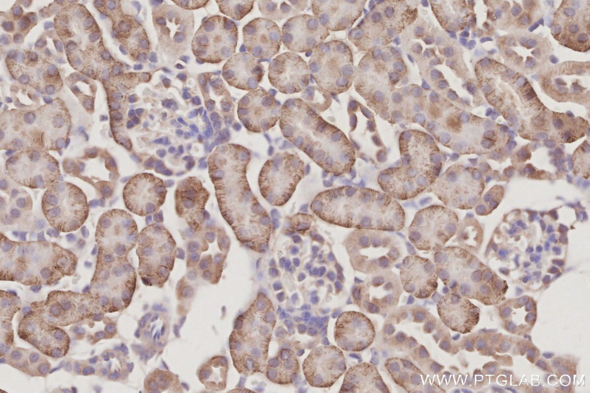
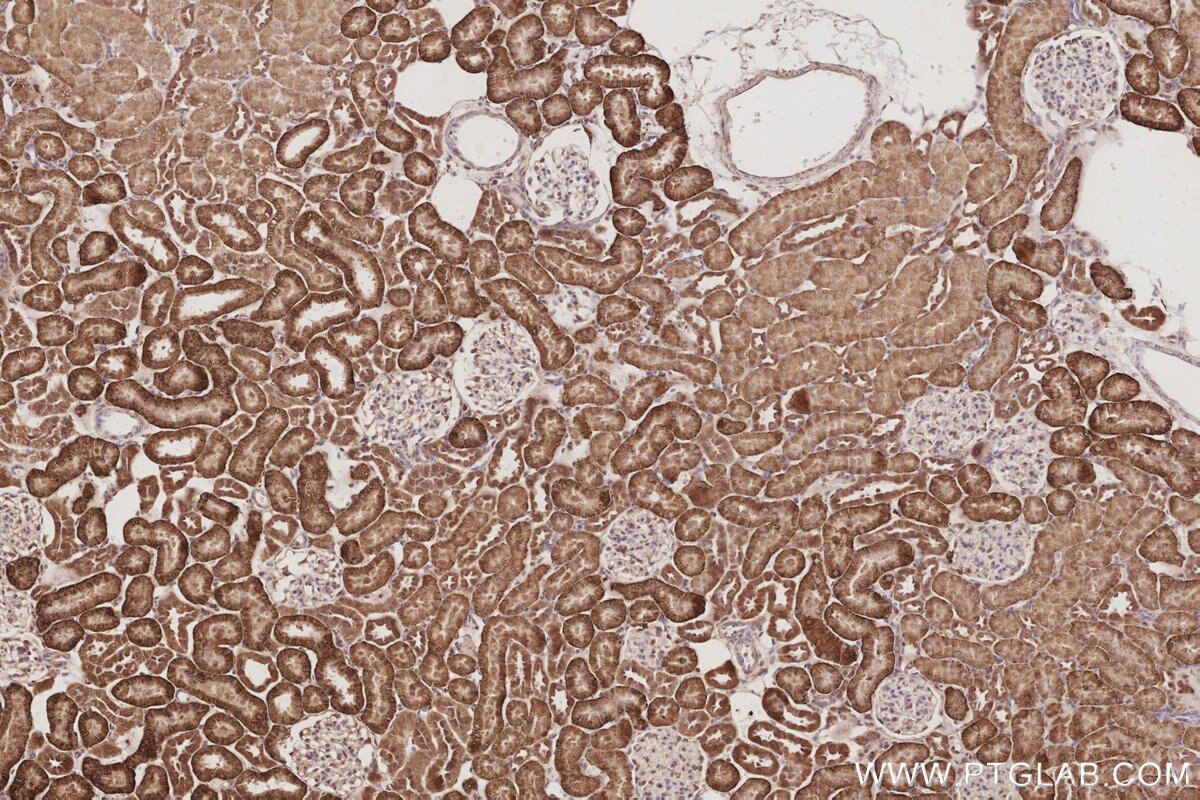
IHCeasy® SLC4A7/NBCn1 Ready-To-Use IHC Kit
SLC4A7/NBCn1 Ready-to-use reagent kit for IHC.
Reactivity
Human, Mouse, Rat
Sample Type
FFPE tissue
Cat no : KHC3094
Synonyms
NBCn1, SLC4A7, NBC2, NBC3
Validation Data Gallery
Product Information
KHC3094 is a ready-to-use IHC kit for staining of SLC4A7/NBCn1. The kit provides all reagents, from antigen retrieval to cover slip mounting, that require little to no diluting or handling prior to use. Simply apply the reagents to your sample slide according to the protocol and you're steps away from obtaining high-quality IHC data.
| Product name | IHCeasy® SLC4A7/NBCn1 Ready-To-Use IHC Kit |
| Sample type | FFPE tissue |
| Assay type | Immunohistochemistry |
| Primary antibody type | Rabbit Polyclonal |
| Secondary antibody type | Polymer-HRP-Goat anti-Rabbit |
| Reactivity | Human, Mouse, Rat |
Kit components
| Component | Size | Concentration |
|---|---|---|
| Antigen Retrieval Buffer | 100 mL | 50× |
| Washing Buffer | 100 mL ×2 | 20× |
| Blocking Buffer | 5 mL | RTU |
| Primary Antibody | 5 mL | RTU |
| Secondary Antibody | 5 mL | RTU |
| Chromogen Component A | 0.2 mL | RTU |
| Chromogen Component B | 4 mL | RTU |
| Signal Enhancer | 5 mL | RTU |
| Counter Staining Reagent | 5 mL | RTU |
| Mounting Media | 5 mL | RTU |
| Datasheet | 1 Copy | |
| Manual | 1 Copy |
Background Information
SLC4A7 also known as NBCn1, NBC3, NBC2, is an electroneutral Na(+)/HCO(3)(-) cotransporter. SLC4A7 mediates the coupled movement of sodium and bicarbonate ions across the plasma membrane. SLC4A7 plays a key role in macrophage acidification, mediating bicarbonate import into the cytoplasm which is crucial for net acid extrusion and maintenance of cytoplasmic pH during phagocytosis. SLC4A7 is expressed in testis, spleen, and retina. SLC4A7 may be a major regulator of extracellular pH of retina where light stimulation produces an extracellular alkalization and may contribute as a solute transporter to the prevention of retinal detachment.
Properties
| Storage Instructions | All the reagents are stored at 2-8°C. The kit is stable for 6 months from the date of receipt. |
| Synonyms | NBCn1, SLC4A7, NBC2, NBC3 |





