IHCeasy® PTPN9 Ready-To-Use IHC Kit

PTPN9 Ready-to-use reagent kit for IHC.

Reactivity

Human, Mouse, Rat

Sample Type

FFPE tissue

Cat no : KHC3210

Synonyms

MEG2, EC:3.1.3.48, Protein-tyrosine phosphatase MEG2, PTPase MEG2, PTPaseMEG2



Product Information

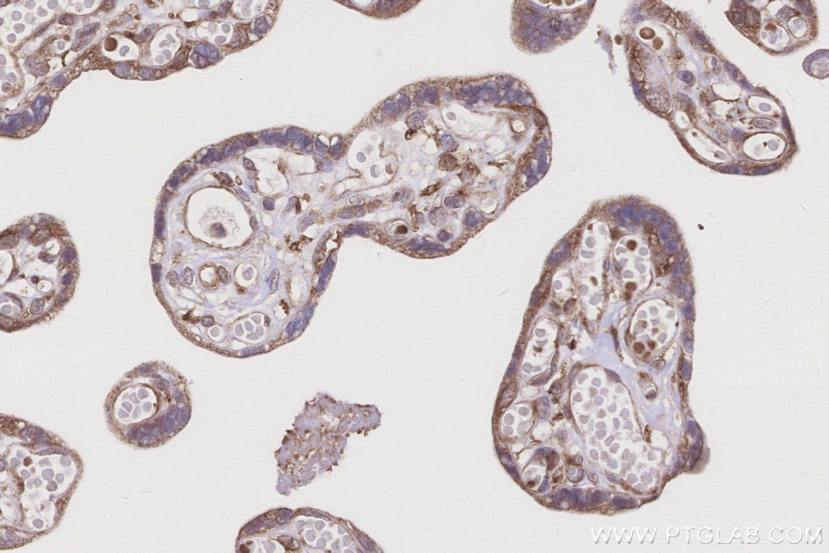
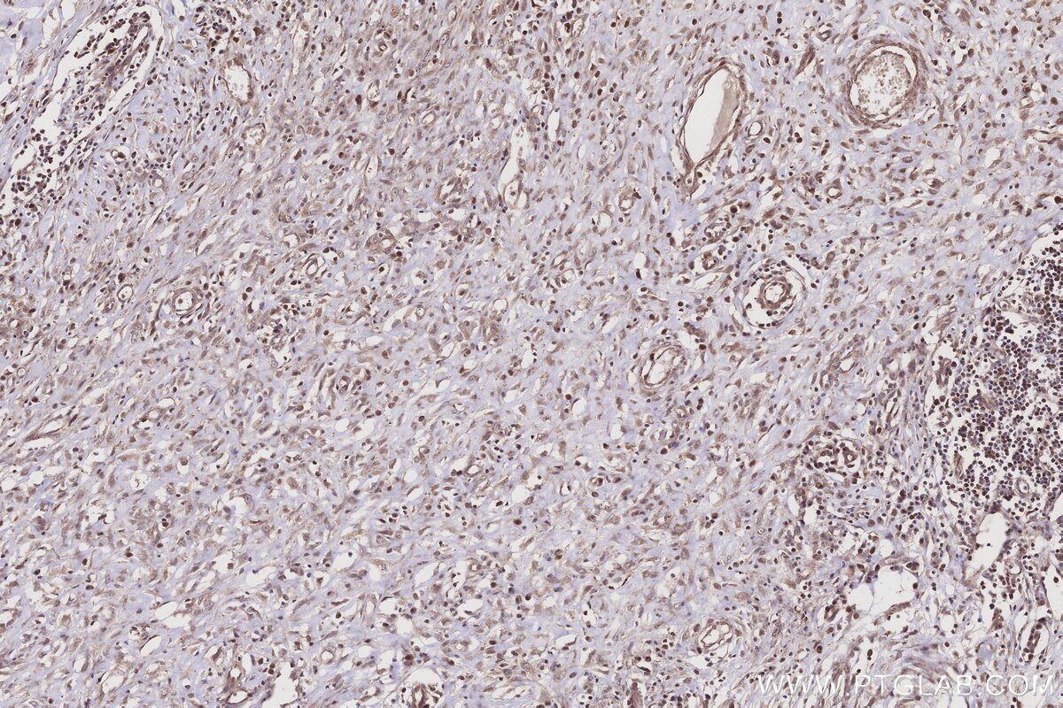
KHC3210 is a ready-to-use IHC kit for staining of PTPN9. The kit provides all reagents, from antigen retrieval to cover slip mounting, that require little to no diluting or handling prior to use. Simply apply the reagents to your sample slide according to the protocol and you're steps away from obtaining high-quality IHC data.

Product name IHCeasy® PTPN9 Ready-To-Use IHC Kit
Sample type FFPE tissue
Assay type Immunohistochemistry
Primary antibody type Rabbit Polyclonal
Secondary antibody type Polymer-HRP-Goat anti-Rabbit
Reactivity Human, Mouse, Rat

Kit components

ComponentSizeConcentration
Antigen Retrieval Buffer100 mL50×
Washing Buffer100 mL ×220×
Blocking Buffer5 mLRTU
Primary Antibody5 mLRTU
Secondary Antibody5 mLRTU
Chromogen Component A0.2 mLRTU
Chromogen Component B4 mLRTU
Signal Enhancer5 mLRTU
Counter Staining Reagent5 mLRTU
Mounting Media5 mLRTU
Datasheet1 Copy
Manual1 Copy

Background Information

PTPN9, Tyrosine-protein phosphatase non-receptor type 9, is a member of the protein tyrosine phosphatase (PTP) family. PTPs are signaling molecules that regulate a variety of cellular processes including cell growth, differentiation, mitotic cycle, and oncogenic transformation. PTPN9 is involved in the transfer of hydrophobic ligands or in functions of the Golgi apparatus. MiR-96 inhibits PTPN9 expression and consequently promotes proliferation, migration and invasion of breast cancer cells. PTPN9 can be detected double bands. PTPN9 was located in cytoplasm and nucleus in human breast cancer.

Properties

Storage Instructions All the reagents are stored at 2-8°C. The kit is stable for 6 months from the date of receipt.
Synonyms MEG2, EC:3.1.3.48, Protein-tyrosine phosphatase MEG2, PTPase MEG2, PTPaseMEG2
||
New chat

Able

正在加载,请稍候...