IHCeasy® PPAT Ready-To-Use IHC Kit
PPAT Ready-to-use reagent kit for IHC.
Reactivity
Human, Mouse, Rat
Sample Type
FFPE tissue
Cat no : KHC3247
Synonyms
EC:2.4.2.14, GPAT, phosphoribosyl pyrophosphate amidotransferase, PRAT
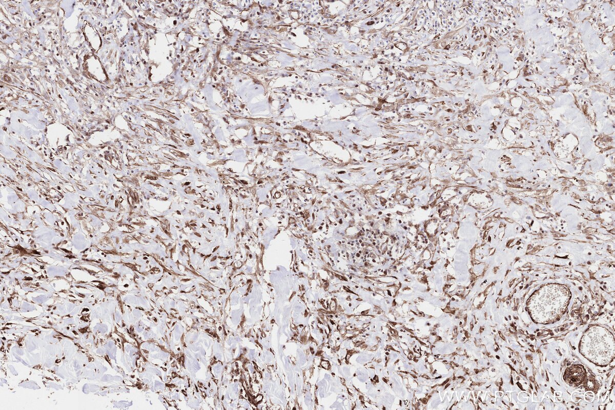
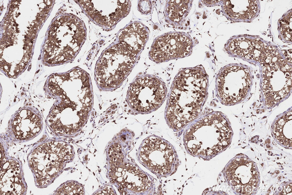
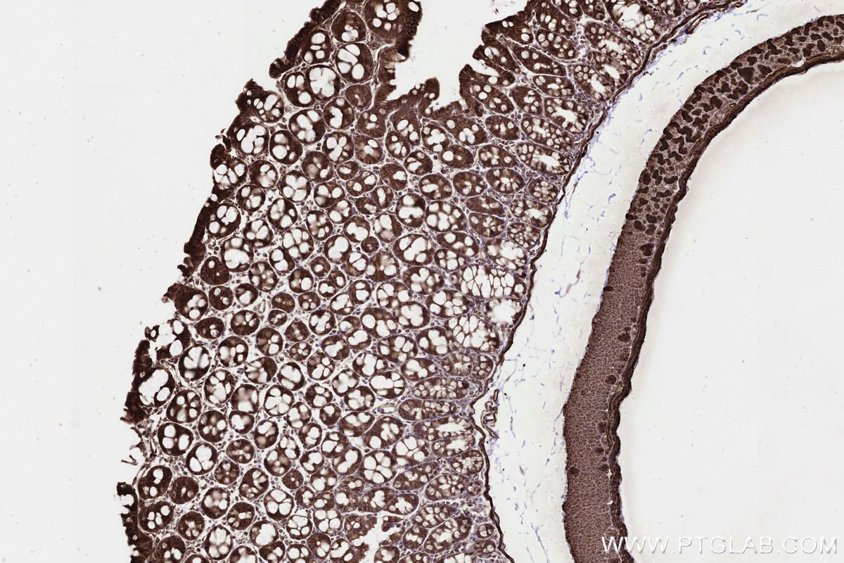
Validation Data Gallery
Product Information
KHC3247 is a ready-to-use IHC kit for staining of PPAT. The kit provides all reagents, from antigen retrieval to cover slip mounting, that require little to no diluting or handling prior to use. Simply apply the reagents to your sample slide according to the protocol and you're steps away from obtaining high-quality IHC data.
| Product name | IHCeasy® PPAT Ready-To-Use IHC Kit |
| Sample type | FFPE tissue |
| Assay type | Immunohistochemistry |
| Primary antibody type | Rabbit Recombinant |
| Secondary antibody type | Polymer-HRP-Goat anti-Rabbit |
| Reactivity | Human, Mouse, Rat |
Kit components
| Component | Size | Concentration |
|---|---|---|
| Antigen Retrieval Buffer | 100 mL | 50× |
| Washing Buffer | 100 mL ×2 | 20× |
| Blocking Buffer | 5 mL | RTU |
| Primary Antibody | 5 mL | RTU |
| Secondary Antibody | 5 mL | RTU |
| Chromogen Component A | 0.2 mL | RTU |
| Chromogen Component B | 4 mL | RTU |
| Signal Enhancer | 5 mL | RTU |
| Counter Staining Reagent | 5 mL | RTU |
| Mounting Media | 5 mL | RTU |
| Datasheet | 1 Copy | |
| Manual | 1 Copy |
Background Information
PPAT, also known as ATase (amidophosphoribosyltransferase) or GPAT (glutamine phosphoribosylpyrophosphate amidotransferase) is the rate-limiting enzyme in the de novo pathway of purine ribonucleotide synthesis and is regulated by feedback inhibition by AMP and GMP. PPAT expression modulates pyruvate kinase activity, cell proliferation and invasion.
Properties
| Storage Instructions | All the reagents are stored at 2-8°C. The kit is stable for 6 months from the date of receipt. |
| Synonyms | EC:2.4.2.14, GPAT, phosphoribosyl pyrophosphate amidotransferase, PRAT |





