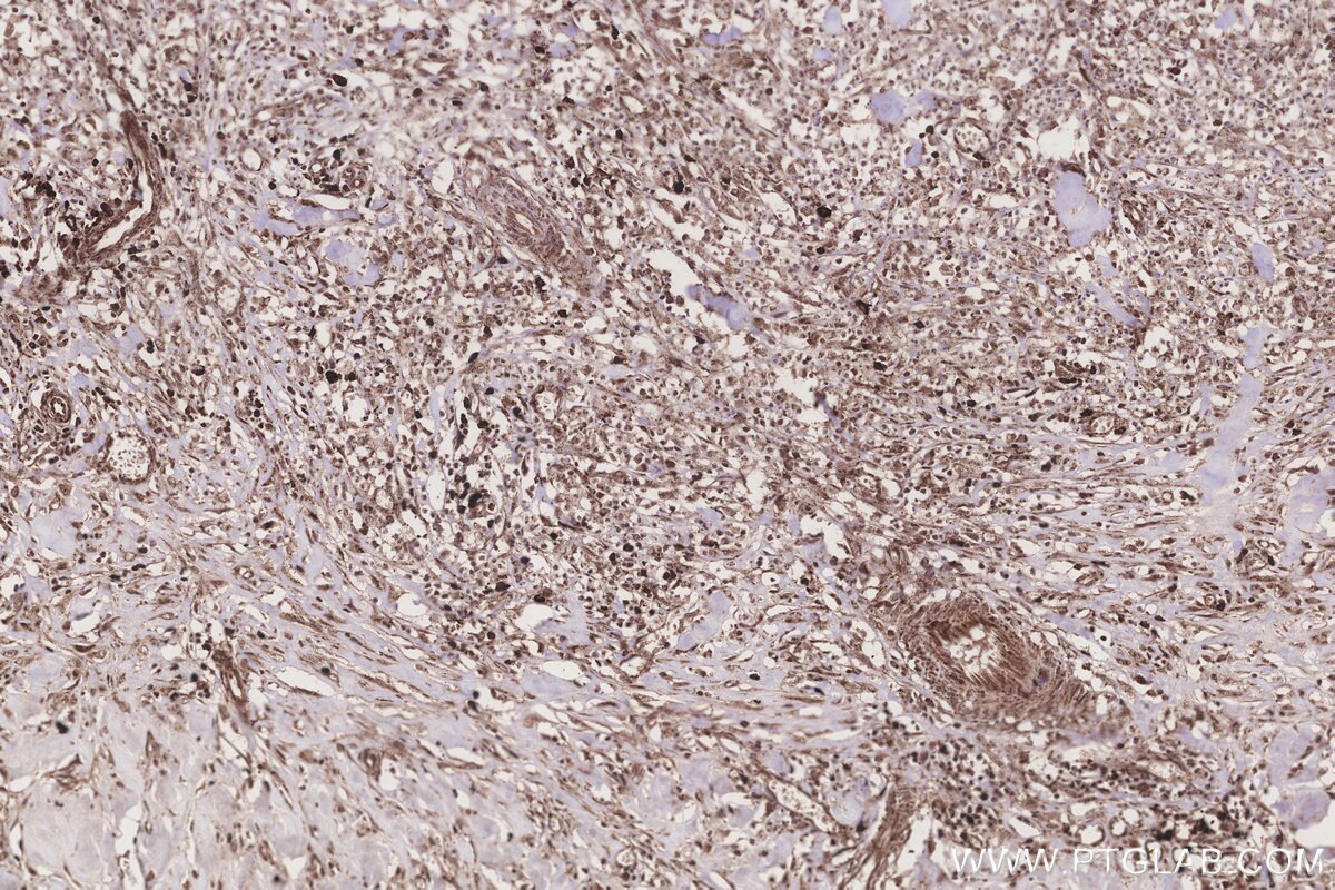
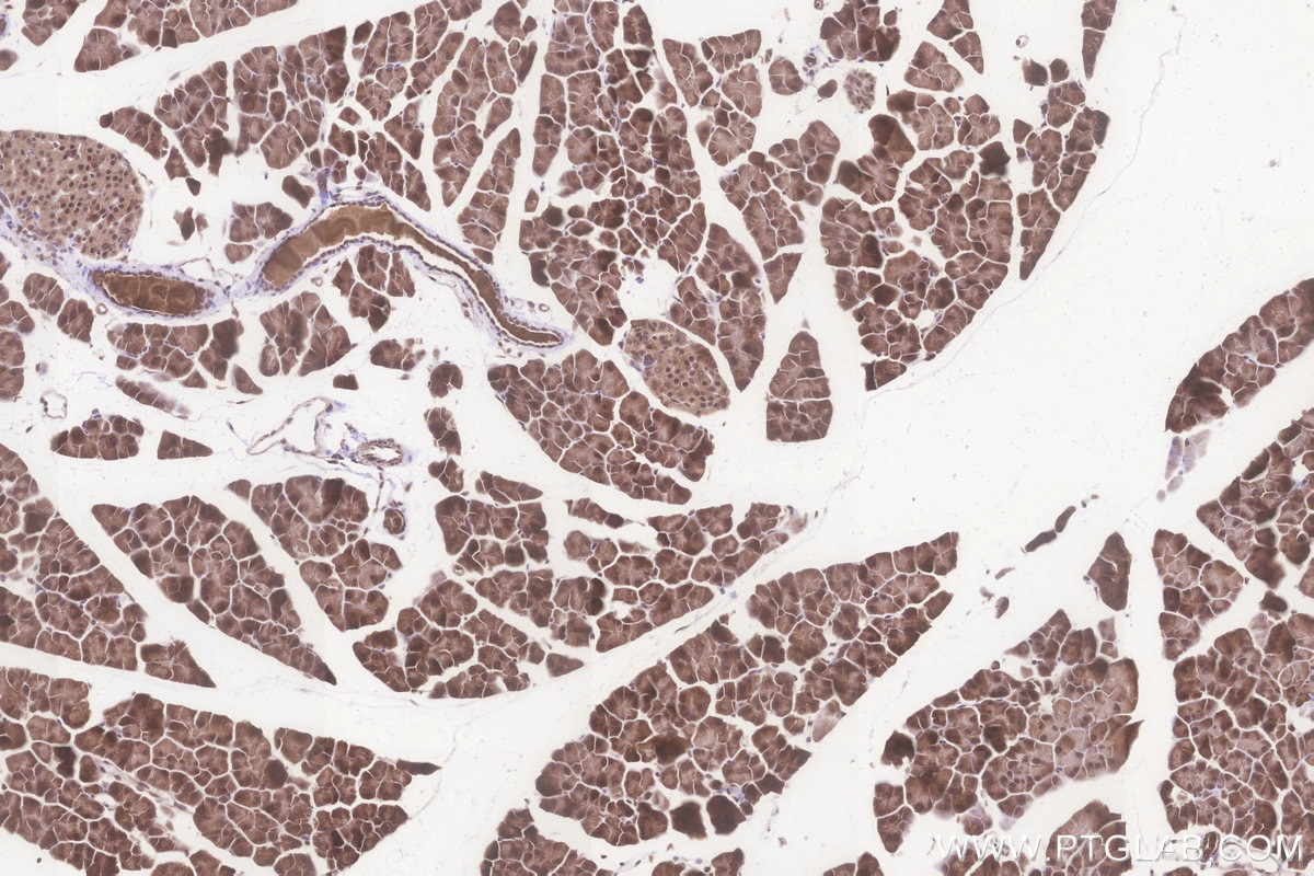
IHCeasy® MRPS35 Ready-To-Use IHC Kit
MRPS35 Ready-to-use reagent kit for IHC.
Reactivity
Human, Mouse
Sample Type
FFPE tissue
Cat no : KHC3240
Synonyms
HDCMD11P, MDS023, MRP S28, MRP S35, MRPS28
Validation Data Gallery
Product Information
KHC3240 is a ready-to-use IHC kit for staining of MRPS35. The kit provides all reagents, from antigen retrieval to cover slip mounting, that require little to no diluting or handling prior to use. Simply apply the reagents to your sample slide according to the protocol and you're steps away from obtaining high-quality IHC data.
| Product name | IHCeasy® MRPS35 Ready-To-Use IHC Kit |
| Sample type | FFPE tissue |
| Assay type | Immunohistochemistry |
| Primary antibody type | Rabbit Polyclonal |
| Secondary antibody type | Polymer-HRP-Goat anti-Rabbit |
| Reactivity | Human, Mouse |
Kit components
| Component | Size | Concentration |
|---|---|---|
| Antigen Retrieval Buffer | 100 mL | 50× |
| Washing Buffer | 100 mL ×2 | 20× |
| Blocking Buffer | 5 mL | RTU |
| Primary Antibody | 5 mL | RTU |
| Secondary Antibody | 5 mL | RTU |
| Chromogen Component A | 0.2 mL | RTU |
| Chromogen Component B | 4 mL | RTU |
| Signal Enhancer | 5 mL | RTU |
| Counter Staining Reagent | 5 mL | RTU |
| Mounting Media | 5 mL | RTU |
| Datasheet | 1 Copy | |
| Manual | 1 Copy |
Background Information
Mammalian mitochondrial ribosomes (mitoribosomes) are responsible for protein synthesis within the mitochondrion. The mitoribosomes are composed of a 4:1 ratio of protein to RNA, with the proteins forming two subunits, the 28S subunit and the 39S subunit. Across species, the proteins that make up the mitoribosome subunits vary greatly in sequence, preventing easy recognition by sequence homology. MRPS35 (mitochondrial ribosomal protein S35), also known as MDS023, MRPS28 or HDCMD11P, is a 323 amino acid protein that localizes to the mitochondrion, where it exists as a component of the 28S ribosomal subunit and works in conjunction with other MRPs to mediate protein synthesis. Existing as two alternatively spliced isoforms, MRPS35 is encoded by a gene located on human chromosome 10, which houses over 1,200 genes and comprises nearly 4.5% of the human genome.
Properties
| Storage Instructions | All the reagents are stored at 2-8°C. The kit is stable for 6 months from the date of receipt. |
| Synonyms | HDCMD11P, MDS023, MRP S28, MRP S35, MRPS28 |



