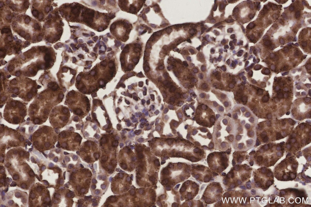
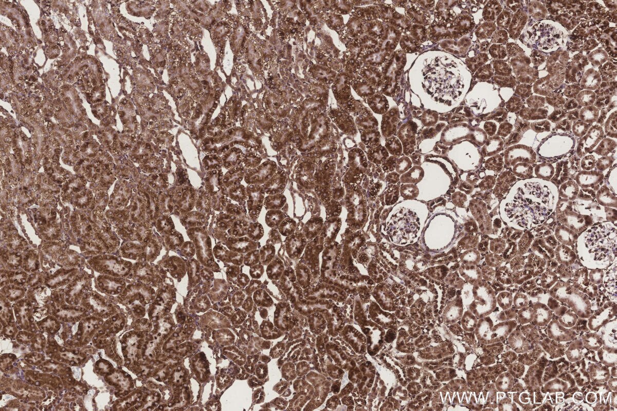
IHCeasy® METTL7B Ready-To-Use IHC Kit
METTL7B Ready-to-use reagent kit for IHC.
Reactivity
Human, Mouse, Rat
Sample Type
FFPE tissue
Cat no : KHC3275
Synonyms
EC:2.1.1.9, methyltransferase like 7B, Methyltransferase-like protein 7B, Thiol S-methyltransferase METTL7B, Thiol S-methyltransferase TMT1B
Validation Data Gallery
Product Information
KHC3275 is a ready-to-use IHC kit for staining of METTL7B. The kit provides all reagents, from antigen retrieval to cover slip mounting, that require little to no diluting or handling prior to use. Simply apply the reagents to your sample slide according to the protocol and you're steps away from obtaining high-quality IHC data.
| Product name | IHCeasy® METTL7B Ready-To-Use IHC Kit |
| Sample type | FFPE tissue |
| Assay type | Immunohistochemistry |
| Primary antibody type | Rabbit Polyclonal |
| Secondary antibody type | Polymer-HRP-Goat anti-Rabbit |
| Reactivity | Human, Mouse, Rat |
Kit components
| Component | Size | Concentration |
|---|---|---|
| Antigen Retrieval Buffer | 100 mL | 50× |
| Washing Buffer | 100 mL ×2 | 20× |
| Blocking Buffer | 5 mL | RTU |
| Primary Antibody | 5 mL | RTU |
| Secondary Antibody | 5 mL | RTU |
| Chromogen Component A | 0.2 mL | RTU |
| Chromogen Component B | 4 mL | RTU |
| Signal Enhancer | 5 mL | RTU |
| Counter Staining Reagent | 5 mL | RTU |
| Mounting Media | 5 mL | RTU |
| Datasheet | 1 Copy | |
| Manual | 1 Copy |
Background Information
METTL7B is a membrane-associated small-molecule methyltransferase that catalyzes S-methylation of alkyl thiols, thereby linking thiol/sulfur metabolism, redox homeostasis, and cellular stress responses. By influencing antioxidant enzyme expression and detoxification pathways, METTL7B plays a pivotal role in tumor growth and drug resistance, particularly in lung adenocarcinoma. Its upregulation in multiple cancers and involvement in redox/thiol metabolism make it an emerging therapeutic target in oncology and possibly in metabolic/oxidative stress-related disease settings.
Properties
| Storage Instructions | All the reagents are stored at 2-8°C. The kit is stable for 6 months from the date of receipt. |
| Synonyms | EC:2.1.1.9, methyltransferase like 7B, Methyltransferase-like protein 7B, Thiol S-methyltransferase METTL7B, Thiol S-methyltransferase TMT1B |





