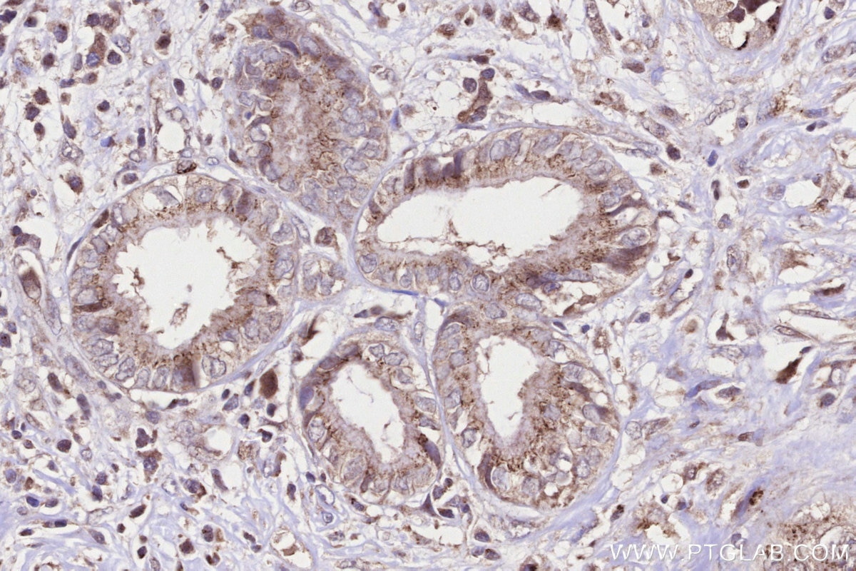
IHCeasy® GALNT6 Ready-To-Use IHC Kit
GALNT6 Ready-to-use reagent kit for IHC.
Reactivity
Human
Sample Type
FFPE tissue
Cat no : KHC3295
Synonyms
EC:2.4.1.41, GALNAC T6, GalNAcT6, GalNAc-T6, Polypeptide N-acetylgalactosaminyltransferase 6
Validation Data Gallery
Product Information
KHC3295 is a ready-to-use IHC kit for staining of GALNT6. The kit provides all reagents, from antigen retrieval to cover slip mounting, that require little to no diluting or handling prior to use. Simply apply the reagents to your sample slide according to the protocol and you're steps away from obtaining high-quality IHC data.
| Product name | IHCeasy® GALNT6 Ready-To-Use IHC Kit |
| Sample type | FFPE tissue |
| Assay type | Immunohistochemistry |
| Primary antibody type | Rabbit Polyclonal |
| Secondary antibody type | Polymer-HRP-Goat anti-Rabbit |
| Reactivity | Human |
Kit components
| Component | Size | Concentration |
|---|---|---|
| Antigen Retrieval Buffer | 100 mL | 50× |
| Washing Buffer | 100 mL ×2 | 20× |
| Blocking Buffer | 5 mL | RTU |
| Primary Antibody | 5 mL | RTU |
| Secondary Antibody | 5 mL | RTU |
| Chromogen Component A | 0.2 mL | RTU |
| Chromogen Component B | 4 mL | RTU |
| Signal Enhancer | 5 mL | RTU |
| Counter Staining Reagent | 5 mL | RTU |
| Mounting Media | 5 mL | RTU |
| Datasheet | 1 Copy | |
| Manual | 1 Copy |
Background Information
GALNT6 (polypeptide N-acetylgalactosaminyltransferase 6, GalNAc-T6), which is involved in the initiation of O-glycosylation, has been reported to play crucial roles in mammary carcinogenesis through binding to several substrates. GALNT6 is upregulated in breast, ovarian, renal cell, lung and pancreatic cancers. Overexpression of GRP78 could enhance Golgi-to-ER relocation of GALNT6.
Properties
| Storage Instructions | All the reagents are stored at 2-8°C. The kit is stable for 6 months from the date of receipt. |
| Synonyms | EC:2.4.1.41, GALNAC T6, GalNAcT6, GalNAc-T6, Polypeptide N-acetylgalactosaminyltransferase 6 |


