IHCeasy® KIAA1468 Ready-To-Use IHC Kit
KIAA1468 Ready-to-use reagent kit for IHC.
Reactivity
Human, Rat
Sample Type
FFPE tissue
Cat no : KHC3119
Synonyms
RELCH, HsT3308, HsT885, LisH domain and HEAT repeat-containing protein KIAA1468, RAB11 binding and LisH domain, coiled-coil and HEAT repeat-containing
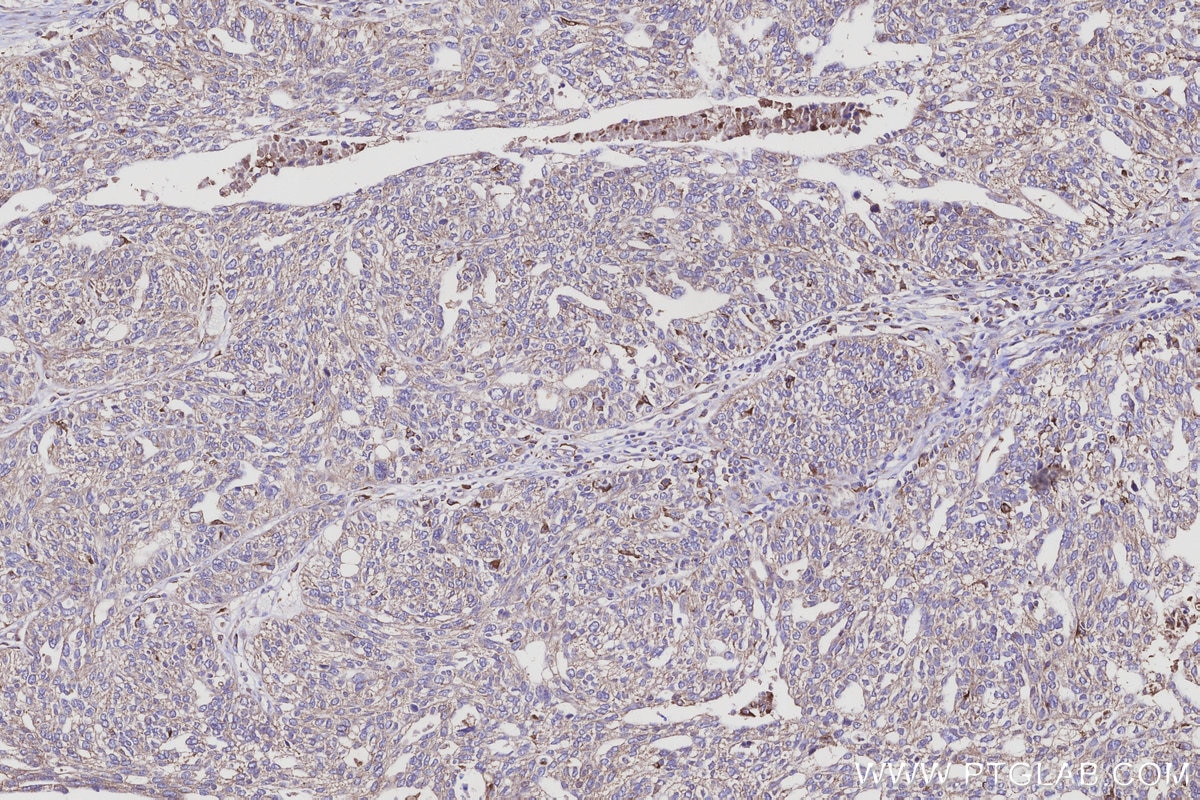
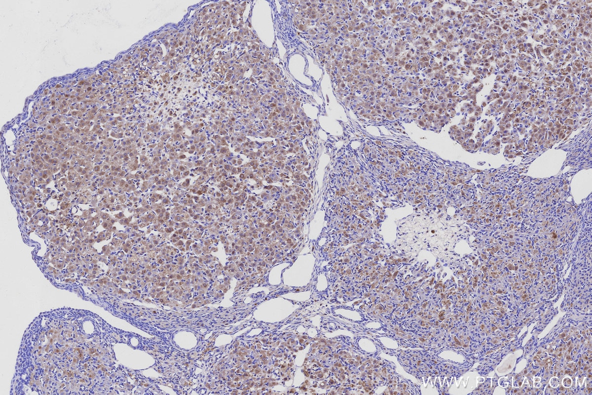
Validation Data Gallery
Product Information
KHC3119 is a ready-to-use IHC kit for staining of KIAA1468. The kit provides all reagents, from antigen retrieval to cover slip mounting, that require little to no diluting or handling prior to use. Simply apply the reagents to your sample slide according to the protocol and you're steps away from obtaining high-quality IHC data.
| Product name | IHCeasy® KIAA1468 Ready-To-Use IHC Kit |
| Sample type | FFPE tissue |
| Assay type | Immunohistochemistry |
| Primary antibody type | Rabbit Polyclonal |
| Secondary antibody type | Polymer-HRP-Goat anti-Rabbit |
| Reactivity | Human, Rat |
Kit components
| Component | Size | Concentration |
|---|---|---|
| Antigen Retrieval Buffer | 100 mL | 50× |
| Washing Buffer | 100 mL ×2 | 20× |
| Blocking Buffer | 5 mL | RTU |
| Primary Antibody | 5 mL | RTU |
| Secondary Antibody | 5 mL | RTU |
| Chromogen Component A | 0.2 mL | RTU |
| Chromogen Component B | 4 mL | RTU |
| Signal Enhancer | 5 mL | RTU |
| Counter Staining Reagent | 5 mL | RTU |
| Mounting Media | 5 mL | RTU |
| Datasheet | 1 Copy | |
| Manual | 1 Copy |
Background Information
RELCH/KIAA1468, which is a newly identified Rab11 effector protein, tethers the recycling endosomes (REs) and trans-Golgi network (TGN) membranes by binding TGN-localized oxysterol-binding protein (OSBP) and promotes OSBP-dependent nonvesicular cholesterol transport from REs to the TGN.
Properties
| Storage Instructions | All the reagents are stored at 2-8°C. The kit is stable for 6 months from the date of receipt. |
| Synonyms | RELCH, HsT3308, HsT885, LisH domain and HEAT repeat-containing protein KIAA1468, RAB11 binding and LisH domain, coiled-coil and HEAT repeat-containing |



