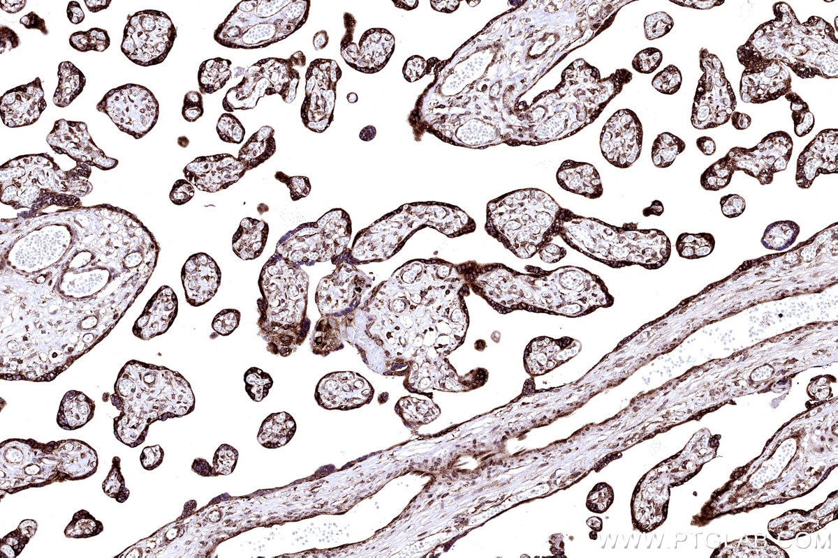
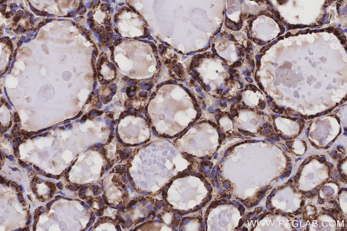
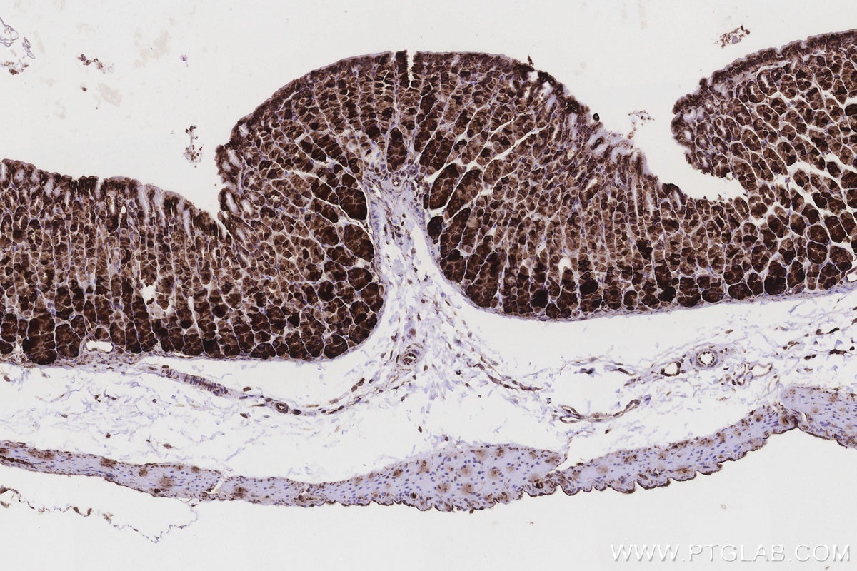
IHCeasy® RPL5 Ready-To-Use IHC Kit
RPL5 Ready-to-use reagent kit for IHC.
Reactivity
Human, Mouse, Rat
Sample Type
FFPE tissue
Cat no : KHC3212
Synonyms
60S ribosomal protein L5, DBA6, Large ribosomal subunit protein uL18, MSTP030, ribosomal protein L5
Validation Data Gallery
Product Information
KHC3212 is a ready-to-use IHC kit for staining of RPL5. The kit provides all reagents, from antigen retrieval to cover slip mounting, that require little to no diluting or handling prior to use. Simply apply the reagents to your sample slide according to the protocol and you're steps away from obtaining high-quality IHC data.
| Product name | IHCeasy® RPL5 Ready-To-Use IHC Kit |
| Sample type | FFPE tissue |
| Assay type | Immunohistochemistry |
| Primary antibody type | Rabbit Recombinant |
| Secondary antibody type | Polymer-HRP-Goat anti-Rabbit |
| Reactivity | Human, Mouse, Rat |
Kit components
| Component | Size | Concentration |
|---|---|---|
| Antigen Retrieval Buffer | 100 mL | 50× |
| Washing Buffer | 100 mL ×2 | 20× |
| Blocking Buffer | 5 mL | RTU |
| Primary Antibody | 5 mL | RTU |
| Secondary Antibody | 5 mL | RTU |
| Chromogen Component A | 0.2 mL | RTU |
| Chromogen Component B | 4 mL | RTU |
| Signal Enhancer | 5 mL | RTU |
| Counter Staining Reagent | 5 mL | RTU |
| Mounting Media | 5 mL | RTU |
| Datasheet | 1 Copy | |
| Manual | 1 Copy |
Background Information
RPL5 (Ribosomal Protein L5) is a crucial component of the 60S ribosomal subunit, playing a significant role in ribosome biogenesis and function. It is required for rRNA maturation and the formation of the 60S ribosomal subunits. Defects or mutations in RPL5 are associated with Diamond-Blackfan anemia (DBA), a congenital disorder characterized by red blood cell aplasia.
Properties
| Storage Instructions | All the reagents are stored at 2-8°C. The kit is stable for 6 months from the date of receipt. |
| Synonyms | 60S ribosomal protein L5, DBA6, Large ribosomal subunit protein uL18, MSTP030, ribosomal protein L5 |







