IHCeasy® RABGEF1 Ready-To-Use IHC Kit
RABGEF1 Ready-to-use reagent kit for IHC.
Reactivity
Human, Mouse, Rat
Sample Type
FFPE tissue
Cat no : KHC3015
Synonyms
Rab5 GDP/GTP exchange factor, Rabaptin-5-associated exchange factor for Rab5, RABEX5, Rabex-5, RAP1
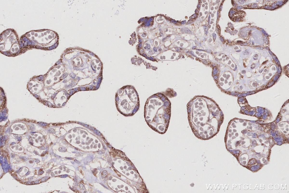
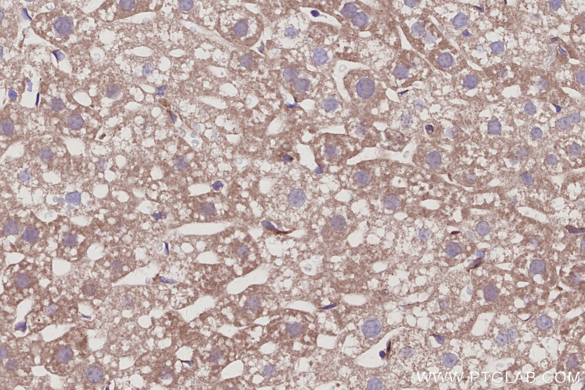
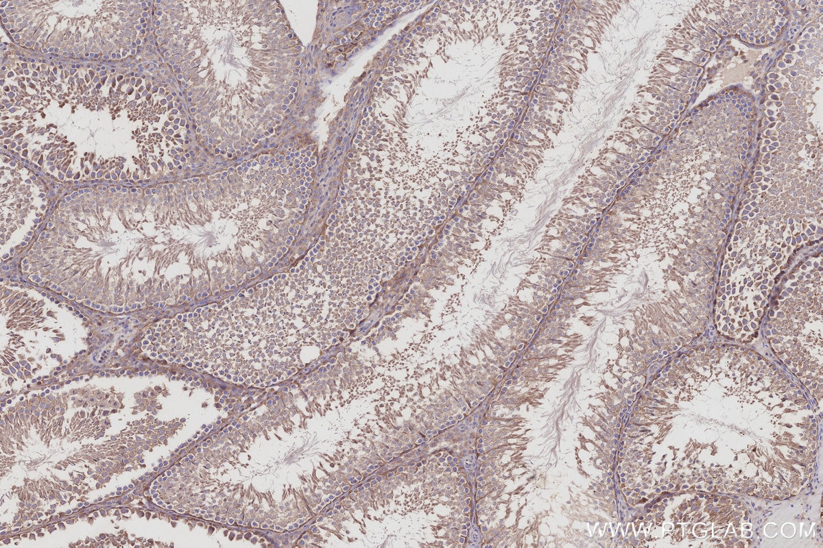
Validation Data Gallery
Product Information
KHC3015 is a ready-to-use IHC kit for staining of RABGEF1. The kit provides all reagents, from antigen retrieval to cover slip mounting, that require little to no diluting or handling prior to use. Simply apply the reagents to your sample slide according to the protocol and you're steps away from obtaining high-quality IHC data.
| Product name | IHCeasy® RABGEF1 Ready-To-Use IHC Kit |
| Sample type | FFPE tissue |
| Assay type | Immunohistochemistry |
| Primary antibody type | Rabbit Polyclonal |
| Secondary antibody type | Polymer-HRP-Goat anti-Rabbit |
| Reactivity | Human, Mouse, Rat |
Kit components
| Component | Size | Concentration |
|---|---|---|
| Antigen Retrieval Buffer | 100 mL | 50× |
| Washing Buffer | 100 mL ×2 | 20× |
| Blocking Buffer | 5 mL | RTU |
| Primary Antibody | 5 mL | RTU |
| Secondary Antibody | 5 mL | RTU |
| Chromogen Component A | 0.2 mL | RTU |
| Chromogen Component B | 4 mL | RTU |
| Signal Enhancer | 5 mL | RTU |
| Counter Staining Reagent | 5 mL | RTU |
| Mounting Media | 5 mL | RTU |
| Datasheet | 1 Copy | |
| Manual | 1 Copy |
Background Information
RabGEF1 (Rabex-5) is a guanine nucleotide exchange factor (GEF) for the endocytic pathway regulator Rab5. RabGEF1 contains a Vps9 domain, an A20-like zinc finger (ZnF) domain, and a coiled coil domain. RabGEF1 is involved in endocytic membrane fusion and membrane trafficking of recycling endosomes. It is also implicated in tumorigenesis and in the development of certain human cancers.
Properties
| Storage Instructions | All the reagents are stored at 2-8°C. The kit is stable for 6 months from the date of receipt. |
| Synonyms | Rab5 GDP/GTP exchange factor, Rabaptin-5-associated exchange factor for Rab5, RABEX5, Rabex-5, RAP1 |




