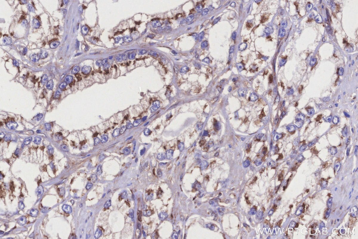
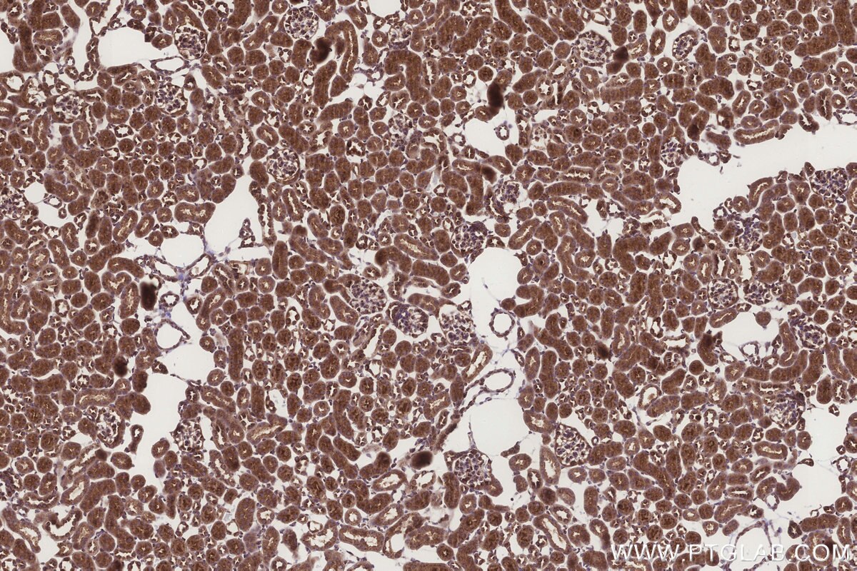
IHCeasy® SGMS1 Ready-To-Use IHC Kit
SGMS1 Ready-to-use reagent kit for IHC.
Reactivity
Human, Mouse
Sample Type
FFPE tissue
Cat no : KHC3284
Synonyms
EC:2.7.8.27, hmob33, Medulla oblongata-derived protein, MOB, MOB1
Validation Data Gallery
Product Information
KHC3284 is a ready-to-use IHC kit for staining of SGMS1. The kit provides all reagents, from antigen retrieval to cover slip mounting, that require little to no diluting or handling prior to use. Simply apply the reagents to your sample slide according to the protocol and you're steps away from obtaining high-quality IHC data.
| Product name | IHCeasy® SGMS1 Ready-To-Use IHC Kit |
| Sample type | FFPE tissue |
| Assay type | Immunohistochemistry |
| Primary antibody type | Rabbit Polyclonal |
| Secondary antibody type | Polymer-HRP-Goat anti-Rabbit |
| Reactivity | Human, Mouse |
Kit components
| Component | Size | Concentration |
|---|---|---|
| Antigen Retrieval Buffer | 100 mL | 50× |
| Washing Buffer | 100 mL ×2 | 20× |
| Blocking Buffer | 5 mL | RTU |
| Primary Antibody | 5 mL | RTU |
| Secondary Antibody | 5 mL | RTU |
| Chromogen Component A | 0.2 mL | RTU |
| Chromogen Component B | 4 mL | RTU |
| Signal Enhancer | 5 mL | RTU |
| Counter Staining Reagent | 5 mL | RTU |
| Mounting Media | 5 mL | RTU |
| Datasheet | 1 Copy | |
| Manual | 1 Copy |
Background Information
Sphingomyelin synthase (SMS), with two isoforms, SMS1 (SGMS1) and SMS2, is a key enzyme involved in the generation and development of SM. SMS can participate in inflammation, atherosclerosis, proliferation, apoptosis, differentiation and other functions. SMS1 is frequently downregulated in various solid cancers, more particularly in melanoma.
Properties
| Storage Instructions | All the reagents are stored at 2-8°C. The kit is stable for 6 months from the date of receipt. |
| Synonyms | EC:2.7.8.27, hmob33, Medulla oblongata-derived protein, MOB, MOB1 |



