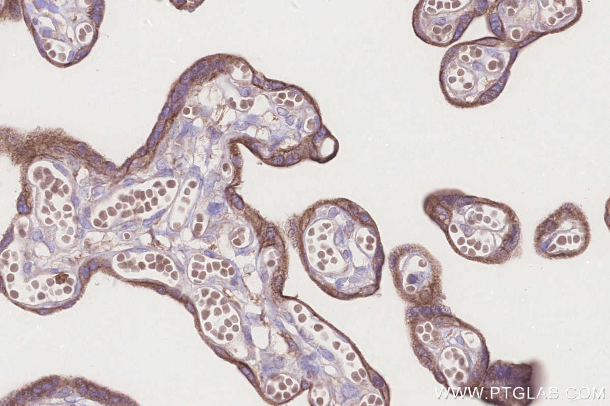
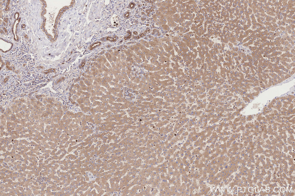
IHCeasy® MRPS27 Ready-To-Use IHC Kit
MRPS27 Ready-to-use reagent kit for IHC.
Reactivity
Human
Sample Type
FFPE tissue
Cat no : KHC3305
Synonyms
KIAA0264, MRP S27, MRPS 27, MRP-S27, S27mt
Validation Data Gallery
Product Information
KHC3305 is a ready-to-use IHC kit for staining of MRPS27. The kit provides all reagents, from antigen retrieval to cover slip mounting, that require little to no diluting or handling prior to use. Simply apply the reagents to your sample slide according to the protocol and you're steps away from obtaining high-quality IHC data.
| Product name | IHCeasy® MRPS27 Ready-To-Use IHC Kit |
| Sample type | FFPE tissue |
| Assay type | Immunohistochemistry |
| Primary antibody type | Mouse Monoclonal |
| Secondary antibody type | Polymer-HRP-Goat anti-Mouse |
| Reactivity | Human |
Kit components
| Component | Size | Concentration |
|---|---|---|
| Antigen Retrieval Buffer | 100 mL | 50× |
| Washing Buffer | 100 mL ×2 | 20× |
| Blocking Buffer | 5 mL | RTU |
| Primary Antibody | 5 mL | RTU |
| Secondary Antibody | 5 mL | RTU |
| Chromogen Component A | 0.2 mL | RTU |
| Chromogen Component B | 4 mL | RTU |
| Signal Enhancer | 5 mL | RTU |
| Counter Staining Reagent | 5 mL | RTU |
| Mounting Media | 5 mL | RTU |
| Datasheet | 1 Copy | |
| Manual | 1 Copy |
Background Information
Genes encoding PPR (pentatricopeptide repeat)-containing proteins constitute one of the largest gene families in plants. The majority of these proteins are predicted to target organelles and to bind to RNA. Strikingly, there is a dearth of these proteins in mammals, although genomic searches reveal six candidates, all of which are also predicted to target the mitochondrion. One of these proteins, MRPS27is participated in transcription and translation respectively. MRPS27is a component of the small subunit of the mitochondrial ribosome that is encoded by the nuclear genome.
Properties
| Storage Instructions | All the reagents are stored at 2-8°C. The kit is stable for 6 months from the date of receipt. |
| Synonyms | KIAA0264, MRP S27, MRPS 27, MRP-S27, S27mt |



