IHCeasy® RASAL2 Ready-To-Use IHC Kit
RASAL2 Ready-to-use reagent kit for IHC.
Reactivity
Human, Mouse, Rat
Sample Type
FFPE tissue
Cat no : KHC3026
Synonyms
Ras GTPase activating protein nGAP, Ras GTPase-activating protein nGAP, RAS protein activator like 2, RAS protein activator-like 2, RASAL 2
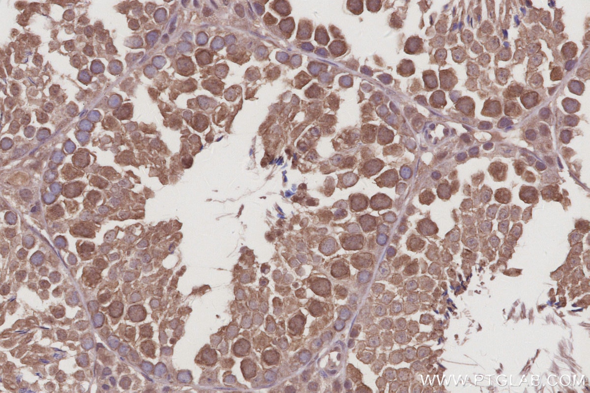
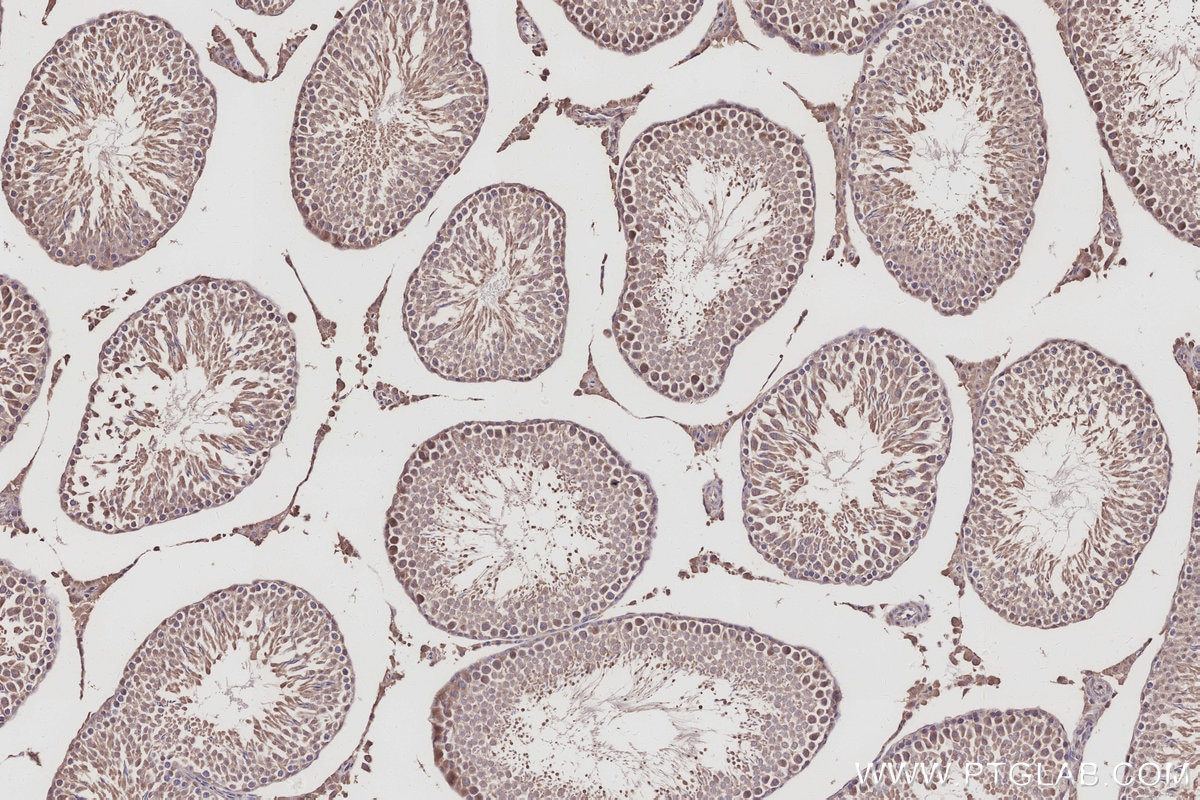
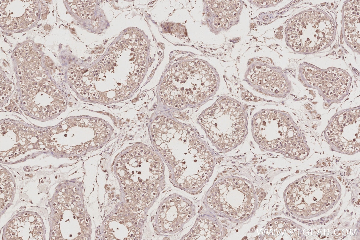
Validation Data Gallery
Product Information
KHC3026 is a ready-to-use IHC kit for staining of RASAL2. The kit provides all reagents, from antigen retrieval to cover slip mounting, that require little to no diluting or handling prior to use. Simply apply the reagents to your sample slide according to the protocol and you're steps away from obtaining high-quality IHC data.
| Product name | IHCeasy® RASAL2 Ready-To-Use IHC Kit |
| Sample type | FFPE tissue |
| Assay type | Immunohistochemistry |
| Primary antibody type | Rabbit Polyclonal |
| Secondary antibody type | Polymer-HRP-Goat anti-Rabbit |
| Reactivity | Human, Mouse, Rat |
Kit components
| Component | Size | Concentration |
|---|---|---|
| Antigen Retrieval Buffer | 100 mL | 50× |
| Washing Buffer | 100 mL ×2 | 20× |
| Blocking Buffer | 5 mL | RTU |
| Primary Antibody | 5 mL | RTU |
| Secondary Antibody | 5 mL | RTU |
| Chromogen Component A | 0.2 mL | RTU |
| Chromogen Component B | 4 mL | RTU |
| Signal Enhancer | 5 mL | RTU |
| Counter Staining Reagent | 5 mL | RTU |
| Mounting Media | 5 mL | RTU |
| Datasheet | 1 Copy | |
| Manual | 1 Copy |
Background Information
RASAL2 (Ras protein activator like 2), also known as nGAP, is a Ras GTPase-activating protein, containing a GRD domain and a coiled-coil structure at the C terminus. It is able to complement the defective RasGAP function in a yeast system. RASAL2 is highly homologous to Ras-specific GTPase activating proteins (RasGAPs).
Properties
| Storage Instructions | All the reagents are stored at 2-8°C. The kit is stable for 6 months from the date of receipt. |
| Synonyms | Ras GTPase activating protein nGAP, Ras GTPase-activating protein nGAP, RAS protein activator like 2, RAS protein activator-like 2, RASAL 2 |



