IHCeasy® LCMT1 Ready-To-Use IHC Kit
LCMT1 Ready-to-use reagent kit for IHC.
Reactivity
Human, Rat
Sample Type
FFPE tissue
Cat no : KHC3012
Synonyms
[Phosphatase 2A protein]-leucine-carboxy methyltransferase 1, CGI 68, CGI-68, EC:2.1.1.233, LCMT
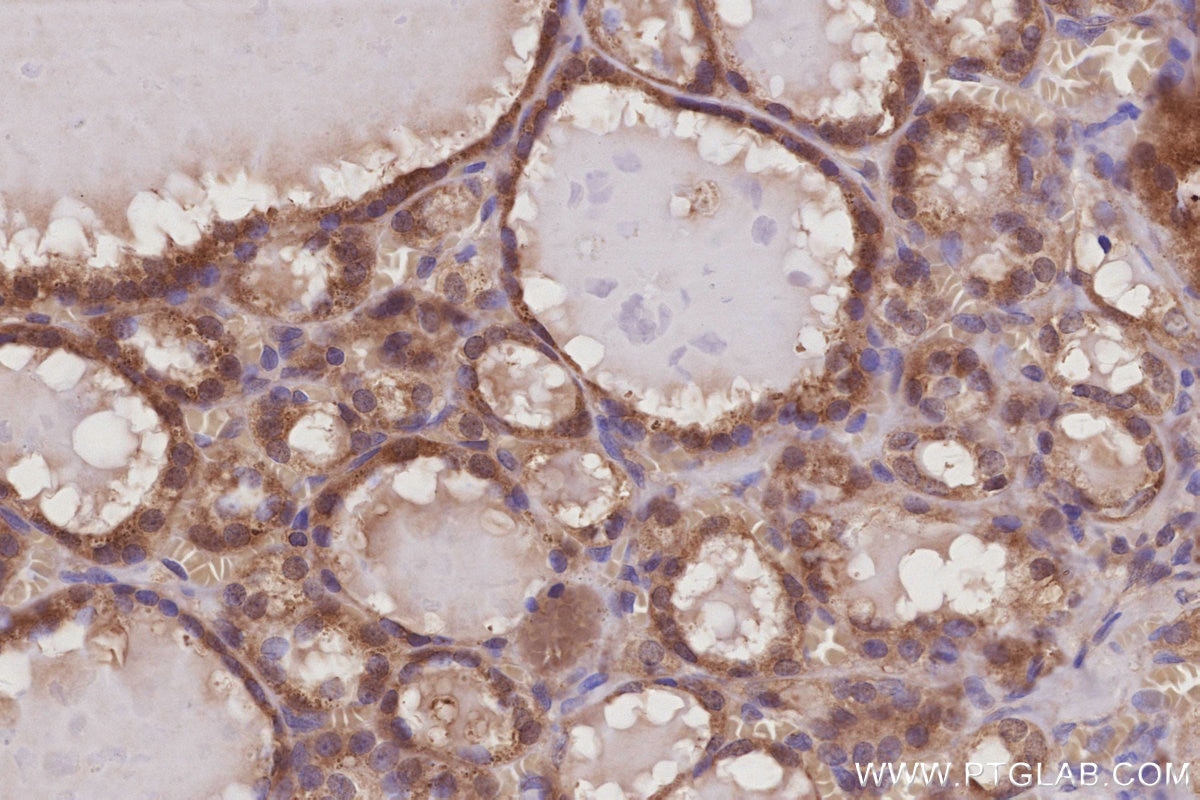
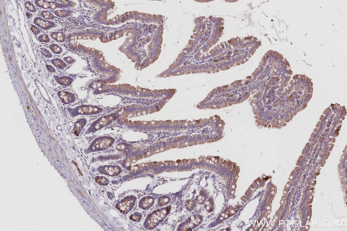
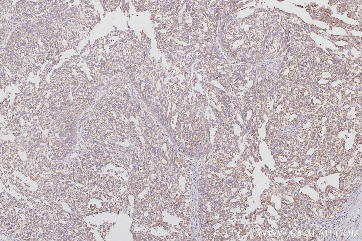
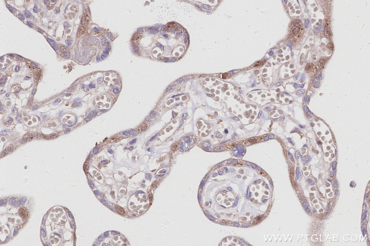
Validation Data Gallery
Product Information
KHC3012 is a ready-to-use IHC kit for staining of LCMT1. The kit provides all reagents, from antigen retrieval to cover slip mounting, that require little to no diluting or handling prior to use. Simply apply the reagents to your sample slide according to the protocol and you're steps away from obtaining high-quality IHC data.
| Product name | IHCeasy® LCMT1 Ready-To-Use IHC Kit |
| Sample type | FFPE tissue |
| Assay type | Immunohistochemistry |
| Primary antibody type | Rabbit Polyclonal |
| Secondary antibody type | Polymer-HRP-Goat anti-Rabbit |
| Reactivity | Human, Rat |
Kit components
| Component | Size | Concentration |
|---|---|---|
| Antigen Retrieval Buffer | 100 mL | 50× |
| Washing Buffer | 100 mL ×2 | 20× |
| Blocking Buffer | 5 mL | RTU |
| Primary Antibody | 5 mL | RTU |
| Secondary Antibody | 5 mL | RTU |
| Chromogen Component A | 0.2 mL | RTU |
| Chromogen Component B | 4 mL | RTU |
| Signal Enhancer | 5 mL | RTU |
| Counter Staining Reagent | 5 mL | RTU |
| Mounting Media | 5 mL | RTU |
| Datasheet | 1 Copy | |
| Manual | 1 Copy |
Background Information
Leucine carboxyl methyltransferase 1 (LCMT1) belongs to the methyltransferase superfamily (LCMT family). It methylates the carboxyl group of the C-terminal leucine residue of protein phosphatase 2A catalytic subunits to form alpha-leucine ester residues.
Properties
| Storage Instructions | All the reagents are stored at 2-8°C. The kit is stable for 6 months from the date of receipt. |
| Synonyms | [Phosphatase 2A protein]-leucine-carboxy methyltransferase 1, CGI 68, CGI-68, EC:2.1.1.233, LCMT |





