IHCeasy® ITIH1 Ready-To-Use IHC Kit
ITIH1 Ready-to-use reagent kit for IHC.
Reactivity
Human, Mouse
Sample Type
FFPE tissue
Cat no : KHC3196
Synonyms
Inter-alpha-inhibitor heavy chain 1, Inter-alpha-trypsin inhibitor complex component III, Inter-alpha-trypsin inhibitor heavy chain H1, Serum-derived hyaluronan-associated protein
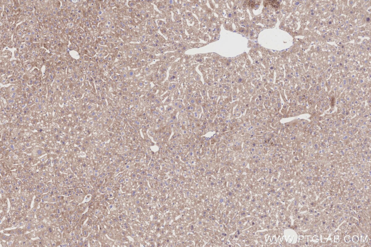
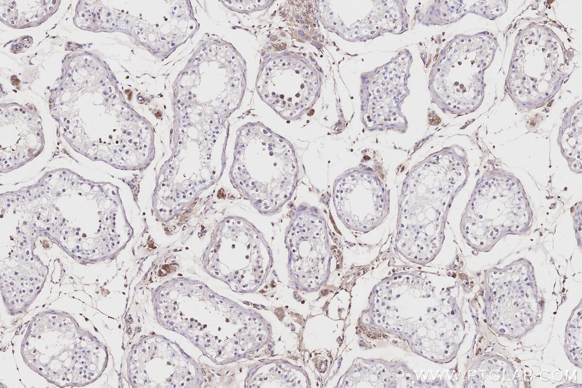
Validation Data Gallery
Product Information
KHC3196 is a ready-to-use IHC kit for staining of ITIH1. The kit provides all reagents, from antigen retrieval to cover slip mounting, that require little to no diluting or handling prior to use. Simply apply the reagents to your sample slide according to the protocol and you're steps away from obtaining high-quality IHC data.
| Product name | IHCeasy® ITIH1 Ready-To-Use IHC Kit |
| Sample type | FFPE tissue |
| Assay type | Immunohistochemistry |
| Primary antibody type | Rabbit Polyclonal |
| Secondary antibody type | Polymer-HRP-Goat anti-Rabbit |
| Reactivity | Human, Mouse |
Kit components
| Component | Size | Concentration |
|---|---|---|
| Antigen Retrieval Buffer | 100 mL | 50× |
| Washing Buffer | 100 mL ×2 | 20× |
| Blocking Buffer | 5 mL | RTU |
| Primary Antibody | 5 mL | RTU |
| Secondary Antibody | 5 mL | RTU |
| Chromogen Component A | 0.2 mL | RTU |
| Chromogen Component B | 4 mL | RTU |
| Signal Enhancer | 5 mL | RTU |
| Counter Staining Reagent | 5 mL | RTU |
| Mounting Media | 5 mL | RTU |
| Datasheet | 1 Copy | |
| Manual | 1 Copy |
Background Information
ITIH1 (inter-alpha-trypsin inhibitor heavy chain 1), also named as IGHEP1 and SHAP. It is a key component of the inter-alpha-trypsin inhibitor (ITI) family, which plays a crucial role in extracellular matrix (ECM) stabilization and inflammation regulation. ITIH1 forms a complex with bikunin (a light chain) and other heavy chains (ITIH2, ITIH3, ITIH4), contributing to the stabilization of hyaluronan-rich matrices.
Properties
| Storage Instructions | All the reagents are stored at 2-8°C. The kit is stable for 6 months from the date of receipt. |
| Synonyms | Inter-alpha-inhibitor heavy chain 1, Inter-alpha-trypsin inhibitor complex component III, Inter-alpha-trypsin inhibitor heavy chain H1, Serum-derived hyaluronan-associated protein |



