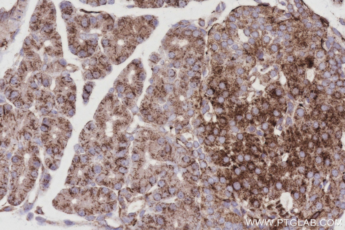
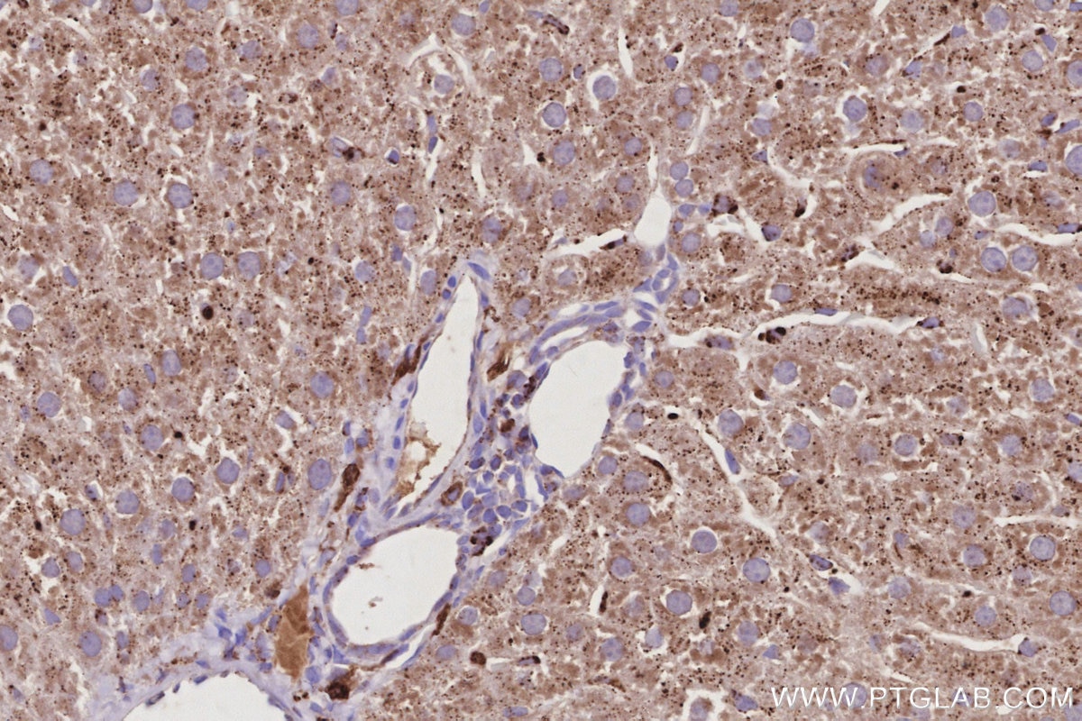
IHCeasy® Fetuin-B Ready-To-Use IHC Kit
Fetuin-B Ready-to-use reagent kit for IHC.
Reactivity
Human, Mouse, Rat
Sample Type
FFPE tissue
Cat no : KHC3025
Synonyms
FETUB, 16G2, fetuin B, FetuinB, Fetuin-like protein IRL685
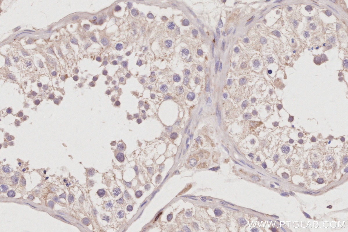
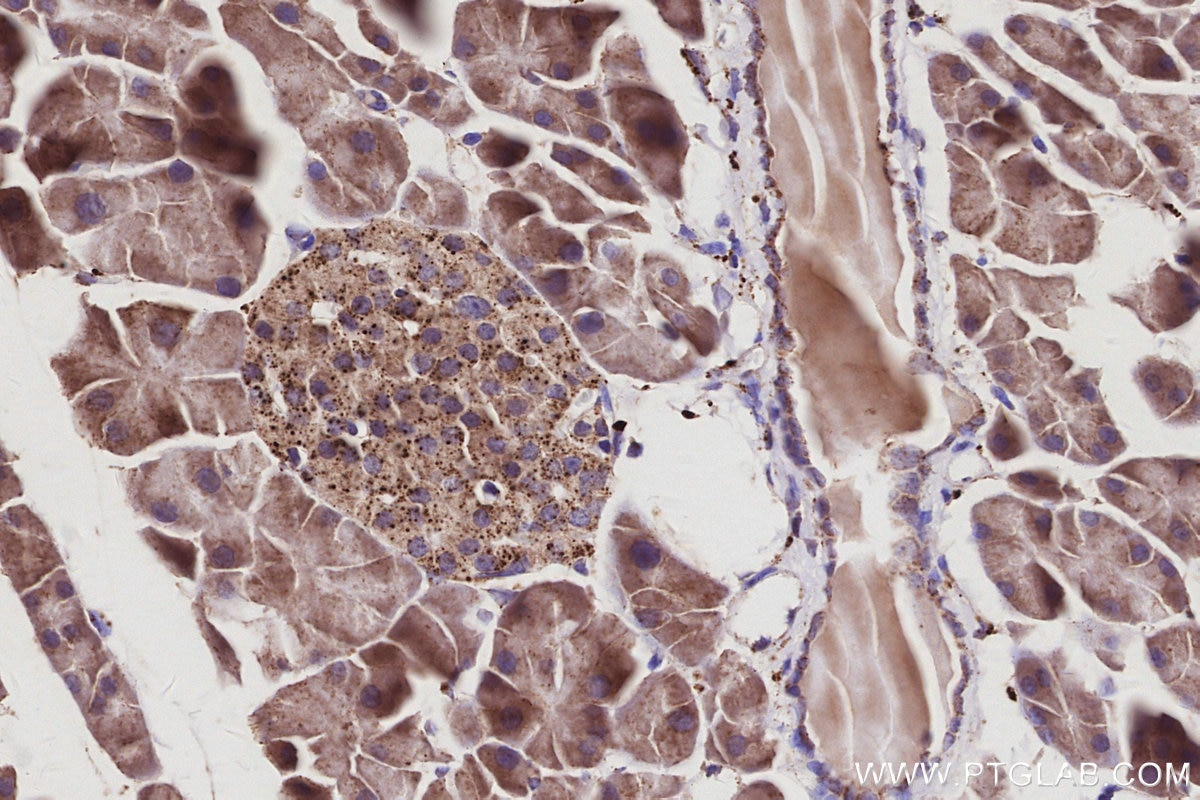
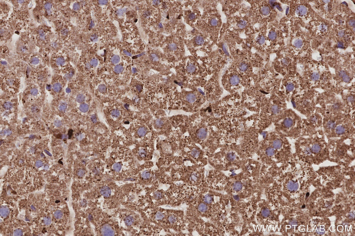
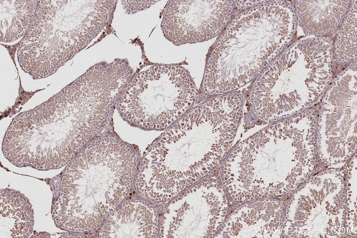
Validation Data Gallery
Product Information
KHC3025 is a ready-to-use IHC kit for staining of Fetuin-B. The kit provides all reagents, from antigen retrieval to cover slip mounting, that require little to no diluting or handling prior to use. Simply apply the reagents to your sample slide according to the protocol and you're steps away from obtaining high-quality IHC data.
| Product name | IHCeasy® Fetuin-B Ready-To-Use IHC Kit |
| Sample type | FFPE tissue |
| Assay type | Immunohistochemistry |
| Primary antibody type | Mouse Monoclonal |
| Secondary antibody type | Polymer-HRP-Goat anti-Mouse |
| Reactivity | Human, Mouse, Rat |
Kit components
| Component | Size | Concentration |
|---|---|---|
| Antigen Retrieval Buffer | 100 mL | 50× |
| Washing Buffer | 100 mL ×2 | 20× |
| Blocking Buffer | 5 mL | RTU |
| Primary Antibody | 5 mL | RTU |
| Secondary Antibody | 5 mL | RTU |
| Chromogen Component A | 0.2 mL | RTU |
| Chromogen Component B | 4 mL | RTU |
| Signal Enhancer | 5 mL | RTU |
| Counter Staining Reagent | 5 mL | RTU |
| Mounting Media | 5 mL | RTU |
| Datasheet | 1 Copy | |
| Manual | 1 Copy |
Background Information
Fetuins A and B are both members of the cystatin superfamily. They are mainly expressed in the liver (hepatokines), as well as other tissues such as the kidneys, tongue, and placenta. Fetuin-B has been identified as a novel adipokine/hepatokine that significantly increases hepatic steatosis and mediates impaired insulin action and glucose intolerance.
Properties
| Storage Instructions | All the reagents are stored at 2-8°C. The kit is stable for 6 months from the date of receipt. |
| Synonyms | FETUB, 16G2, fetuin B, FetuinB, Fetuin-like protein IRL685 |






