
KHC3213 is a ready-to-use IHC kit for staining of STT3A. The kit provides all reagents, from antigen retrieval to cover slip mounting, that require little to no diluting or handling prior to use. Simply apply the reagents to your sample slide according to the protocol and you're steps away from obtaining high-quality IHC data.

Product name IHCeasy® STT3A Ready-To-Use IHC Kit
Sample type FFPE tissue
Assay type Immunohistochemistry
Primary antibody type Mouse Monoclonal
Secondary antibody type Polymer-HRP-Goat anti-Mouse
Reactivity Human, Mouse, Rat

Kit components

ComponentSizeConcentration
Antigen Retrieval Buffer100 mL50×
Washing Buffer100 mL ×220×
Blocking Buffer5 mLRTU
Primary Antibody5 mLRTU
Secondary Antibody5 mLRTU
Chromogen Component A0.2 mLRTU
Chromogen Component B4 mLRTU
Signal Enhancer5 mLRTU
Counter Staining Reagent5 mLRTU
Mounting Media5 mLRTU
Datasheet1 Copy
Manual1 Copy

Background Information

STT3A, also named as Integral membrane protein 1, belongs to the STT3 family. STT3A is expressed at high levels in placenta, liver, muscle and pancreas, and at very low levels in brain, lung and kidney. STT3A is a catalytic subunit of the N-oligosaccharyl transferase (OST) complex which catalyzes the transfer of a high mannose oligosaccharide from a lipid-linked oligosaccharide donor to an asparagine residue within an Asn-X-Ser/Thr consensus motif in nascent polypeptide chains. STT3A is present in the majority of OST complexes and mediates cotranslational N-glycosylation of most sites on target proteins, while STT3B-containing complexes are required for efficient post-translational glycosylation and mediate glycosylation of sites that have been skipped by STT3A.

Properties

Storage Instructions All the reagents are stored at 2-8°C. The kit is stable for 6 months from the date of receipt.
Synonyms B5, Dolichyl-diphosphooligosaccharide--protein glycosyltransferase subunit STT3A, EC:2.4.99.18, Integral membrane protein 1, ITM1
||
New chat

Able

正在加载,请稍候...