IHCeasy® KARS Ready-To-Use IHC Kit
KARS Ready-to-use reagent kit for IHC.
Reactivity
Human, Mouse, Rat
Sample Type
FFPE tissue
Cat no : KHC3255
Synonyms
EC:2.7.7.-, KARS1, KIAA0070, Lysine--tRNA ligase, Lysyl-tRNA synthetase
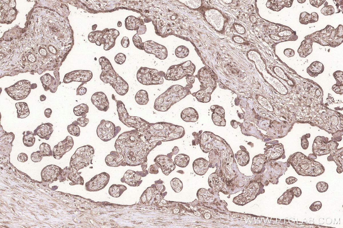
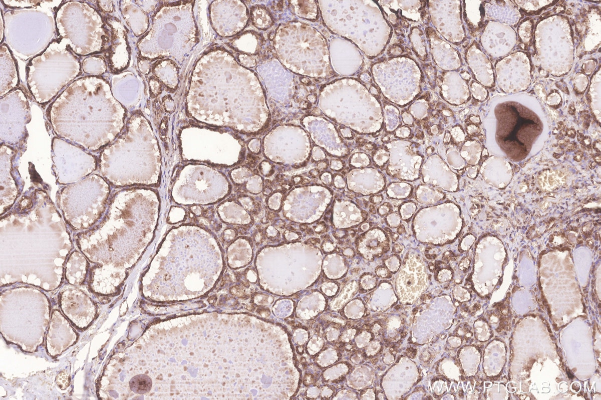
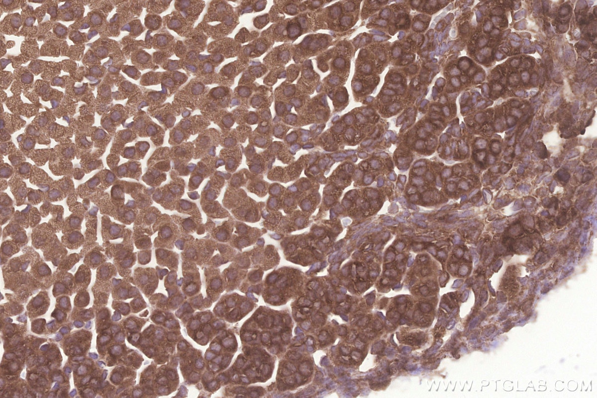
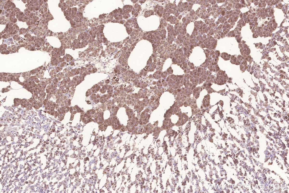
Validation Data Gallery
Product Information
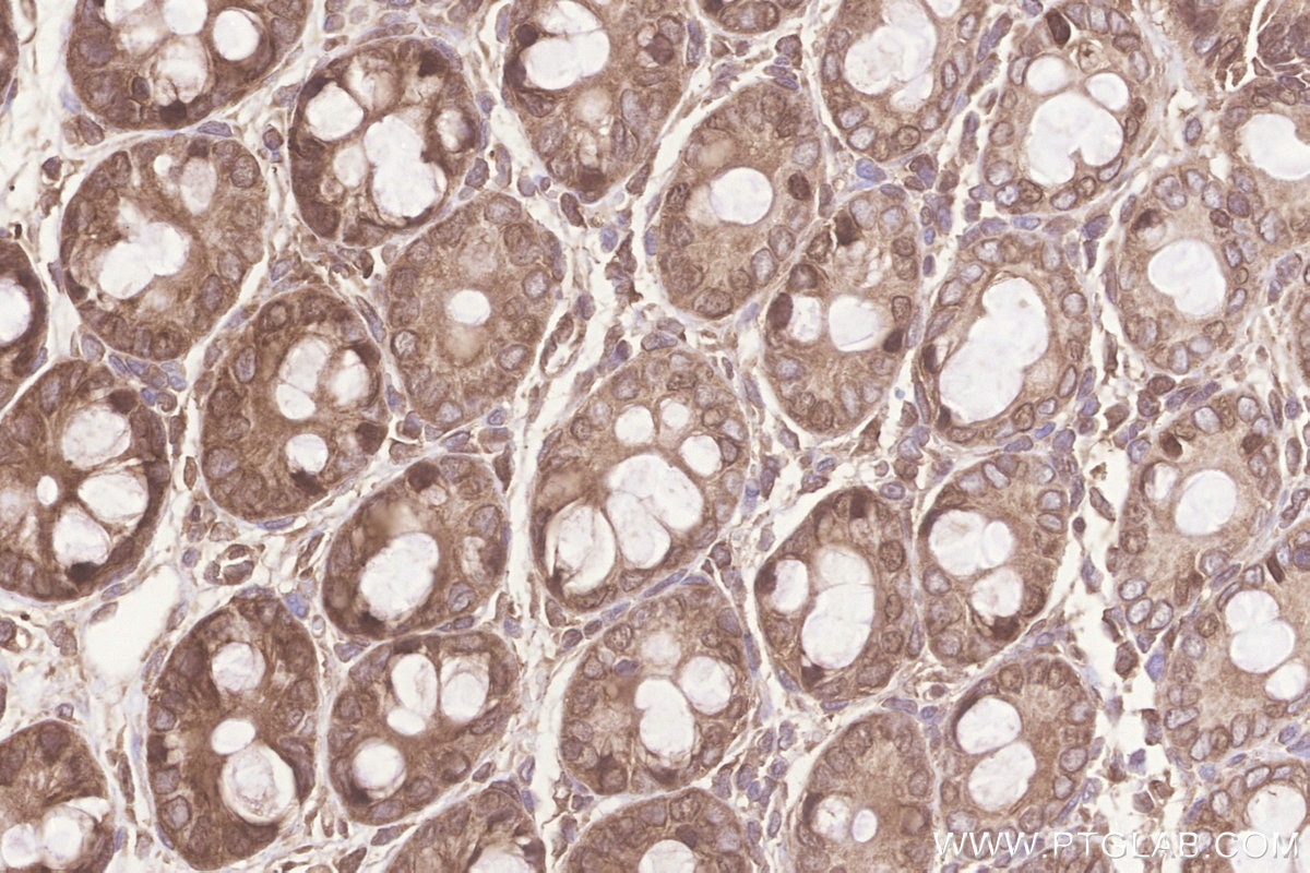
KHC3255 is a ready-to-use IHC kit for staining of KARS. The kit provides all reagents, from antigen retrieval to cover slip mounting, that require little to no diluting or handling prior to use. Simply apply the reagents to your sample slide according to the protocol and you're steps away from obtaining high-quality IHC data.
| Product name | IHCeasy® KARS Ready-To-Use IHC Kit |
| Sample type | FFPE tissue |
| Assay type | Immunohistochemistry |
| Primary antibody type | Rabbit Polyclonal |
| Secondary antibody type | Polymer-HRP-Goat anti-Rabbit |
| Reactivity | Human, Mouse, Rat |
Kit components
| Component | Size | Concentration |
|---|---|---|
| Antigen Retrieval Buffer | 100 mL | 50× |
| Washing Buffer | 100 mL ×2 | 20× |
| Blocking Buffer | 5 mL | RTU |
| Primary Antibody | 5 mL | RTU |
| Secondary Antibody | 5 mL | RTU |
| Chromogen Component A | 0.2 mL | RTU |
| Chromogen Component B | 4 mL | RTU |
| Signal Enhancer | 5 mL | RTU |
| Counter Staining Reagent | 5 mL | RTU |
| Mounting Media | 5 mL | RTU |
| Datasheet | 1 Copy | |
| Manual | 1 Copy |
Background Information
KARS (lysyl-tRNA synthetase) is a gene that encodes an enzyme critical for protein synthesis, specifically responsible for attaching the amino acid lysine to its corresponding transfer RNA (tRNA) in both the cytoplasm and mitochondria. This enzyme plays a crucial role in the process of aminoacylation, which is essential for accurate protein translation from mRNA sequences. Mutations in the KARS gene have been associated with a variety of neurological and systemic disorders, reflecting the enzyme's importance in cellular function.
Properties
| Storage Instructions | All the reagents are stored at 2-8°C. The kit is stable for 6 months from the date of receipt. |
| Synonyms | EC:2.7.7.-, KARS1, KIAA0070, Lysine--tRNA ligase, Lysyl-tRNA synthetase |







