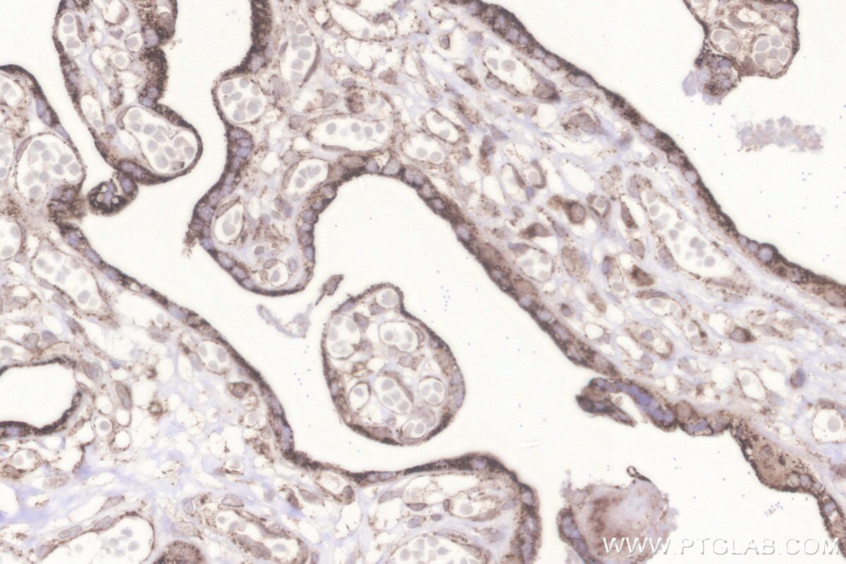
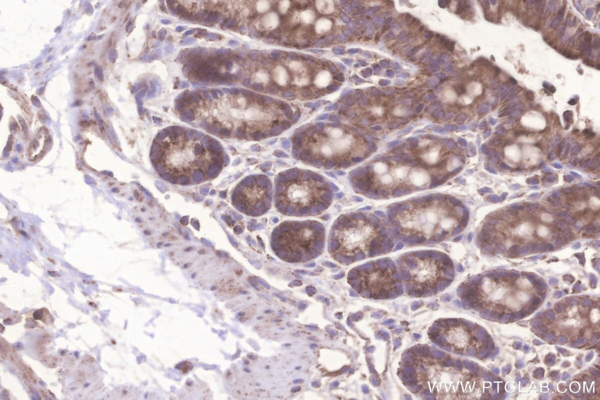
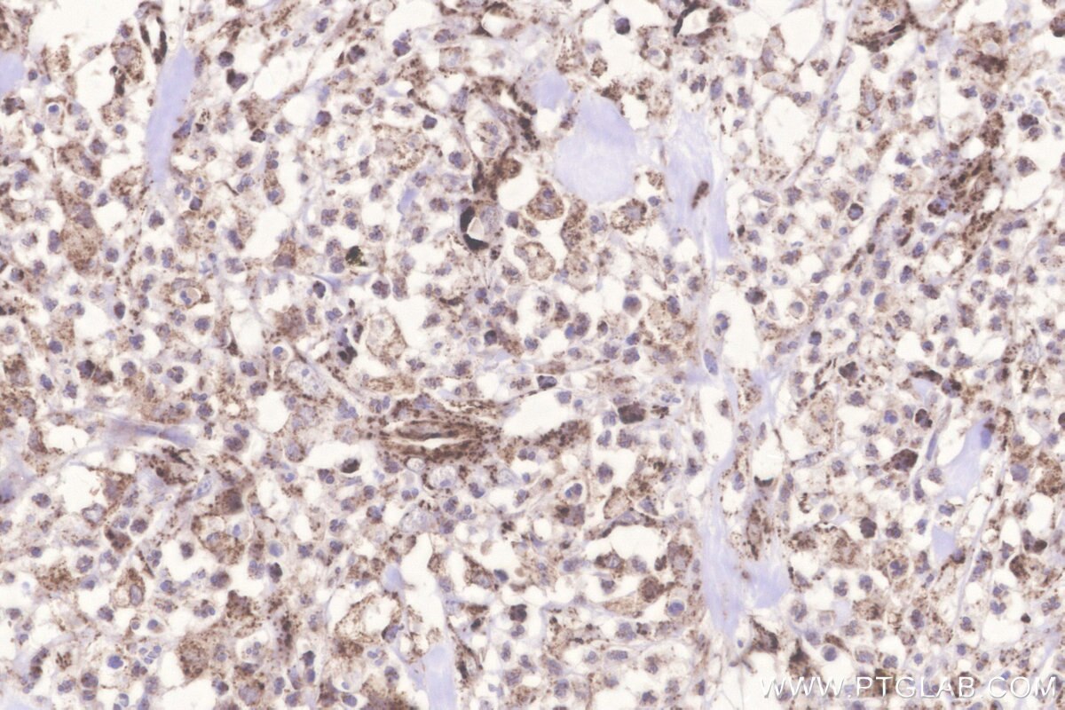
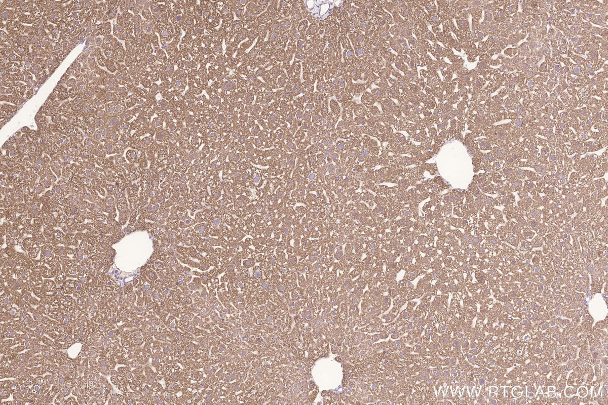
IHCeasy® Glutaredoxin 5 Ready-To-Use IHC Kit

Glutaredoxin 5 Ready-to-use reagent kit for IHC.

Reactivity

Human, Mouse

Sample Type

FFPE tissue

Cat no : KHC3282

Synonyms

C14orf87, FLB4739, GLRX 5, GLRX5, Glutaredoxin-related protein 5, mitochondrial



Product Information

KHC3282 is a ready-to-use IHC kit for staining of Glutaredoxin 5. The kit provides all reagents, from antigen retrieval to cover slip mounting, that require little to no diluting or handling prior to use. Simply apply the reagents to your sample slide according to the protocol and you're steps away from obtaining high-quality IHC data.

Product name IHCeasy® Glutaredoxin 5 Ready-To-Use IHC Kit
Sample type FFPE tissue
Assay type Immunohistochemistry
Primary antibody type Rabbit Polyclonal
Secondary antibody type Polymer-HRP-Goat anti-Rabbit
Reactivity Human, Mouse

Kit components

ComponentSizeConcentration
Antigen Retrieval Buffer100 mL50×
Washing Buffer100 mL ×220×
Blocking Buffer5 mLRTU
Primary Antibody5 mLRTU
Secondary Antibody5 mLRTU
Chromogen Component A0.2 mLRTU
Chromogen Component B4 mLRTU
Signal Enhancer5 mLRTU
Counter Staining Reagent5 mLRTU
Mounting Media5 mLRTU
Datasheet1 Copy
Manual1 Copy

Background Information

Glutaredoxin 5 (GLRX5) is an essential protein engaging in mitochondrial iron-sulfur cluster (ISC) transfers to iron regulatory protein (IRP), m-aconitase, and ferrochelatase. GLRX5 deficiency impairs heme biosynthesis, causing sideroblastic anemia and variant nonketotic hyperglycinemia in humans. Mutations of GLRX5 lead to distinct effects on downstream ISC biosynthesis and maturation.

Properties

Storage Instructions All the reagents are stored at 2-8°C. The kit is stable for 6 months from the date of receipt.
Synonyms C14orf87, FLB4739, GLRX 5, GLRX5, Glutaredoxin-related protein 5, mitochondrial
||
New chat

Able

正在加载,请稍候...