IHCeasy® RNF114 Ready-To-Use IHC Kit
RNF114 Ready-to-use reagent kit for IHC.
Reactivity
Human, Mouse
Sample Type
FFPE tissue
Cat no : KHC3082
Synonyms
E3 ubiquitin-protein ligase RNF114, EC:2.3.2.27, PSORS12, RING-type E3 ubiquitin transferase RNF114, ZNF228
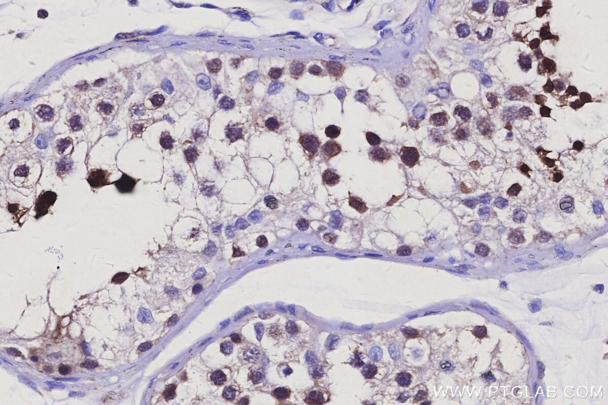
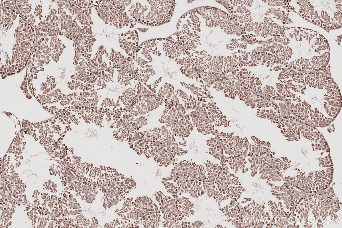
Validation Data Gallery
Product Information
KHC3082 is a ready-to-use IHC kit for staining of RNF114. The kit provides all reagents, from antigen retrieval to cover slip mounting, that require little to no diluting or handling prior to use. Simply apply the reagents to your sample slide according to the protocol and you're steps away from obtaining high-quality IHC data.
| Product name | IHCeasy® RNF114 Ready-To-Use IHC Kit |
| Sample type | FFPE tissue |
| Assay type | Immunohistochemistry |
| Primary antibody type | Rabbit Polyclonal |
| Secondary antibody type | Polymer-HRP-Goat anti-Rabbit |
| Reactivity | Human, Mouse |
Kit components
| Component | Size | Concentration |
|---|---|---|
| Antigen Retrieval Buffer | 100 mL | 50× |
| Washing Buffer | 100 mL ×2 | 20× |
| Blocking Buffer | 5 mL | RTU |
| Primary Antibody | 5 mL | RTU |
| Secondary Antibody | 5 mL | RTU |
| Chromogen Component A | 0.2 mL | RTU |
| Chromogen Component B | 4 mL | RTU |
| Signal Enhancer | 5 mL | RTU |
| Counter Staining Reagent | 5 mL | RTU |
| Mounting Media | 5 mL | RTU |
| Datasheet | 1 Copy | |
| Manual | 1 Copy |
Background Information
RNF114, also known as ZNF228 or ZNF313, is a member of the zinc-binding protein family. RNF114 contains two C2H2 and Ring finger zinc-binding domains and a ubiquitin-interacting motif (UIM). RNF114 functions as an E3 ligase in the ubiquitin-proteasome system and plays an important role in basic cellular processes in different types of cells. RNF114 is expressed widely in many normal tissues, such as the heart, liver, and kidney. RNF114 is a novel determinant of psoriasis susceptibility, and its overexpression is a crucial indicator of epithelial inflammation.
Properties
| Storage Instructions | All the reagents are stored at 2-8°C. The kit is stable for 6 months from the date of receipt. |
| Synonyms | E3 ubiquitin-protein ligase RNF114, EC:2.3.2.27, PSORS12, RING-type E3 ubiquitin transferase RNF114, ZNF228 |


