IHCeasy® GALNT4 Ready-To-Use IHC Kit
GALNT4 Ready-to-use reagent kit for IHC.
Reactivity
Human, Mouse, Rat
Sample Type
FFPE tissue
Cat no : KHC3288
Synonyms
EC:2.4.1.41, GALNAC T4, GalNAcT4, GalNAc-T4, Polypeptide N-acetylgalactosaminyltransferase 4
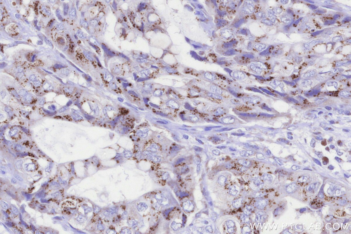
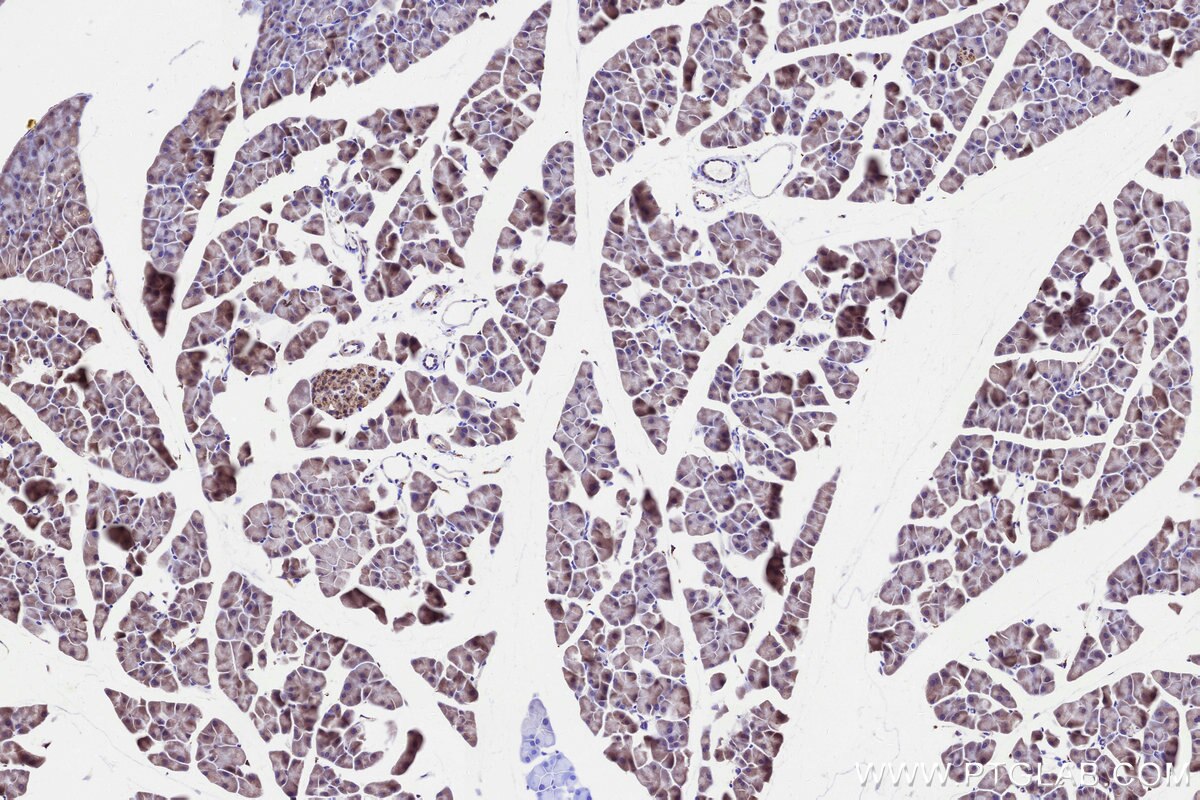
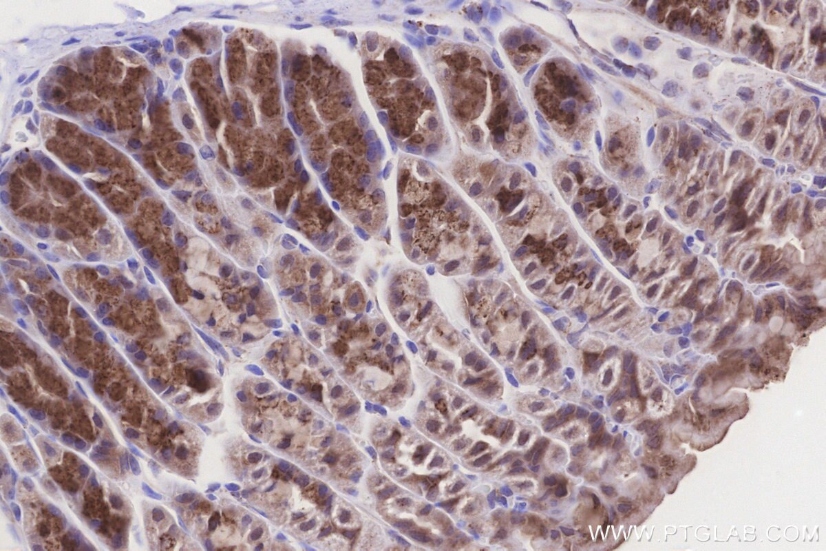
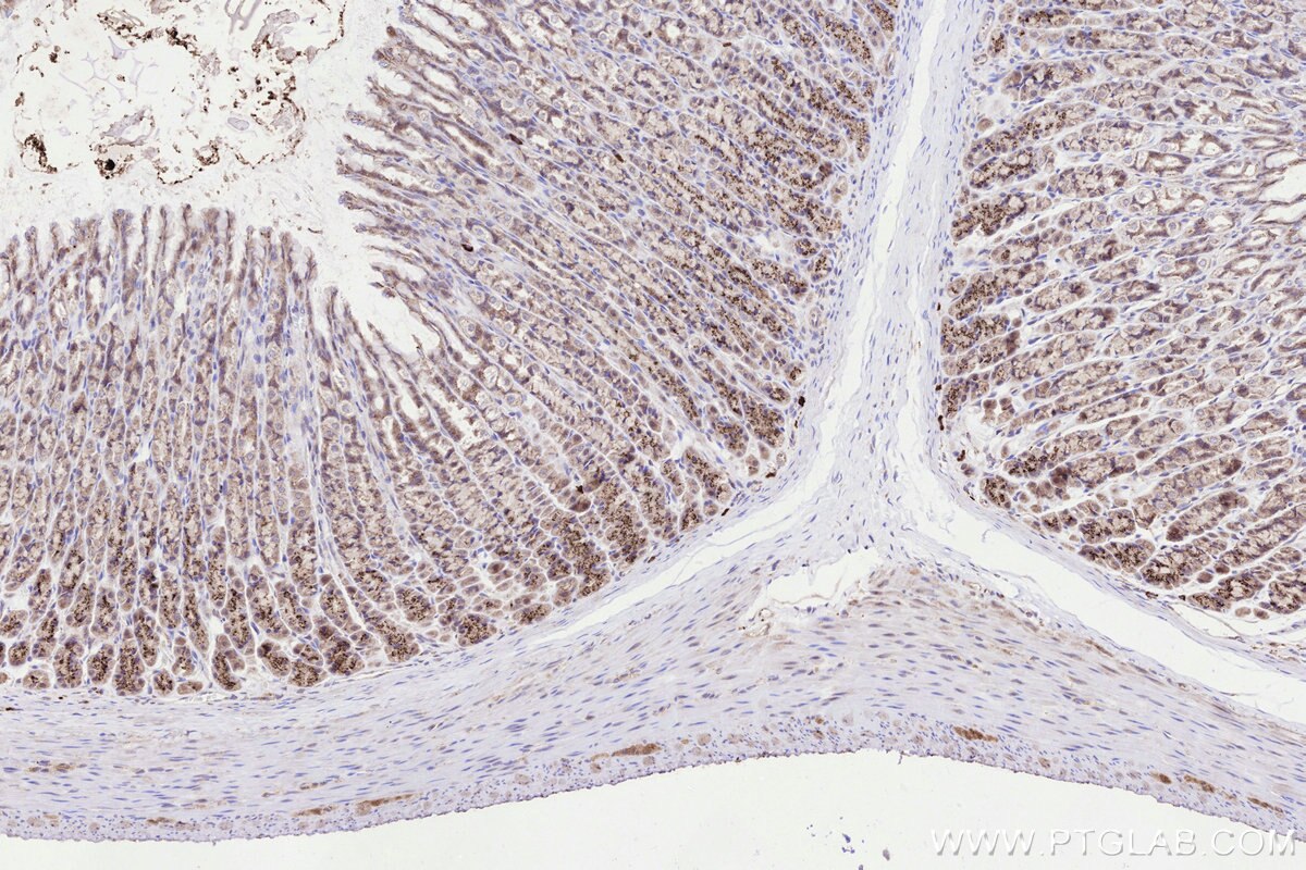
Validation Data Gallery
Product Information
KHC3288 is a ready-to-use IHC kit for staining of GALNT4. The kit provides all reagents, from antigen retrieval to cover slip mounting, that require little to no diluting or handling prior to use. Simply apply the reagents to your sample slide according to the protocol and you're steps away from obtaining high-quality IHC data.
| Product name | IHCeasy® GALNT4 Ready-To-Use IHC Kit |
| Sample type | FFPE tissue |
| Assay type | Immunohistochemistry |
| Primary antibody type | Rabbit Polyclonal |
| Secondary antibody type | Polymer-HRP-Goat anti-Rabbit |
| Reactivity | Human, Mouse, Rat |
Kit components
| Component | Size | Concentration |
|---|---|---|
| Antigen Retrieval Buffer | 100 mL | 50× |
| Washing Buffer | 100 mL ×2 | 20× |
| Blocking Buffer | 5 mL | RTU |
| Primary Antibody | 5 mL | RTU |
| Secondary Antibody | 5 mL | RTU |
| Chromogen Component A | 0.2 mL | RTU |
| Chromogen Component B | 4 mL | RTU |
| Signal Enhancer | 5 mL | RTU |
| Counter Staining Reagent | 5 mL | RTU |
| Mounting Media | 5 mL | RTU |
| Datasheet | 1 Copy | |
| Manual | 1 Copy |
Background Information
GALNT4 is a member of N-acetylgalactosaminyltransferases (GALNTs) which are responsible for initiating step of mucin-type O-glycosylation. Desregulation of GALNTs expression can exert pivotal functions during malignant transformation. It has been reported that GALNT4 expression is markedly repressed in tumoral tissues and lower expression of GALNT4 is significant associated with the adverse survival, indicating its potential role as prognostic factor for cancers like hepatocellular carcinoma.
Properties
| Storage Instructions | All the reagents are stored at 2-8°C. The kit is stable for 6 months from the date of receipt. |
| Synonyms | EC:2.4.1.41, GALNAC T4, GalNAcT4, GalNAc-T4, Polypeptide N-acetylgalactosaminyltransferase 4 |




