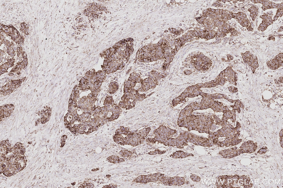
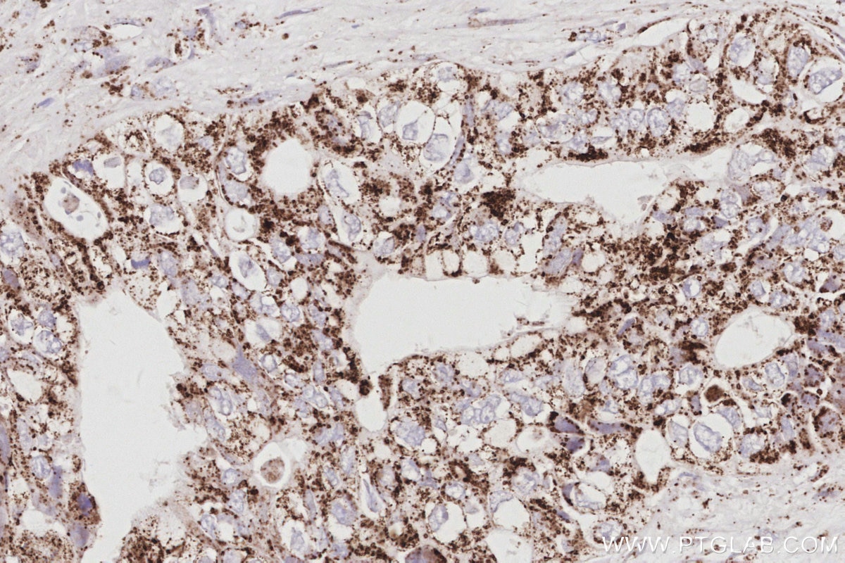
IHCeasy® NFS1 Ready-To-Use IHC Kit
NFS1 Ready-to-use reagent kit for IHC.
Reactivity
Human, Mouse, Rat
Sample Type
FFPE tissue
Cat no : KHC3085
Synonyms
Cysteine desulfurase, EC:2.8.1.7, HUSSY 08, HUSSY-08, IscS
Validation Data Gallery
Product Information
KHC3085 is a ready-to-use IHC kit for staining of NFS1. The kit provides all reagents, from antigen retrieval to cover slip mounting, that require little to no diluting or handling prior to use. Simply apply the reagents to your sample slide according to the protocol and you're steps away from obtaining high-quality IHC data.
| Product name | IHCeasy® NFS1 Ready-To-Use IHC Kit |
| Sample type | FFPE tissue |
| Assay type | Immunohistochemistry |
| Primary antibody type | Rabbit Polyclonal |
| Secondary antibody type | Polymer-HRP-Goat anti-Rabbit |
| Reactivity | Human, Mouse, Rat |
Kit components
| Component | Size | Concentration |
|---|---|---|
| Antigen Retrieval Buffer | 100 mL | 50× |
| Washing Buffer | 100 mL ×2 | 20× |
| Blocking Buffer | 5 mL | RTU |
| Primary Antibody | 5 mL | RTU |
| Secondary Antibody | 5 mL | RTU |
| Chromogen Component A | 0.2 mL | RTU |
| Chromogen Component B | 4 mL | RTU |
| Signal Enhancer | 5 mL | RTU |
| Counter Staining Reagent | 5 mL | RTU |
| Mounting Media | 5 mL | RTU |
| Datasheet | 1 Copy | |
| Manual | 1 Copy |
Background Information
NFS1(nitrogen fixation 1 homolog) is also named as NIFS, HUSSY-08 and belongs to the class-V pyridoxal-phosphate-dependent aminotransferase family. The protein has been identified as a pyridoxal phosphate-containing homodimer that catalyzes the formation of equimolar amounts of elemental sulfur and L-alanine from the substrate, L-cysteine. It is reported that NFS1 is also able to catalyze the removal of selenium from selenocysteine, a mechanism similar to the L-cysteine reaction was postulated.
Properties
| Storage Instructions | All the reagents are stored at 2-8°C. The kit is stable for 6 months from the date of receipt. |
| Synonyms | Cysteine desulfurase, EC:2.8.1.7, HUSSY 08, HUSSY-08, IscS |






