IHCeasy® MAP7D1 Ready-To-Use IHC Kit
MAP7D1 Ready-to-use reagent kit for IHC.
Reactivity
Human, Mouse
Sample Type
FFPE tissue
Cat no : KHC3102
Synonyms
Arginine/proline-rich coiled-coil domain-containing protein 1, KIAA1187, MAP7 domain-containing protein 1, PARCC1, PP2464
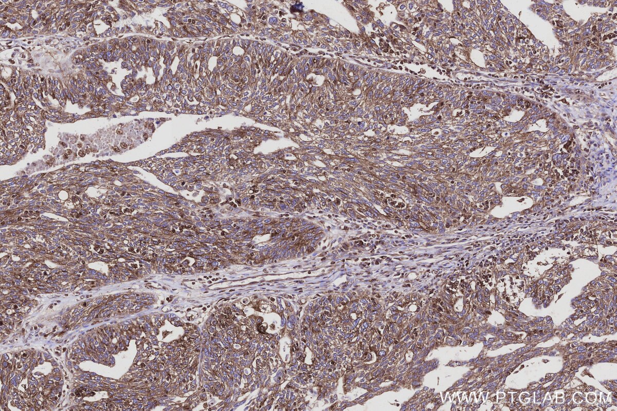
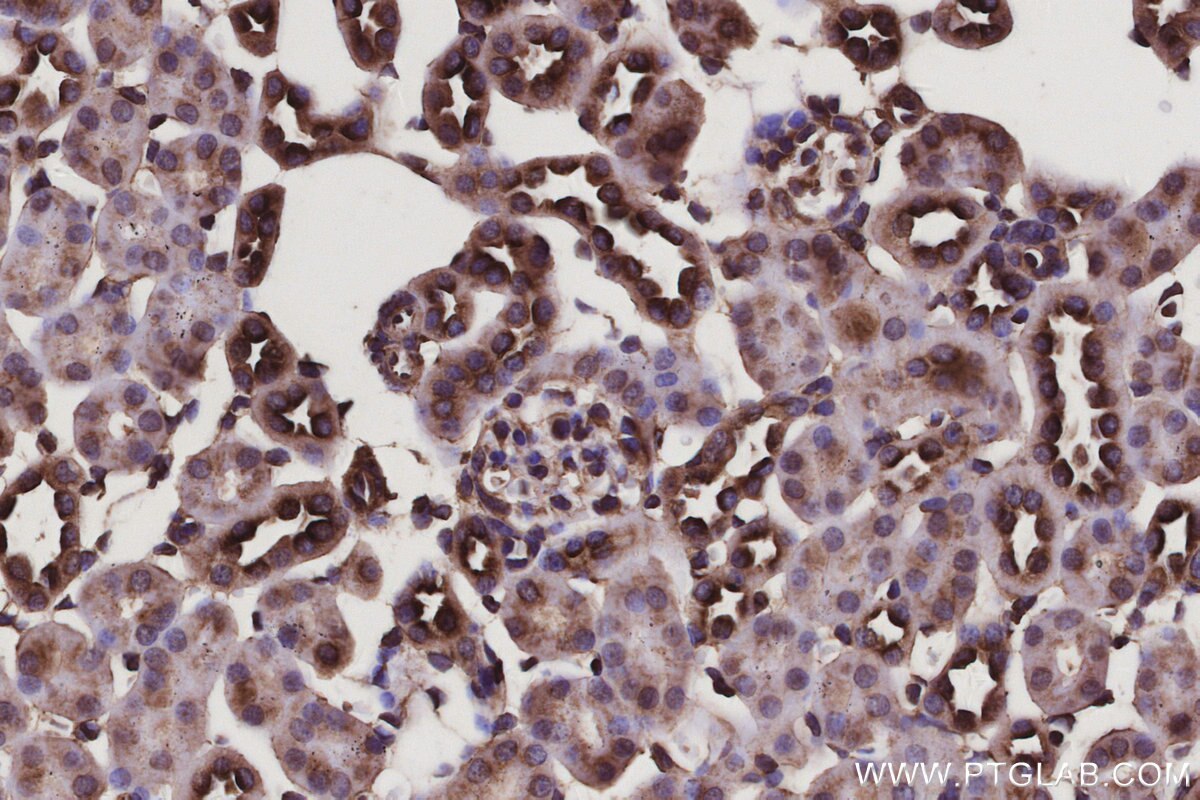
Validation Data Gallery
Product Information
KHC3102 is a ready-to-use IHC kit for staining of MAP7D1. The kit provides all reagents, from antigen retrieval to cover slip mounting, that require little to no diluting or handling prior to use. Simply apply the reagents to your sample slide according to the protocol and you're steps away from obtaining high-quality IHC data.
| Product name | IHCeasy® MAP7D1 Ready-To-Use IHC Kit |
| Sample type | FFPE tissue |
| Assay type | Immunohistochemistry |
| Primary antibody type | Rabbit Polyclonal |
| Secondary antibody type | Polymer-HRP-Goat anti-Rabbit |
| Reactivity | Human, Mouse |
Kit components
| Component | Size | Concentration |
|---|---|---|
| Antigen Retrieval Buffer | 100 mL | 50× |
| Washing Buffer | 100 mL ×2 | 20× |
| Blocking Buffer | 5 mL | RTU |
| Primary Antibody | 5 mL | RTU |
| Secondary Antibody | 5 mL | RTU |
| Chromogen Component A | 0.2 mL | RTU |
| Chromogen Component B | 4 mL | RTU |
| Signal Enhancer | 5 mL | RTU |
| Counter Staining Reagent | 5 mL | RTU |
| Mounting Media | 5 mL | RTU |
| Datasheet | 1 Copy | |
| Manual | 1 Copy |
Background Information
MAP7D1 also known as RPRC1, PARCC1, belongs to the MAP7 family. The MAP7 (Microtubule Associated Protein 7) protein family, consisting of four members, MAP7, MAP7D1, and MAP7D2, MAP7D3, is the microtubule-associated protein involved in various cellular processes regulating microtubule dynamics, organization, and stability. MAP7D1 exhibits the highest conservation with MAP7 and was recently identified as a phosphorylation substrate of DCLK1 in cortical neurons. MAP7D1 is required to maintain MT acetylation, which is enriched in stable MTs.
Properties
| Storage Instructions | All the reagents are stored at 2-8°C. The kit is stable for 6 months from the date of receipt. |
| Synonyms | Arginine/proline-rich coiled-coil domain-containing protein 1, KIAA1187, MAP7 domain-containing protein 1, PARCC1, PP2464 |


