IHCeasy® NDUFA11 Ready-To-Use IHC Kit
NDUFA11 Ready-to-use reagent kit for IHC.
Reactivity
Human
Sample Type
FFPE tissue
Cat no : KHC3285
Synonyms
B14.7, CI B14.7, CI-B14.7, Complex I B14.7, Complex I-B14.7
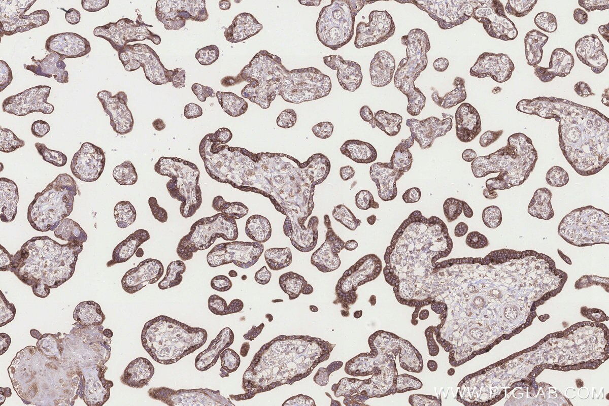
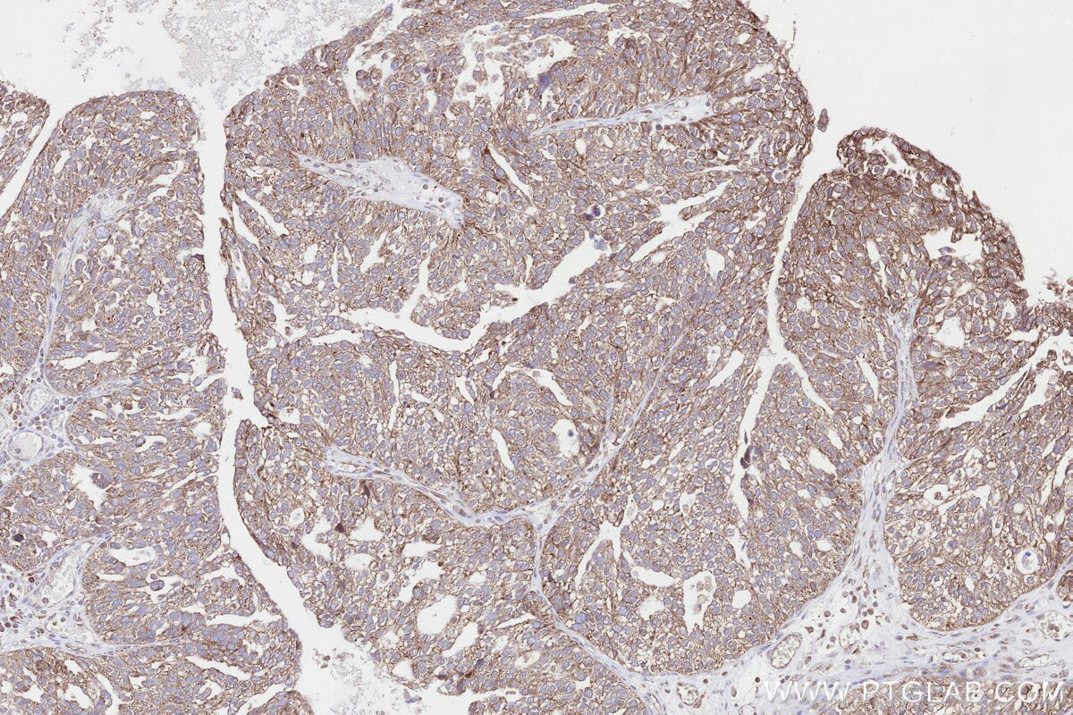
Validation Data Gallery
Product Information
KHC3285 is a ready-to-use IHC kit for staining of NDUFA11. The kit provides all reagents, from antigen retrieval to cover slip mounting, that require little to no diluting or handling prior to use. Simply apply the reagents to your sample slide according to the protocol and you're steps away from obtaining high-quality IHC data.
| Product name | IHCeasy® NDUFA11 Ready-To-Use IHC Kit |
| Sample type | FFPE tissue |
| Assay type | Immunohistochemistry |
| Primary antibody type | Rabbit Polyclonal |
| Secondary antibody type | Polymer-HRP-Goat anti-Rabbit |
| Reactivity | Human |
Kit components
| Component | Size | Concentration |
|---|---|---|
| Antigen Retrieval Buffer | 100 mL | 50× |
| Washing Buffer | 100 mL ×2 | 20× |
| Blocking Buffer | 5 mL | RTU |
| Primary Antibody | 5 mL | RTU |
| Secondary Antibody | 5 mL | RTU |
| Chromogen Component A | 0.2 mL | RTU |
| Chromogen Component B | 4 mL | RTU |
| Signal Enhancer | 5 mL | RTU |
| Counter Staining Reagent | 5 mL | RTU |
| Mounting Media | 5 mL | RTU |
| Datasheet | 1 Copy | |
| Manual | 1 Copy |
Background Information
Mitochondrial complex I is assembled from 44 subunits into an L-shaped complex, with a hydrophobic arm embedded in the inner mitochondrial membrane and the other arm protruding into the mitochondrial matrix. NDUFA11 encodes a subunit of the membrane-bound mitochondrial complex I, and functions in assembly, stability, and regulation of the complex. Mutations in NDUFA11 are associated with severe mitochondrial complex I deficiency.
Properties
| Storage Instructions | All the reagents are stored at 2-8°C. The kit is stable for 6 months from the date of receipt. |
| Synonyms | B14.7, CI B14.7, CI-B14.7, Complex I B14.7, Complex I-B14.7 |




