IHCeasy® HERC4 Ready-To-Use IHC Kit
HERC4 Ready-to-use reagent kit for IHC.
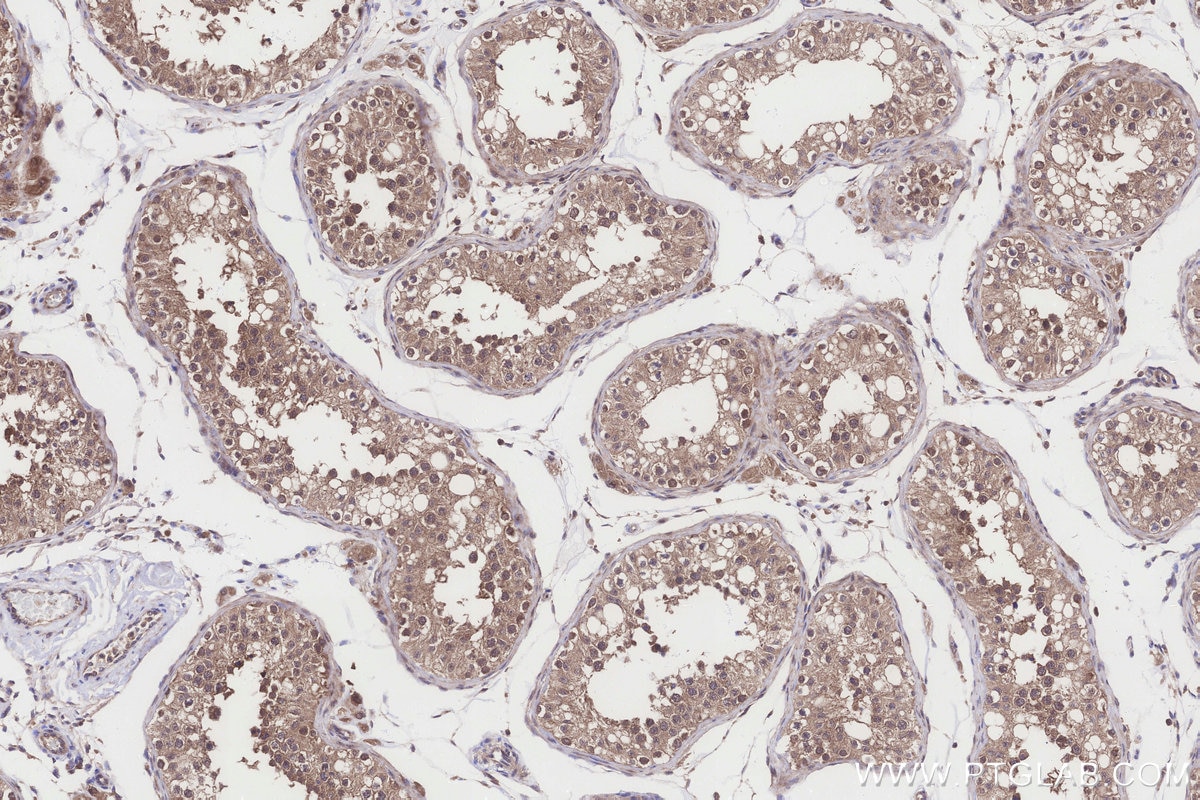
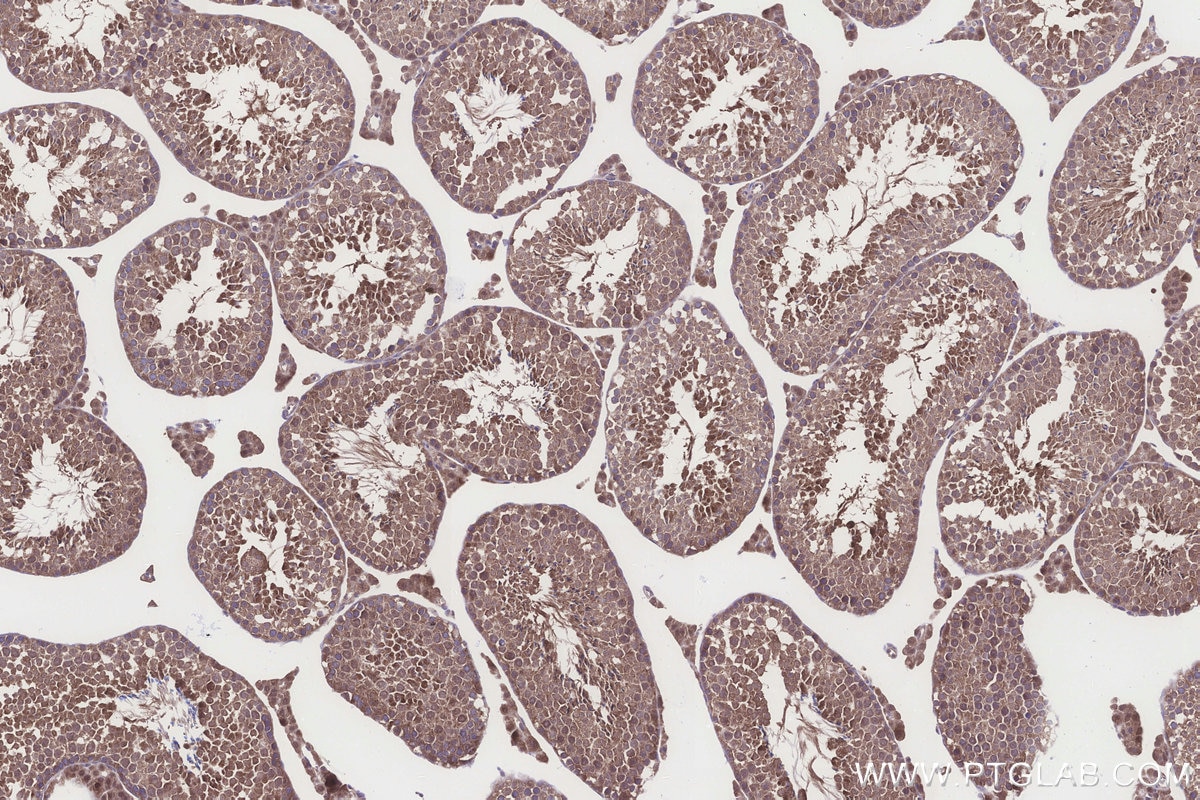
Reactivity
Human, Mouse, Rat
Sample Type
FFPE tissue
Cat no : KHC3261
Synonyms
EC:2.3.2.26, HECT domain and RCC1-like domain-containing protein 4, hect domain and RLD 4, HECT-type E3 ubiquitin transferase HERC4, KIAA1593
Validation Data Gallery
Product Information
KHC3261 is a ready-to-use IHC kit for staining of HERC4. The kit provides all reagents, from antigen retrieval to cover slip mounting, that require little to no diluting or handling prior to use. Simply apply the reagents to your sample slide according to the protocol and you're steps away from obtaining high-quality IHC data.
| Product name | IHCeasy® HERC4 Ready-To-Use IHC Kit |
| Sample type | FFPE tissue |
| Assay type | Immunohistochemistry |
| Primary antibody type | Rabbit Recombinant |
| Secondary antibody type | Polymer-HRP-Goat anti-Rabbit |
| Reactivity | Human, Mouse, Rat |
Kit components
| Component | Size | Concentration |
|---|---|---|
| Antigen Retrieval Buffer | 100 mL | 50× |
| Washing Buffer | 100 mL ×2 | 20× |
| Blocking Buffer | 5 mL | RTU |
| Primary Antibody | 5 mL | RTU |
| Secondary Antibody | 5 mL | RTU |
| Chromogen Component A | 0.2 mL | RTU |
| Chromogen Component B | 4 mL | RTU |
| Signal Enhancer | 5 mL | RTU |
| Counter Staining Reagent | 5 mL | RTU |
| Mounting Media | 5 mL | RTU |
| Datasheet | 1 Copy | |
| Manual | 1 Copy |
Background Information
HERC4, also known as HECT and RLD domain containing E3 ubiquitin protein ligase 4, is a protein encoded by the HERC4 gene in humans. HERC4 is a novel member of HERC family. The mRNA of HERC4 has been found in all examined tissues, with its levels being significantly higher in the brain and testis than in the placenta and heart.
Properties
| Storage Instructions | All the reagents are stored at 2-8°C. The kit is stable for 6 months from the date of receipt. |
| Synonyms | EC:2.3.2.26, HECT domain and RCC1-like domain-containing protein 4, hect domain and RLD 4, HECT-type E3 ubiquitin transferase HERC4, KIAA1593 |




