IHCeasy® STK24 Ready-To-Use IHC Kit
STK24 Ready-to-use reagent kit for IHC.
Reactivity
Human, Mouse
Sample Type
FFPE tissue
Cat no : KHC3090
Synonyms
EC:2.7.11.1, Mammalian STE20-like protein kinase 3, MST3, Serine/threonine-protein kinase 24 12 kDa subunit, Serine/threonine-protein kinase 24 36 kDa subunit
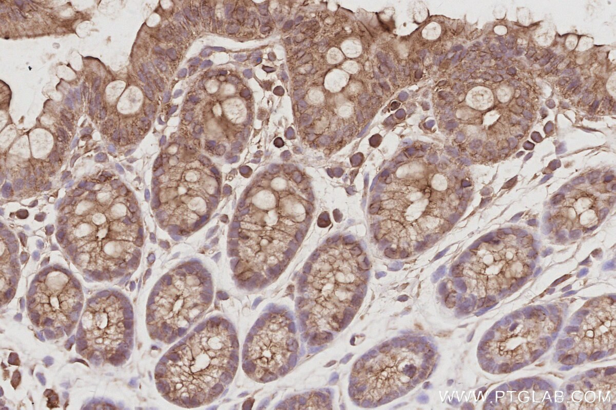
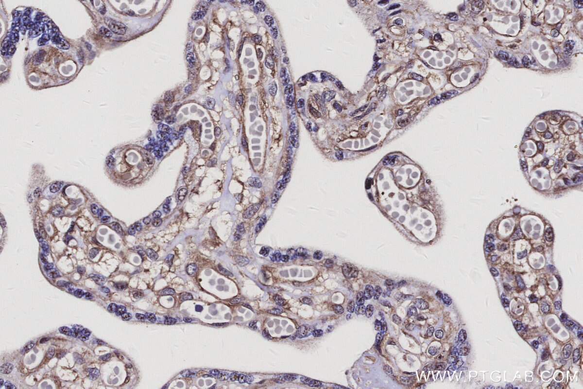
Validation Data Gallery
Product Information
KHC3090 is a ready-to-use IHC kit for staining of STK24. The kit provides all reagents, from antigen retrieval to cover slip mounting, that require little to no diluting or handling prior to use. Simply apply the reagents to your sample slide according to the protocol and you're steps away from obtaining high-quality IHC data.
| Product name | IHCeasy® STK24 Ready-To-Use IHC Kit |
| Sample type | FFPE tissue |
| Assay type | Immunohistochemistry |
| Primary antibody type | Rabbit Polyclonal |
| Secondary antibody type | Polymer-HRP-Goat anti-Rabbit |
| Reactivity | Human, Mouse |
Kit components
| Component | Size | Concentration |
|---|---|---|
| Antigen Retrieval Buffer | 100 mL | 50× |
| Washing Buffer | 100 mL ×2 | 20× |
| Blocking Buffer | 5 mL | RTU |
| Primary Antibody | 5 mL | RTU |
| Secondary Antibody | 5 mL | RTU |
| Chromogen Component A | 0.2 mL | RTU |
| Chromogen Component B | 4 mL | RTU |
| Signal Enhancer | 5 mL | RTU |
| Counter Staining Reagent | 5 mL | RTU |
| Mounting Media | 5 mL | RTU |
| Datasheet | 1 Copy | |
| Manual | 1 Copy |
Background Information
Serine/threonine-protein kinase 24 (STK24), also named MST3, belonging to GCK subfamily of STE20-like kinases, acts on both serine and threonine residues and promotes apoptosis in response to stress stimuli and caspase activation. STK24 and STK25 operate in the same cardiovascular development pathway with programmed cell death 10 (CCM3). It regulates axon outgrowth in forebrain neurons.
Properties
| Storage Instructions | All the reagents are stored at 2-8°C. The kit is stable for 6 months from the date of receipt. |
| Synonyms | EC:2.7.11.1, Mammalian STE20-like protein kinase 3, MST3, Serine/threonine-protein kinase 24 12 kDa subunit, Serine/threonine-protein kinase 24 36 kDa subunit |


