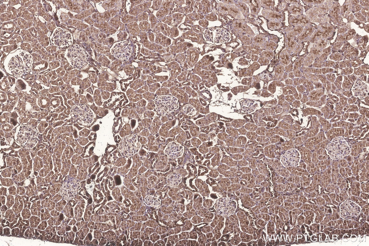
IHCeasy® GNB1 Ready-To-Use IHC Kit
GNB1 Ready-to-use reagent kit for IHC.
Reactivity
Human, Mouse, Rat
Sample Type
FFPE tissue
Cat no : KHC3244
Synonyms
GBB1, Guanine nucleotide-binding protein G(I)/G(S)/G(T) subunit beta-1
Validation Data Gallery
Product Information
KHC3244 is a ready-to-use IHC kit for staining of GNB1. The kit provides all reagents, from antigen retrieval to cover slip mounting, that require little to no diluting or handling prior to use. Simply apply the reagents to your sample slide according to the protocol and you're steps away from obtaining high-quality IHC data.
| Product name | IHCeasy® GNB1 Ready-To-Use IHC Kit |
| Sample type | FFPE tissue |
| Assay type | Immunohistochemistry |
| Primary antibody type | Rabbit Polyclonal |
| Secondary antibody type | Polymer-HRP-Goat anti-Rabbit |
| Reactivity | Human, Mouse, Rat |
Kit components
| Component | Size | Concentration |
|---|---|---|
| Antigen Retrieval Buffer | 100 mL | 50× |
| Washing Buffer | 100 mL ×2 | 20× |
| Blocking Buffer | 5 mL | RTU |
| Primary Antibody | 5 mL | RTU |
| Secondary Antibody | 5 mL | RTU |
| Chromogen Component A | 0.2 mL | RTU |
| Chromogen Component B | 4 mL | RTU |
| Signal Enhancer | 5 mL | RTU |
| Counter Staining Reagent | 5 mL | RTU |
| Mounting Media | 5 mL | RTU |
| Datasheet | 1 Copy | |
| Manual | 1 Copy |
Background Information
GNB1(Guanine nucleotide-binding protein G(I)/G(S)/G(T) subunit beta-1) belongs to the WD repeat G protein beta family.The guanine nucleotide-binding proteins (G proteins) are involved as a modulator or transducer in various transmembrane signaling systems and the beta and gamma chains are required for the GTPase activity, for replacement of GDP by GTP, and for G protein-effector interaction.GNB1 can form dimers with all gamma subunits analyzed.
Properties
| Storage Instructions | All the reagents are stored at 2-8°C. The kit is stable for 6 months from the date of receipt. |
| Synonyms | GBB1, Guanine nucleotide-binding protein G(I)/G(S)/G(T) subunit beta-1 |




