IHCeasy® RPS2 Ready-To-Use IHC Kit
RPS2 Ready-to-use reagent kit for IHC.
Reactivity
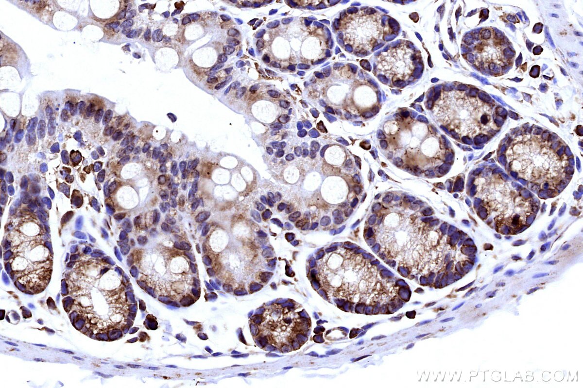
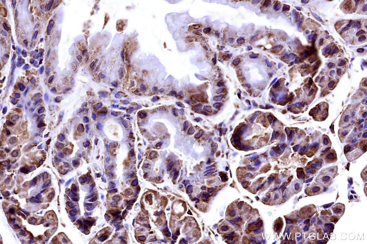
Human, Mouse
Sample Type
FFPE tissue
Cat no : KHC3186
Synonyms
40S ribosomal protein S2, 40S ribosomal protein S4, LLREP3, Protein LLRep3, ribosomal protein S2
Validation Data Gallery
Product Information
KHC3186 is a ready-to-use IHC kit for staining of RPS2. The kit provides all reagents, from antigen retrieval to cover slip mounting, that require little to no diluting or handling prior to use. Simply apply the reagents to your sample slide according to the protocol and you're steps away from obtaining high-quality IHC data.
| Product name | IHCeasy® RPS2 Ready-To-Use IHC Kit |
| Sample type | FFPE tissue |
| Assay type | Immunohistochemistry |
| Primary antibody type | Rabbit Polyclonal |
| Secondary antibody type | Polymer-HRP-Goat anti-Rabbit |
| Reactivity | Human, Mouse |
Kit components
| Component | Size | Concentration |
|---|---|---|
| Antigen Retrieval Buffer | 100 mL | 50× |
| Washing Buffer | 100 mL ×2 | 20× |
| Blocking Buffer | 5 mL | RTU |
| Primary Antibody | 5 mL | RTU |
| Secondary Antibody | 5 mL | RTU |
| Chromogen Component A | 0.2 mL | RTU |
| Chromogen Component B | 4 mL | RTU |
| Signal Enhancer | 5 mL | RTU |
| Counter Staining Reagent | 5 mL | RTU |
| Mounting Media | 5 mL | RTU |
| Datasheet | 1 Copy | |
| Manual | 1 Copy |
Background Information
RPS2 gene encodes a ribosomal protein that is a component of the 40S subunit. The protein belongs to the S5P family of ribosomal proteins. It is located in the cytoplasm. This gene shares sequence similarity with mouse LLRep3. It is co-transcribed with the small nucleolar RNA gene U64, which is located in its third intron. As is typical for genes encoding ribosomal proteins, there are multiple processed pseudogenes of this gene dispersed through the genome.
Properties
| Storage Instructions | All the reagents are stored at 2-8°C. The kit is stable for 6 months from the date of receipt. |
| Synonyms | 40S ribosomal protein S2, 40S ribosomal protein S4, LLREP3, Protein LLRep3, ribosomal protein S2 |


