IHCeasy® PDZD8 Ready-To-Use IHC Kit
PDZD8 Ready-to-use reagent kit for IHC.
Reactivity
Human
Sample Type
FFPE tissue
Cat no : KHC3296
Synonyms
PDZ domain containing 8, PDZ domain-containing protein 8, PDZK8, Sarcoma antigen NY-SAR-84/NY-SAR-104
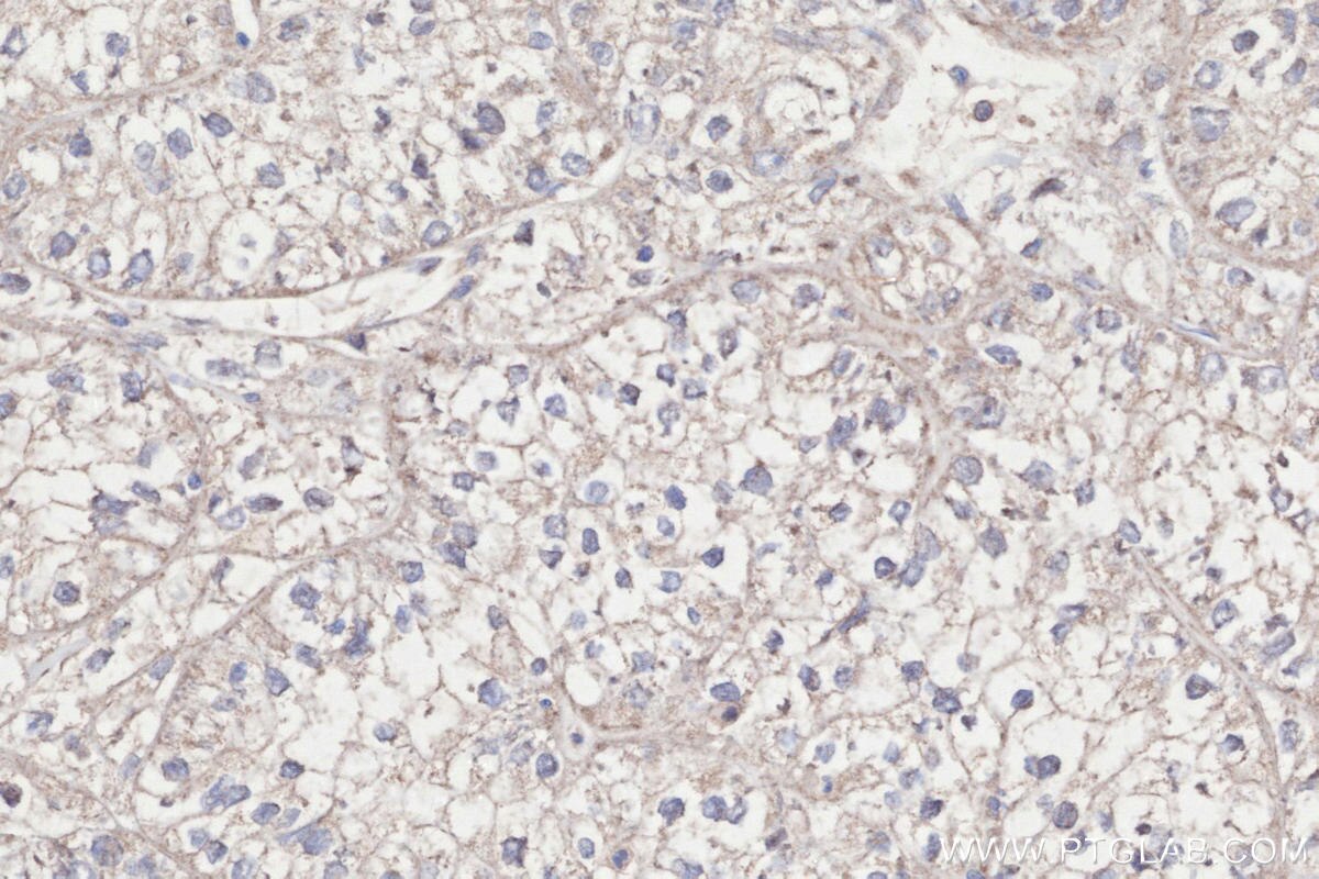
Validation Data Gallery
Product Information
KHC3296 is a ready-to-use IHC kit for staining of PDZD8. The kit provides all reagents, from antigen retrieval to cover slip mounting, that require little to no diluting or handling prior to use. Simply apply the reagents to your sample slide according to the protocol and you're steps away from obtaining high-quality IHC data.
| Product name | IHCeasy® PDZD8 Ready-To-Use IHC Kit |
| Sample type | FFPE tissue |
| Assay type | Immunohistochemistry |
| Primary antibody type | Rabbit Recombinant |
| Secondary antibody type | Polymer-HRP-Goat anti-Rabbit |
| Reactivity | Human |
Kit components
| Component | Size | Concentration |
|---|---|---|
| Antigen Retrieval Buffer | 100 mL | 50× |
| Washing Buffer | 100 mL ×2 | 20× |
| Blocking Buffer | 5 mL | RTU |
| Primary Antibody | 5 mL | RTU |
| Secondary Antibody | 5 mL | RTU |
| Chromogen Component A | 0.2 mL | RTU |
| Chromogen Component B | 4 mL | RTU |
| Signal Enhancer | 5 mL | RTU |
| Counter Staining Reagent | 5 mL | RTU |
| Mounting Media | 5 mL | RTU |
| Datasheet | 1 Copy | |
| Manual | 1 Copy |
Background Information
PDZD8 (PDZ domain containing 8) is an SMP (synaptotagmin-like mitochondrial-lipid-binding) domain-containing protein belonging to the tubular lipid-binding protein (TULIP) superfamily of lipid transfer proteins. PDZD8 is an integral ER transmembrane protein present at ER-mitochondria contacts. It is involved in regulating ER-mitochondria associations, mitochondrial calcium ion homeostasis, and lipid transport between the ER and late endosomes/lysosomes.
Properties
| Storage Instructions | All the reagents are stored at 2-8°C. The kit is stable for 6 months from the date of receipt. |
| Synonyms | PDZ domain containing 8, PDZ domain-containing protein 8, PDZK8, Sarcoma antigen NY-SAR-84/NY-SAR-104 |


