IHCeasy® FUT8 Ready-To-Use IHC Kit
FUT8 Ready-to-use reagent kit for IHC.
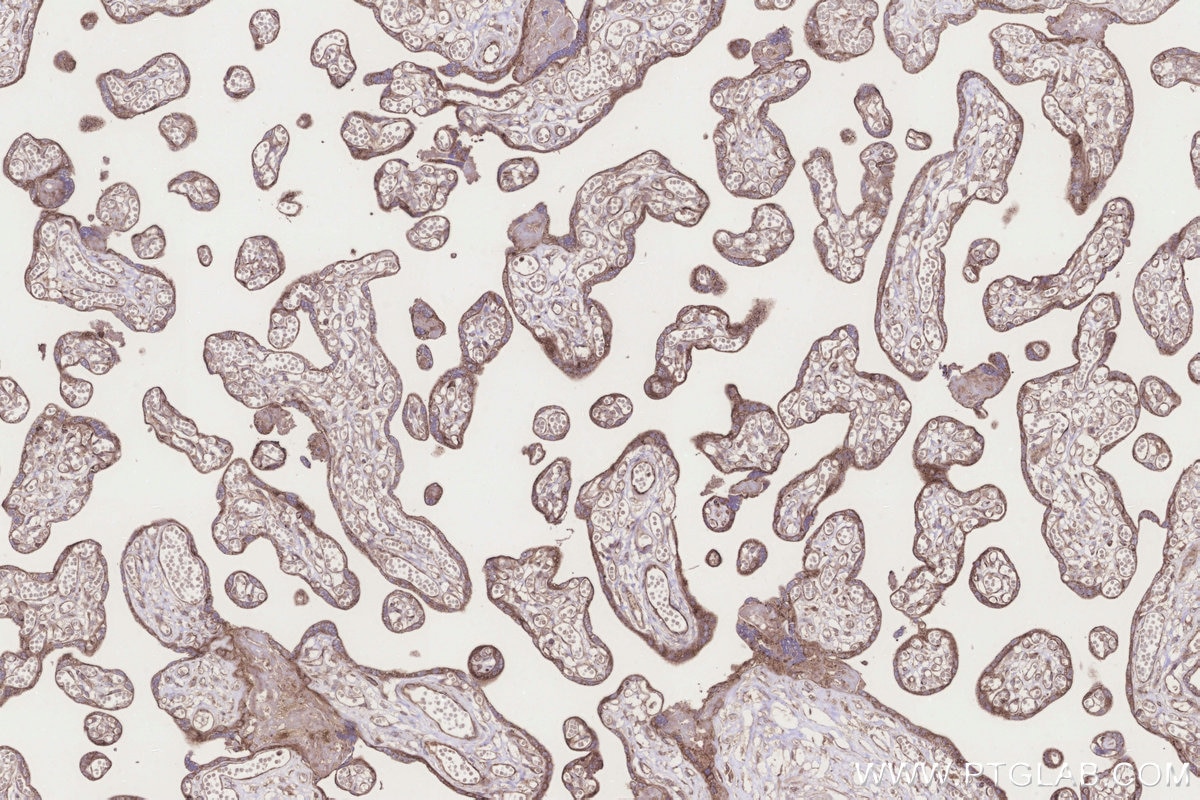
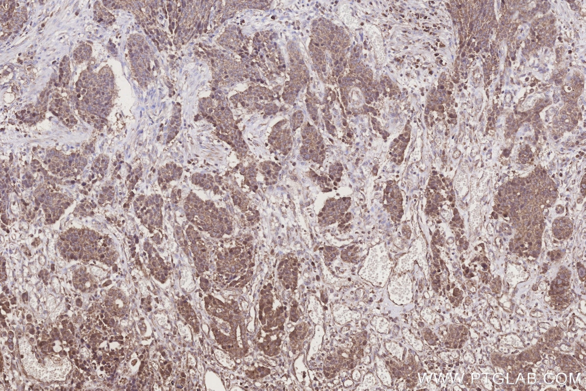
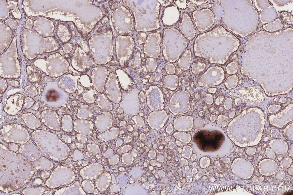
Reactivity
Human
Sample Type
FFPE tissue
Cat no : KHC3273
Synonyms
Alpha-(1,6)-fucosyltransferase, alpha1 6FucT, Alpha1-6FucT, EC:2.4.1.68, FUT 8
Validation Data Gallery
Product Information
KHC3273 is a ready-to-use IHC kit for staining of FUT8. The kit provides all reagents, from antigen retrieval to cover slip mounting, that require little to no diluting or handling prior to use. Simply apply the reagents to your sample slide according to the protocol and you're steps away from obtaining high-quality IHC data.
| Product name | IHCeasy® FUT8 Ready-To-Use IHC Kit |
| Sample type | FFPE tissue |
| Assay type | Immunohistochemistry |
| Primary antibody type | Rabbit Polyclonal |
| Secondary antibody type | Polymer-HRP-Goat anti-Rabbit |
| Reactivity | Human |
Kit components
| Component | Size | Concentration |
|---|---|---|
| Antigen Retrieval Buffer | 100 mL | 50× |
| Washing Buffer | 100 mL ×2 | 20× |
| Blocking Buffer | 5 mL | RTU |
| Primary Antibody | 5 mL | RTU |
| Secondary Antibody | 5 mL | RTU |
| Chromogen Component A | 0.2 mL | RTU |
| Chromogen Component B | 4 mL | RTU |
| Signal Enhancer | 5 mL | RTU |
| Counter Staining Reagent | 5 mL | RTU |
| Mounting Media | 5 mL | RTU |
| Datasheet | 1 Copy | |
| Manual | 1 Copy |
Background Information
Fucosyltransferase 8 (FUT8) is GDP-fucose-glycoprotein fucosyltransferase and is localized in Golgi apparatus. FUT8 is involved in protein glycosylation by catalyzing the addition of fucose in alpha 1-6 linkage to the first GlcNAc residue, next to the peptide chains in N-glycans. FUT8 may be involved in human aging by regulating protein N-glycosylation and in the molecular pathogenesis of human pulmonary emphysema (PE).
Properties
| Storage Instructions | All the reagents are stored at 2-8°C. The kit is stable for 6 months from the date of receipt. |
| Synonyms | Alpha-(1,6)-fucosyltransferase, alpha1 6FucT, Alpha1-6FucT, EC:2.4.1.68, FUT 8 |



