IHCeasy® KTELC1 Ready-To-Use IHC Kit

KTELC1 Ready-to-use reagent kit for IHC.

Reactivity

Human, Mouse, Rat

Sample Type

FFPE tissue

Cat no : KHC3292

Synonyms

C3orf9, CAP10 like 46 kDa protein, CAP10-like 46 kDa protein, CLP46, EC:2.4.1.376



Product Information

KHC3292 is a ready-to-use IHC kit for staining of KTELC1. The kit provides all reagents, from antigen retrieval to cover slip mounting, that require little to no diluting or handling prior to use. Simply apply the reagents to your sample slide according to the protocol and you're steps away from obtaining high-quality IHC data.

Product name IHCeasy® KTELC1 Ready-To-Use IHC Kit
Sample type FFPE tissue
Assay type Immunohistochemistry
Primary antibody type Rabbit Polyclonal
Secondary antibody type Polymer-HRP-Goat anti-Rabbit
Reactivity Human, Mouse, Rat

Kit components

ComponentSizeConcentration
Antigen Retrieval Buffer100 mL50×
Washing Buffer100 mL ×220×
Blocking Buffer5 mLRTU
Primary Antibody5 mLRTU
Secondary Antibody5 mLRTU
Chromogen Component A0.2 mLRTU
Chromogen Component B4 mLRTU
Signal Enhancer5 mLRTU
Counter Staining Reagent5 mLRTU
Mounting Media5 mLRTU
Datasheet1 Copy
Manual1 Copy

Background Information

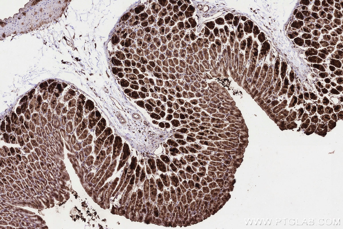
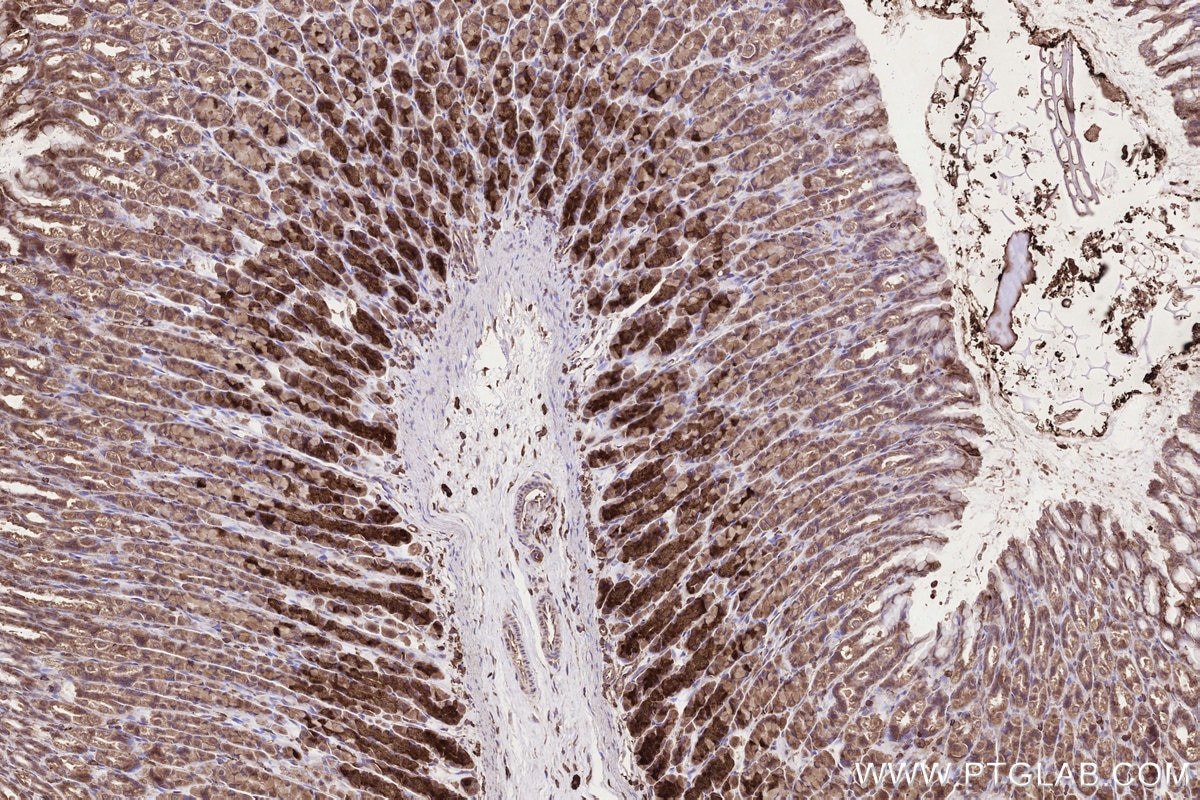
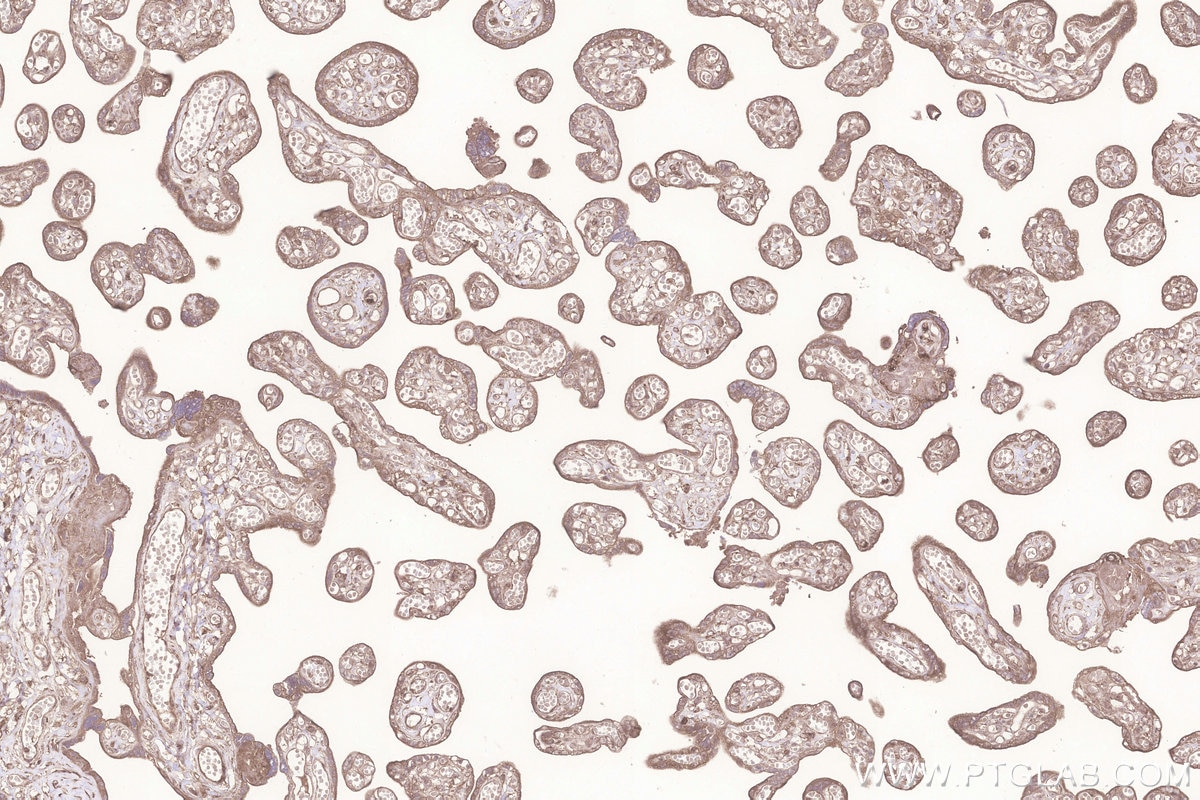
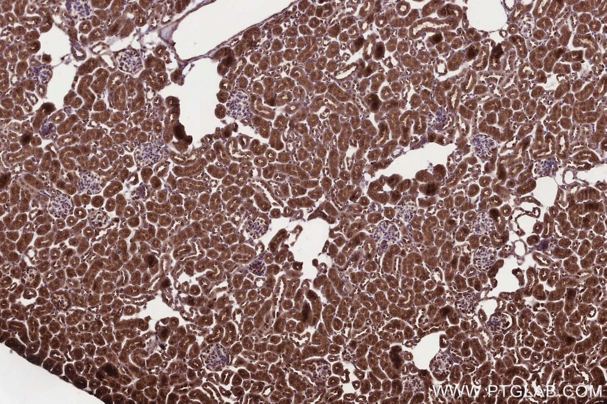
KTELC1 also termed as CLP46 is a glucosyltransferase, which implicates in Protein modification and glycosylation. KTELC1 is localized in endoplasmic reticulum lumen and abundantly expressed in liver, brain, heart, skeletal muscle, spleen, kidney, placenta, lung and peripheral blood leukocyte. KTELC1 may regulation in cell proliferation and Notch signal pathway.

Properties

Storage Instructions All the reagents are stored at 2-8°C. The kit is stable for 6 months from the date of receipt.
Synonyms C3orf9, CAP10 like 46 kDa protein, CAP10-like 46 kDa protein, CLP46, EC:2.4.1.376
||
New chat

Able

正在加载,请稍候...