IHCeasy® RPS6KB2 Ready-To-Use IHC Kit
RPS6KB2 Ready-to-use reagent kit for IHC.
Reactivity
Human, Mouse, Rat
Sample Type
FFPE tissue
Cat no : KHC3001
Synonyms
p70 S6 kinase beta, S6K2, EC:2.7.11.1, KLS, P70 beta
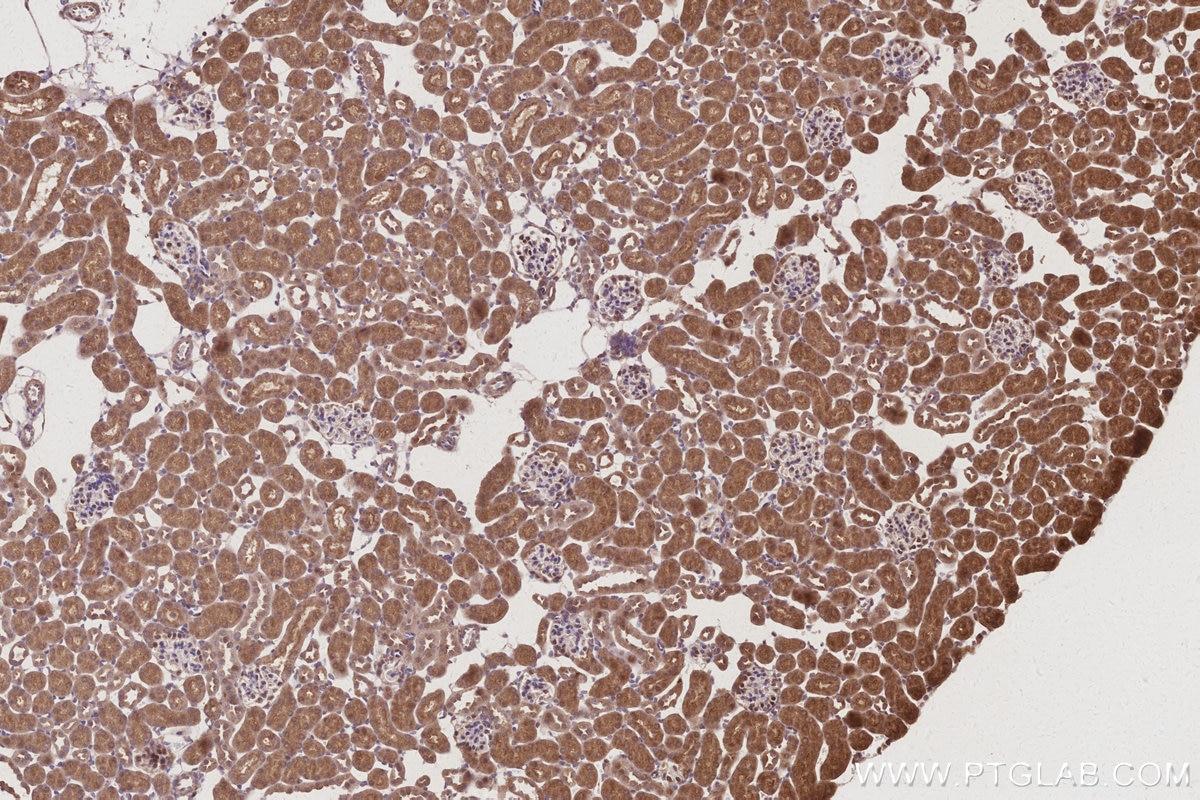
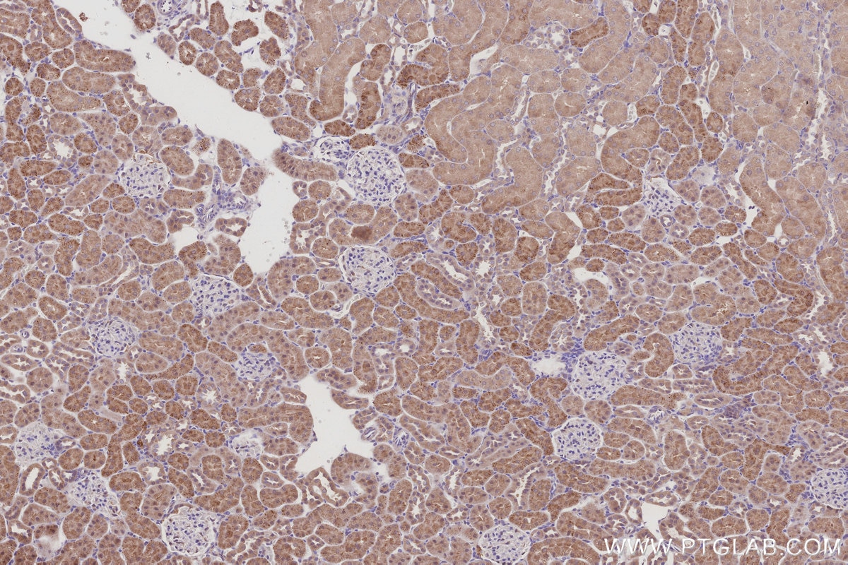
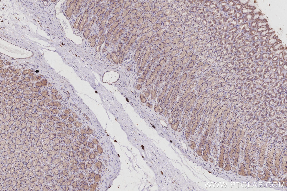
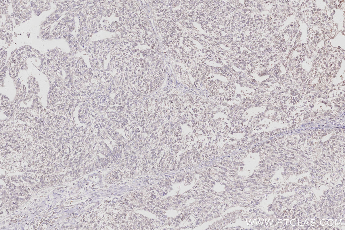
Validation Data Gallery
Product Information
KHC3001 is a ready-to-use IHC kit for staining of RPS6KB2. The kit provides all reagents, from antigen retrieval to cover slip mounting, that require little to no diluting or handling prior to use. Simply apply the reagents to your sample slide according to the protocol and you're steps away from obtaining high-quality IHC data.
| Product name | IHCeasy® RPS6KB2 Ready-To-Use IHC Kit |
| Sample type | FFPE tissue |
| Assay type | Immunohistochemistry |
| Primary antibody type | Rabbit Polyclonal |
| Secondary antibody type | Polymer-HRP-Goat anti-Rabbit |
| Reactivity | Human, Mouse, Rat |
Kit components
| Component | Size | Concentration |
|---|---|---|
| Antigen Retrieval Buffer | 100 mL | 50× |
| Washing Buffer | 100 mL ×2 | 20× |
| Blocking Buffer | 5 mL | RTU |
| Primary Antibody | 5 mL | RTU |
| Secondary Antibody | 5 mL | RTU |
| Chromogen Component A | 0.2 mL | RTU |
| Chromogen Component B | 4 mL | RTU |
| Signal Enhancer | 5 mL | RTU |
| Counter Staining Reagent | 5 mL | RTU |
| Mounting Media | 5 mL | RTU |
| Datasheet | 1 Copy | |
| Manual | 1 Copy |
Background Information
RPS6KB2(ribosomal protein S6 kinase beta-2) is also named as 70 kDa ribosomal protein S6 kinase 2(P70S6K2),Serine/threonine-protein kinase 14B(STK14B) and belongs to the protein kinase superfamily. It is activated by mitogenic stimuli, including growth factors, cytokines, and phorbol esters. The activated enzyme phosphorylates several serine residues in the C terminus of ribosomal protein S6.
Properties
| Storage Instructions | All the reagents are stored at 2-8°C. The kit is stable for 6 months from the date of receipt. |
| Synonyms | p70 S6 kinase beta, S6K2, EC:2.7.11.1, KLS, P70 beta |




