IHCeasy® GLDC Ready-To-Use IHC Kit
GLDC Ready-to-use reagent kit for IHC.
Reactivity
Human, Rat
Sample Type
FFPE tissue
Cat no : KHC3200
Synonyms
aminomethyl-transferring, EC:1.4.4.2, GCE, GCSP, Glycine dehydrogenase
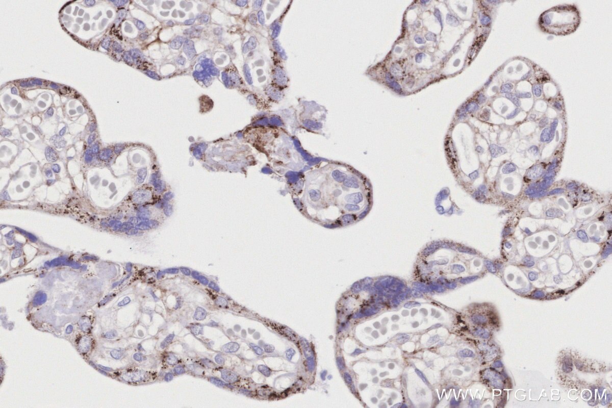
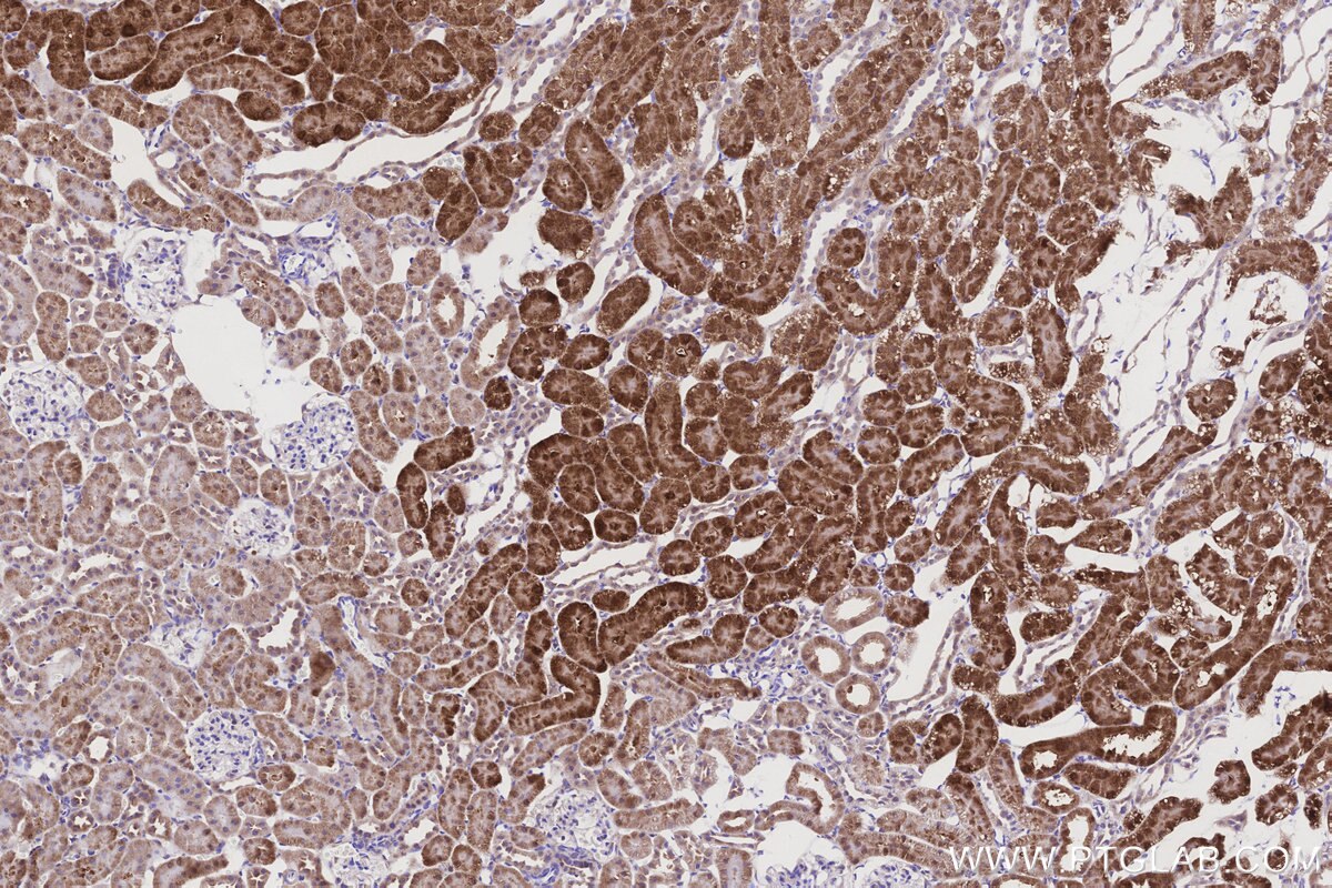
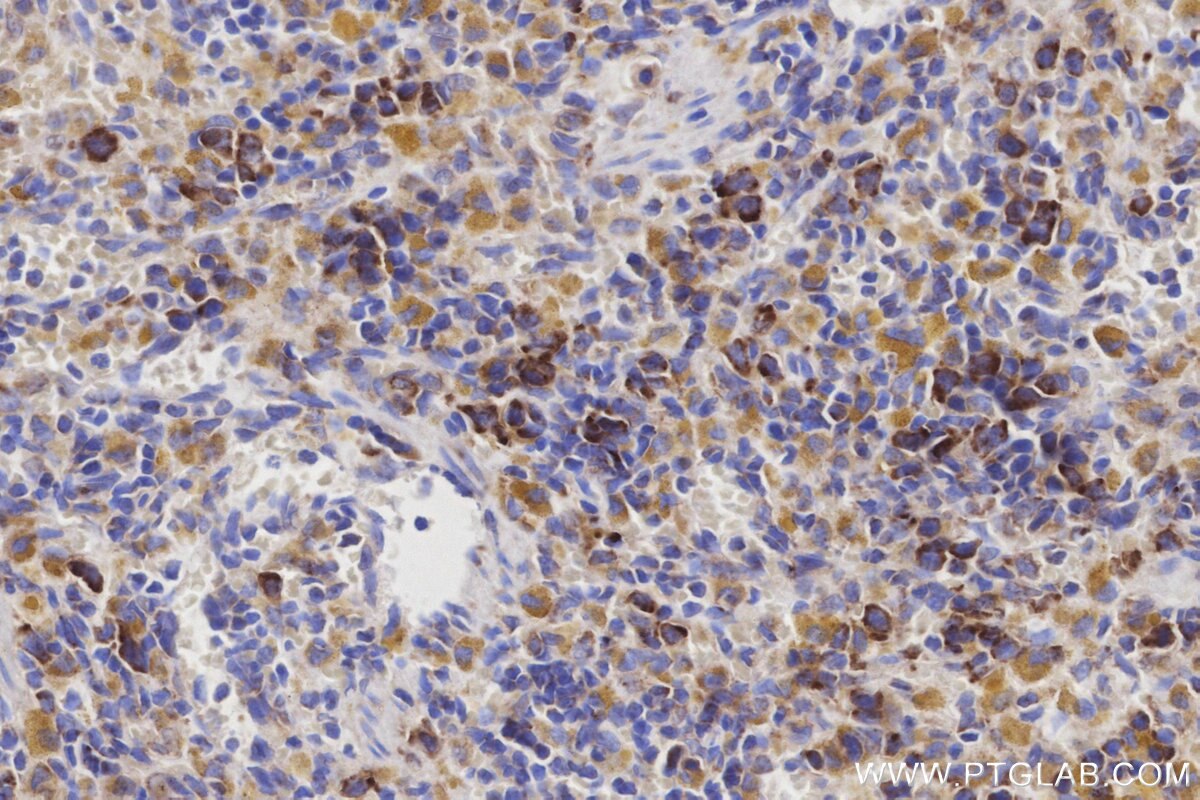
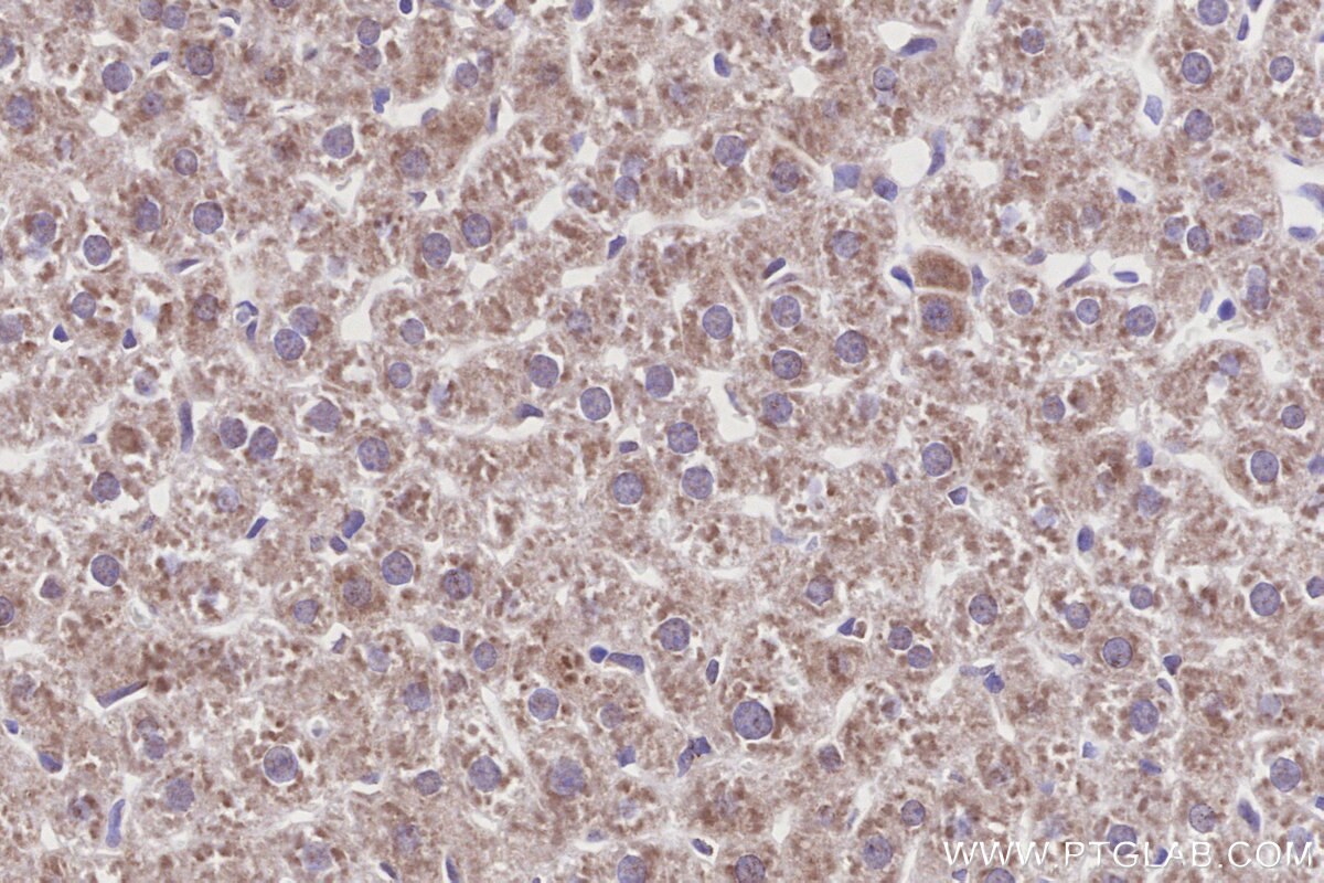
Validation Data Gallery
Product Information
KHC3200 is a ready-to-use IHC kit for staining of GLDC. The kit provides all reagents, from antigen retrieval to cover slip mounting, that require little to no diluting or handling prior to use. Simply apply the reagents to your sample slide according to the protocol and you're steps away from obtaining high-quality IHC data.
| Product name | IHCeasy® GLDC Ready-To-Use IHC Kit |
| Sample type | FFPE tissue |
| Assay type | Immunohistochemistry |
| Primary antibody type | Rabbit Recombinant |
| Secondary antibody type | Polymer-HRP-Goat anti-Rabbit |
| Reactivity | Human, Rat |
Kit components
| Component | Size | Concentration |
|---|---|---|
| Antigen Retrieval Buffer | 100 mL | 50× |
| Washing Buffer | 100 mL ×2 | 20× |
| Blocking Buffer | 5 mL | RTU |
| Primary Antibody | 5 mL | RTU |
| Secondary Antibody | 5 mL | RTU |
| Chromogen Component A | 0.2 mL | RTU |
| Chromogen Component B | 4 mL | RTU |
| Signal Enhancer | 5 mL | RTU |
| Counter Staining Reagent | 5 mL | RTU |
| Mounting Media | 5 mL | RTU |
| Datasheet | 1 Copy | |
| Manual | 1 Copy |
Background Information
GLDC(Glycine dehydrogenase [decarboxylating], mitochondrial) is also named as GCSP and belongs to the GcvP family. It induces dramatic changes in glycolysis and glycine/serine metabolism that leads to changes in pyrimidine metabolism to regulate cancer cell proliferation.
Properties
| Storage Instructions | All the reagents are stored at 2-8°C. The kit is stable for 6 months from the date of receipt. |
| Synonyms | aminomethyl-transferring, EC:1.4.4.2, GCE, GCSP, Glycine dehydrogenase |




