IHCeasy® MIGA2/FAM73B Ready-To-Use IHC Kit
MIGA2/FAM73B Ready-to-use reagent kit for IHC.
Reactivity
Human, Mouse
Sample Type
FFPE tissue
Cat no : KHC3277
Synonyms
FAM73B, MIGA2, C9orf54, Mitoguardin 2, Protein FAM73B
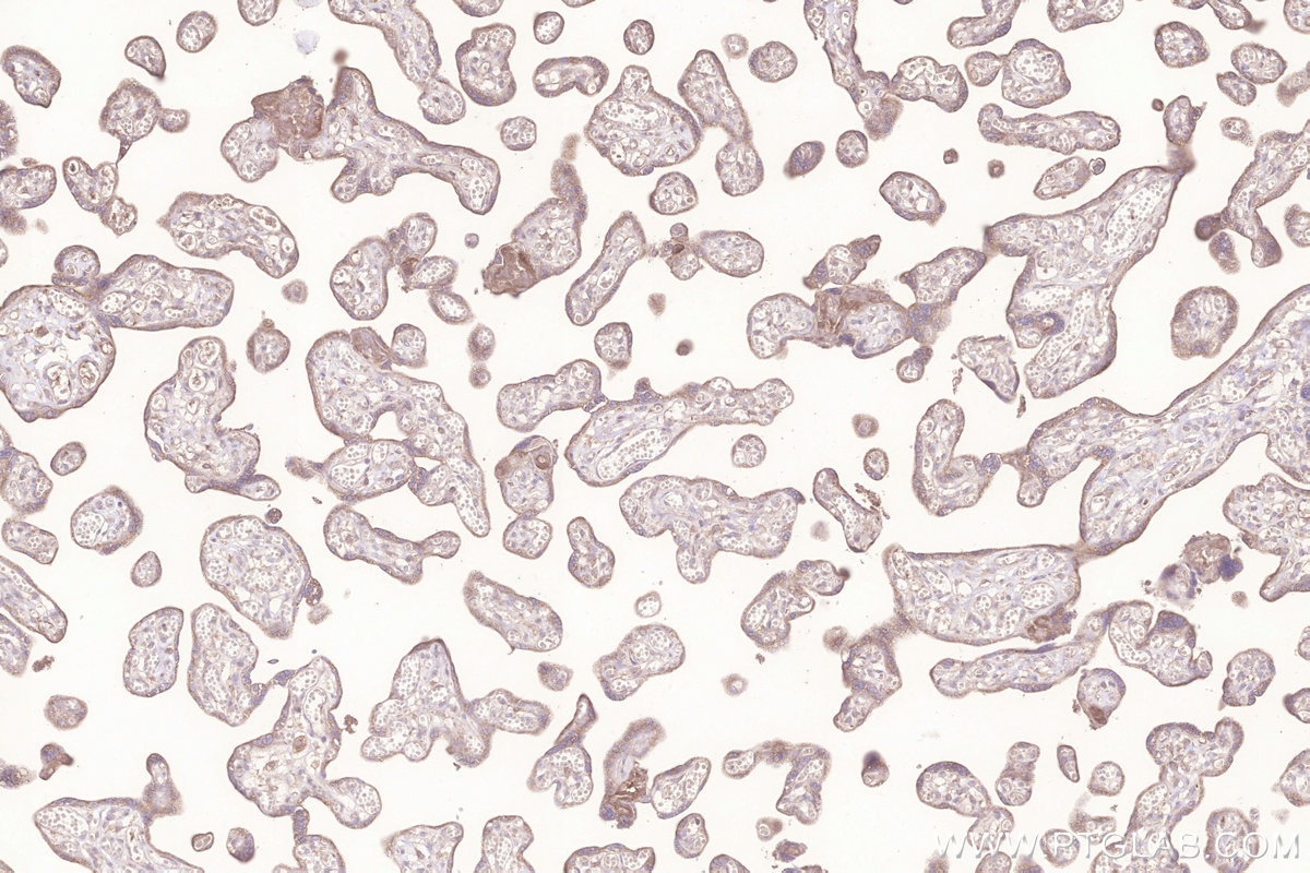
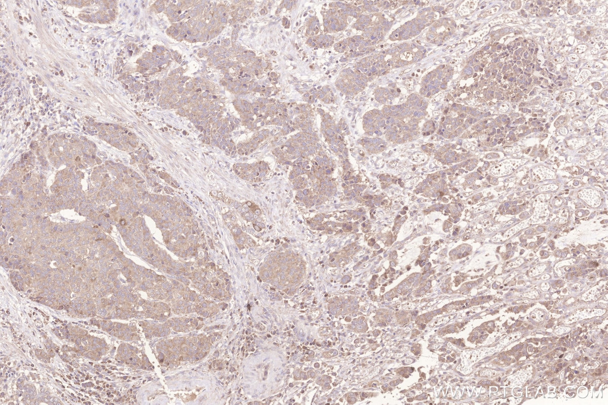
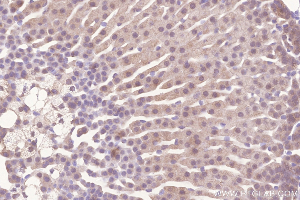
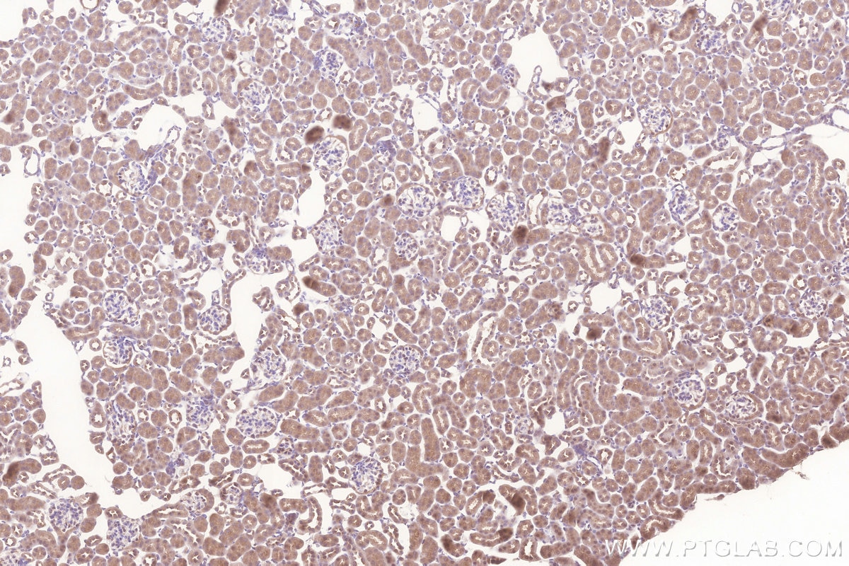
Validation Data Gallery
Product Information
KHC3277 is a ready-to-use IHC kit for staining of MIGA2/FAM73B. The kit provides all reagents, from antigen retrieval to cover slip mounting, that require little to no diluting or handling prior to use. Simply apply the reagents to your sample slide according to the protocol and you're steps away from obtaining high-quality IHC data.
| Product name | IHCeasy® MIGA2/FAM73B Ready-To-Use IHC Kit |
| Sample type | FFPE tissue |
| Assay type | Immunohistochemistry |
| Primary antibody type | Rabbit Polyclonal |
| Secondary antibody type | Polymer-HRP-Goat anti-Rabbit |
| Reactivity | Human, Mouse |
Kit components
| Component | Size | Concentration |
|---|---|---|
| Antigen Retrieval Buffer | 100 mL | 50× |
| Washing Buffer | 100 mL ×2 | 20× |
| Blocking Buffer | 5 mL | RTU |
| Primary Antibody | 5 mL | RTU |
| Secondary Antibody | 5 mL | RTU |
| Chromogen Component A | 0.2 mL | RTU |
| Chromogen Component B | 4 mL | RTU |
| Signal Enhancer | 5 mL | RTU |
| Counter Staining Reagent | 5 mL | RTU |
| Mounting Media | 5 mL | RTU |
| Datasheet | 1 Copy | |
| Manual | 1 Copy |
Background Information
MIGA2 (mitoguardin-2) also named as FAM73B, is a mitochondrial protein at contacts with the ER and/or lipid droplets (LDs), and identified as a lipid transporter. MIGA2 localizes to contact sites between mitochondria and the ER or mitochondria and lipid droplets (LDs). Based on its presence in many tissues, MIGA2 is likely critical for lipid and energy homeostasis in a wide spectrum of cell types.
Properties
| Storage Instructions | All the reagents are stored at 2-8°C. The kit is stable for 6 months from the date of receipt. |
| Synonyms | FAM73B, MIGA2, C9orf54, Mitoguardin 2, Protein FAM73B |




