IHCeasy® NACA Ready-To-Use IHC Kit
NACA Ready-to-use reagent kit for IHC.
Reactivity
Human, Mouse, Rat
Sample Type
FFPE tissue
Cat no : KHC3098
Synonyms
Alpha NAC, Hom s 2, HSD48, NAC alpha, NACA1
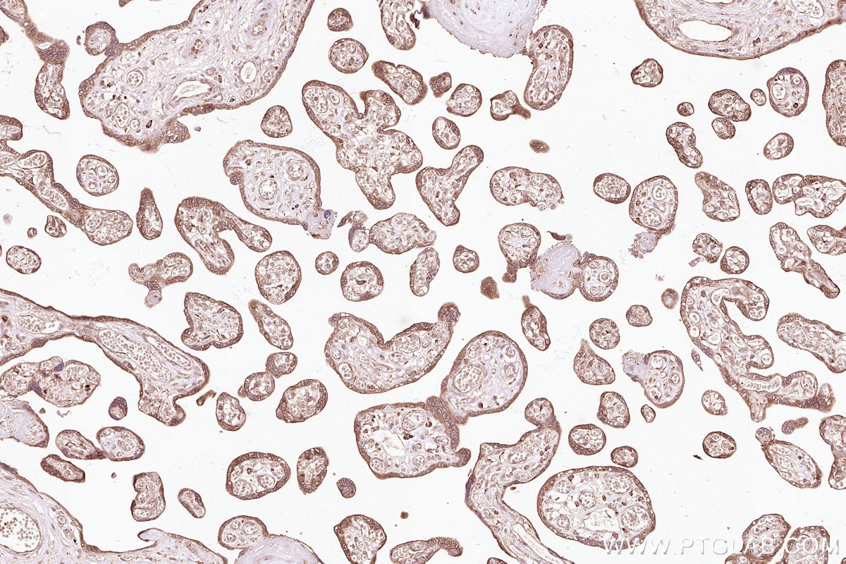
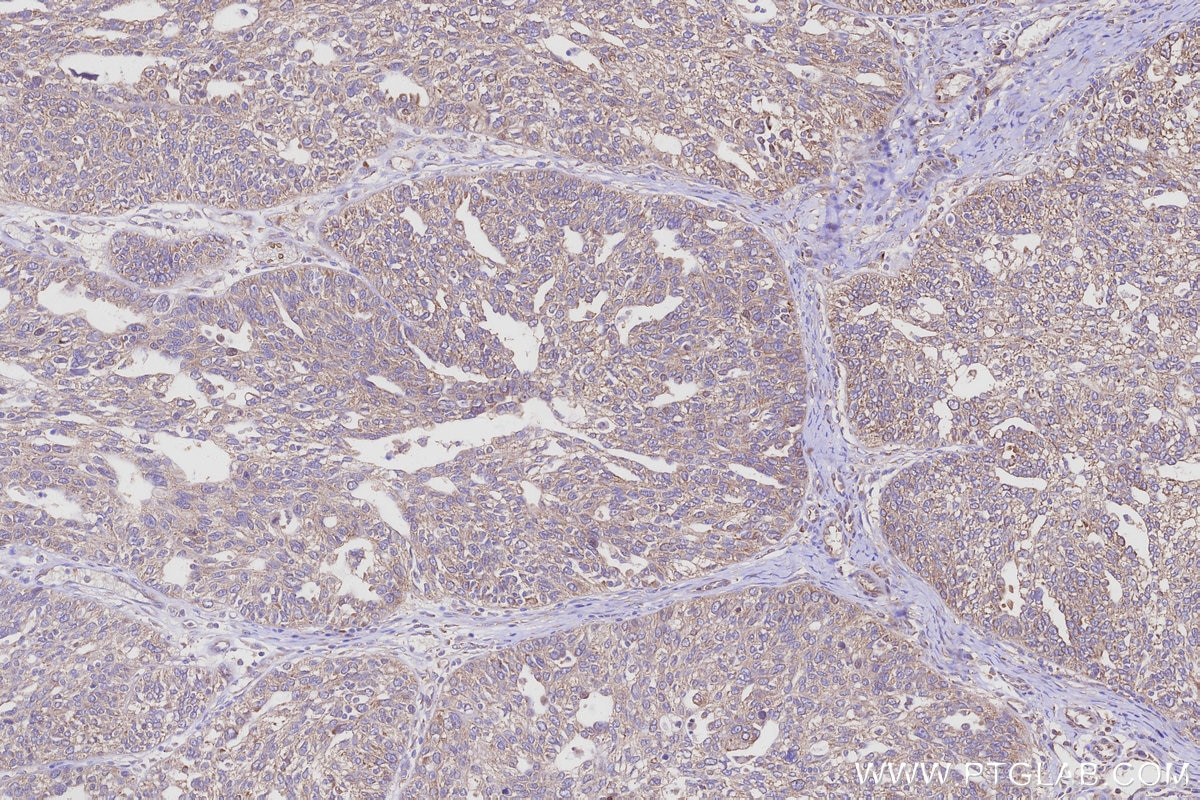
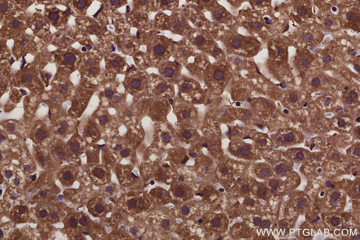
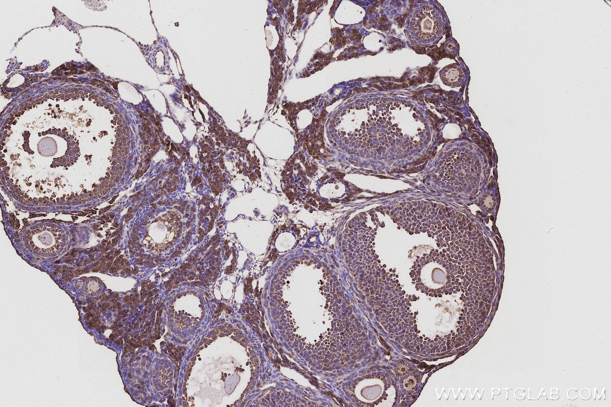
Validation Data Gallery
Product Information
KHC3098 is a ready-to-use IHC kit for staining of NACA. The kit provides all reagents, from antigen retrieval to cover slip mounting, that require little to no diluting or handling prior to use. Simply apply the reagents to your sample slide according to the protocol and you're steps away from obtaining high-quality IHC data.
| Product name | IHCeasy® NACA Ready-To-Use IHC Kit |
| Sample type | FFPE tissue |
| Assay type | Immunohistochemistry |
| Primary antibody type | Rabbit Polyclonal |
| Secondary antibody type | Polymer-HRP-Goat anti-Rabbit |
| Reactivity | Human, Mouse, Rat |
Kit components
| Component | Size | Concentration |
|---|---|---|
| Antigen Retrieval Buffer | 100 mL | 50× |
| Washing Buffer | 100 mL ×2 | 20× |
| Blocking Buffer | 5 mL | RTU |
| Primary Antibody | 5 mL | RTU |
| Secondary Antibody | 5 mL | RTU |
| Chromogen Component A | 0.2 mL | RTU |
| Chromogen Component B | 4 mL | RTU |
| Signal Enhancer | 5 mL | RTU |
| Counter Staining Reagent | 5 mL | RTU |
| Mounting Media | 5 mL | RTU |
| Datasheet | 1 Copy | |
| Manual | 1 Copy |
Background Information
NACA (NAC-alpha), or Nascent polypeptide-associated complex subunit alpha, is a component of the nascent polypeptide-associated complex (NAC). NACA is a key subunit of the NAC complex that assists in the proper folding of newly synthesized proteins and prevents the formation of harmful protein aggregates, playing a vital role in cellular protein quality control and stress response mechanisms.
Properties
| Storage Instructions | All the reagents are stored at 2-8°C. The kit is stable for 6 months from the date of receipt. |
| Synonyms | Alpha NAC, Hom s 2, HSD48, NAC alpha, NACA1 |






