IHCeasy® RBM22 Ready-To-Use IHC Kit
RBM22 Ready-to-use reagent kit for IHC.
Reactivity
Human, Mouse, Rat
Sample Type
FFPE tissue
Cat no : KHC2965
Synonyms
199G4, fSAP47, Pre mRNA splicing factor RBM22, Pre-mRNA-splicing factor RBM22, RNA binding motif protein 22
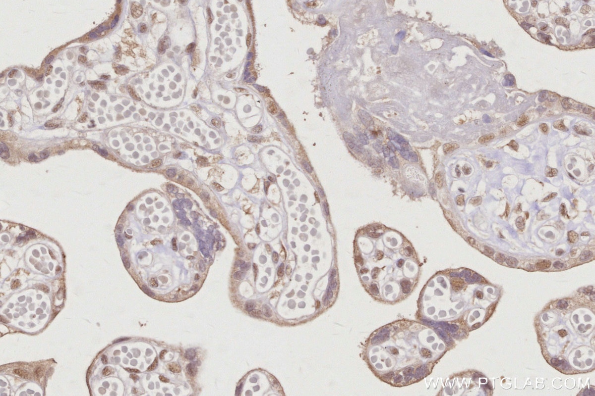
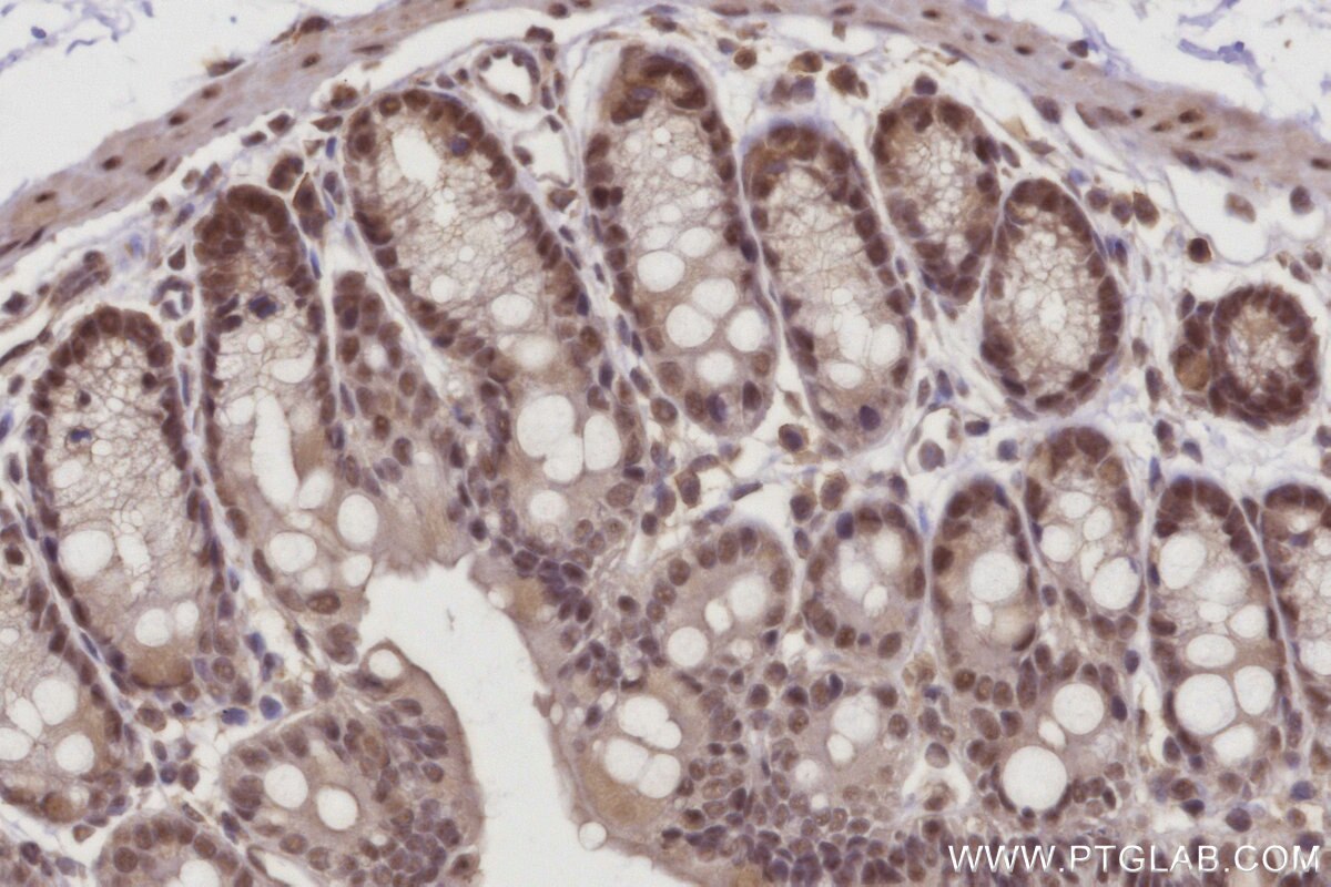
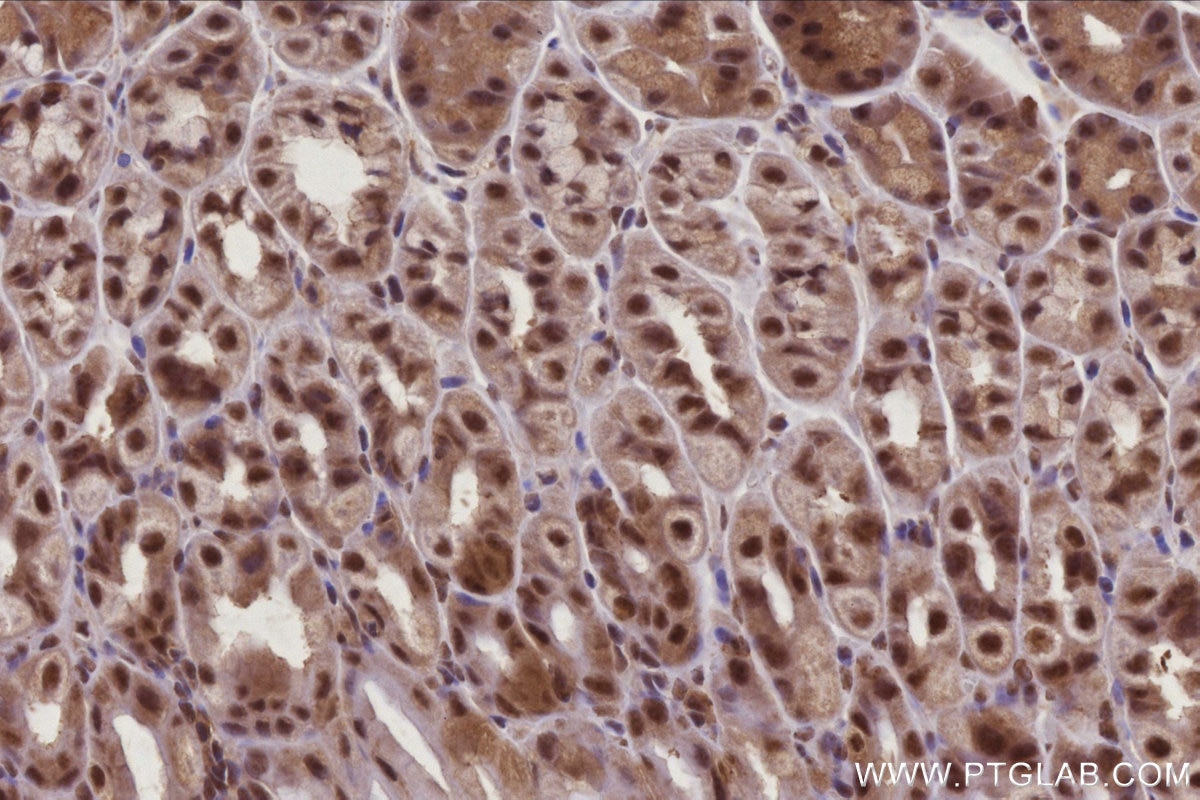
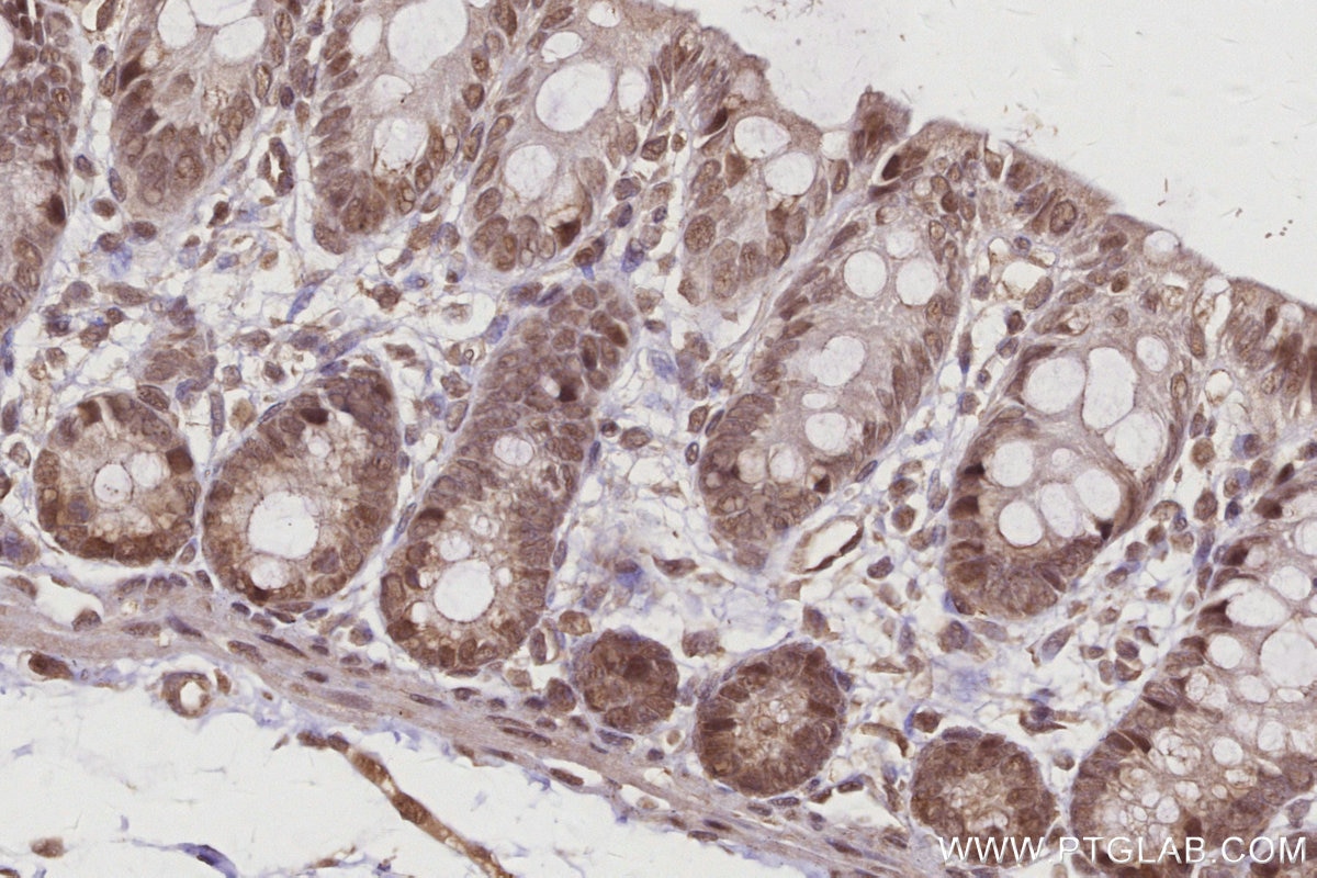
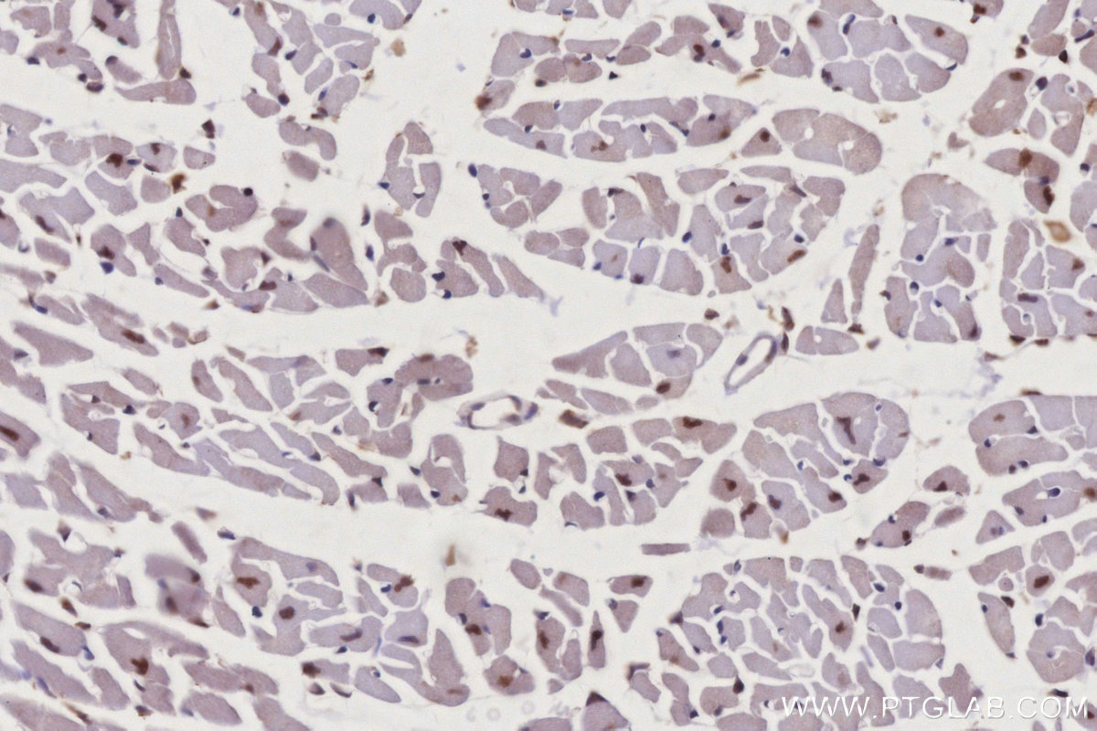
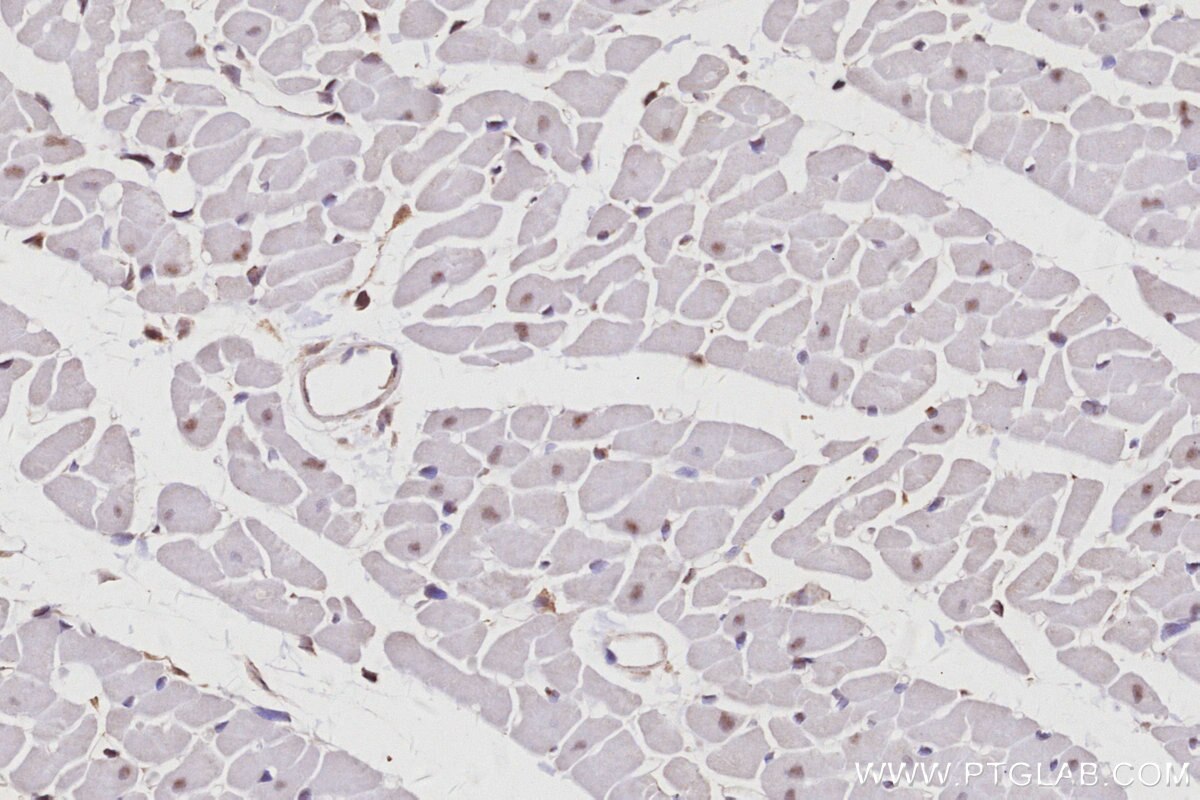
Validation Data Gallery
Product Information
KHC2965 is a ready-to-use IHC kit for staining of RBM22. The kit provides all reagents, from antigen retrieval to cover slip mounting, that require little to no diluting or handling prior to use. Simply apply the reagents to your sample slide according to the protocol and you're steps away from obtaining high-quality IHC data.
| Product name | IHCeasy® RBM22 Ready-To-Use IHC Kit |
| Sample type | FFPE tissue |
| Assay type | Immunohistochemistry |
| Primary antibody type | Rabbit Polyclonal |
| Secondary antibody type | Polymer-HRP-Goat anti-Rabbit |
| Reactivity | Human, Mouse, Rat |
Kit components
| Component | Size | Concentration |
|---|---|---|
| Antigen Retrieval Buffer | 100 mL | 50× |
| Washing Buffer | 100 mL ×2 | 20× |
| Blocking Buffer | 5 mL | RTU |
| Primary Antibody | 5 mL | RTU |
| Secondary Antibody | 5 mL | RTU |
| Chromogen Component A | 0.2 mL | RTU |
| Chromogen Component B | 4 mL | RTU |
| Signal Enhancer | 5 mL | RTU |
| Counter Staining Reagent | 5 mL | RTU |
| Mounting Media | 5 mL | RTU |
| Datasheet | 1 Copy | |
| Manual | 1 Copy |
Background Information
RBM22 is mainly involved in pre-mRNA splicing, playing the essential role of maintaining the conformation of the catalytic core of the spliceosome and acting as a bridge between the catalytic core and other essential protein components of the spliceosome. RBM22 is also involved in gene regulation, and is able to bind DNA, acting as a bona fide transcription factor on a large number of target genes. Due to its wide scope in the regulation of gene expression, RBM22 has been associated with several pathologies and, notably, with the aggressiveness of cancer cells and with the phenotype of a myelodysplastic syndrome.
Properties
| Storage Instructions | All the reagents are stored at 2-8°C. The kit is stable for 6 months from the date of receipt. |
| Synonyms | 199G4, fSAP47, Pre mRNA splicing factor RBM22, Pre-mRNA-splicing factor RBM22, RNA binding motif protein 22 |






