IHCeasy® PLA2G15/LYPLA3 Ready-To-Use IHC Kit
PLA2G15/LYPLA3 Ready-to-use reagent kit for IHC.
Reactivity
Human, Mouse
Sample Type
FFPE tissue
Cat no : KHC3293
Synonyms
LYPLA3, PLA2G15, 1-O-acylceramide synthase, ACS, EC:2.3.1.-
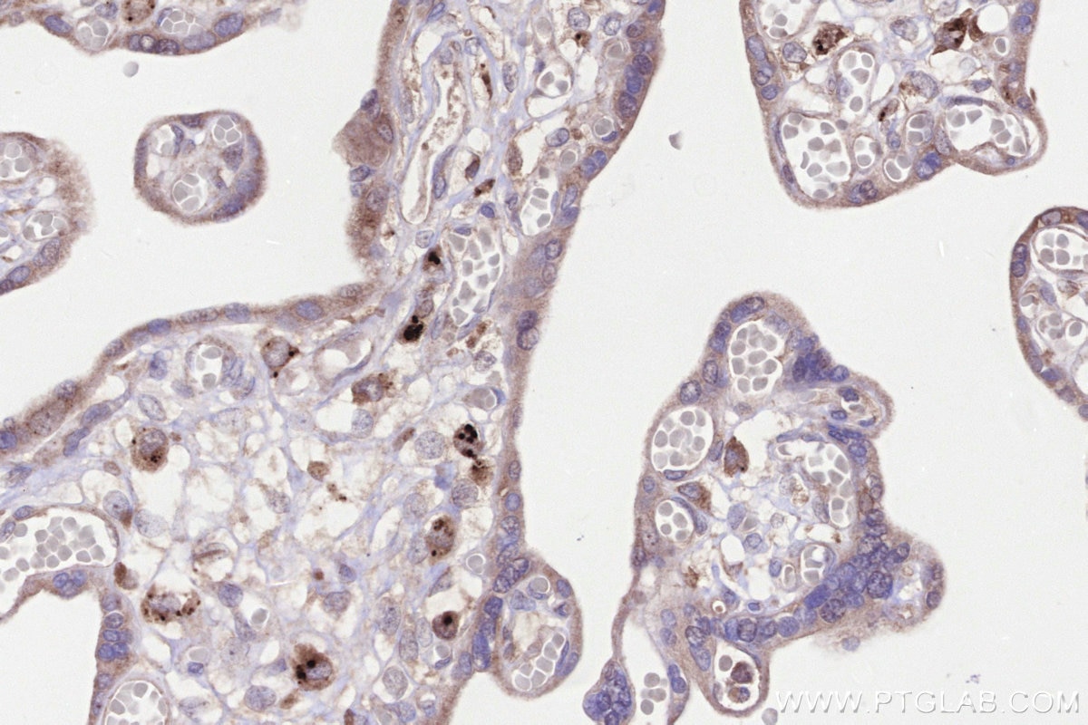
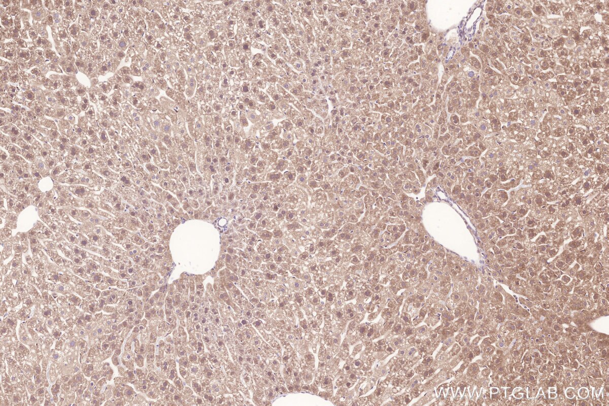
Validation Data Gallery
Product Information
KHC3293 is a ready-to-use IHC kit for staining of PLA2G15/LYPLA3. The kit provides all reagents, from antigen retrieval to cover slip mounting, that require little to no diluting or handling prior to use. Simply apply the reagents to your sample slide according to the protocol and you're steps away from obtaining high-quality IHC data.
| Product name | IHCeasy® PLA2G15/LYPLA3 Ready-To-Use IHC Kit |
| Sample type | FFPE tissue |
| Assay type | Immunohistochemistry |
| Primary antibody type | Rabbit Polyclonal |
| Secondary antibody type | Polymer-HRP-Goat anti-Rabbit |
| Reactivity | Human, Mouse |
Kit components
| Component | Size | Concentration |
|---|---|---|
| Antigen Retrieval Buffer | 100 mL | 50× |
| Washing Buffer | 100 mL ×2 | 20× |
| Blocking Buffer | 5 mL | RTU |
| Primary Antibody | 5 mL | RTU |
| Secondary Antibody | 5 mL | RTU |
| Chromogen Component A | 0.2 mL | RTU |
| Chromogen Component B | 4 mL | RTU |
| Signal Enhancer | 5 mL | RTU |
| Counter Staining Reagent | 5 mL | RTU |
| Mounting Media | 5 mL | RTU |
| Datasheet | 1 Copy | |
| Manual | 1 Copy |
Background Information
PLA2G15 is also named as LYPLA3 and belongs to the AB hydrolase superfamily. It has transacylase and calcium-independent phospholipase A2 activity. PLA2G15 catalyzes the formation of 1-O-acyl-N-acetylsphingosine and the concomitant release of a lyso-phospholipid.
Properties
| Storage Instructions | All the reagents are stored at 2-8°C. The kit is stable for 6 months from the date of receipt. |
| Synonyms | LYPLA3, PLA2G15, 1-O-acylceramide synthase, ACS, EC:2.3.1.- |


