IHCeasy® FUT10 Ready-To-Use IHC Kit
FUT10 Ready-to-use reagent kit for IHC.
Reactivity
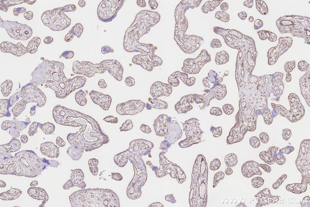
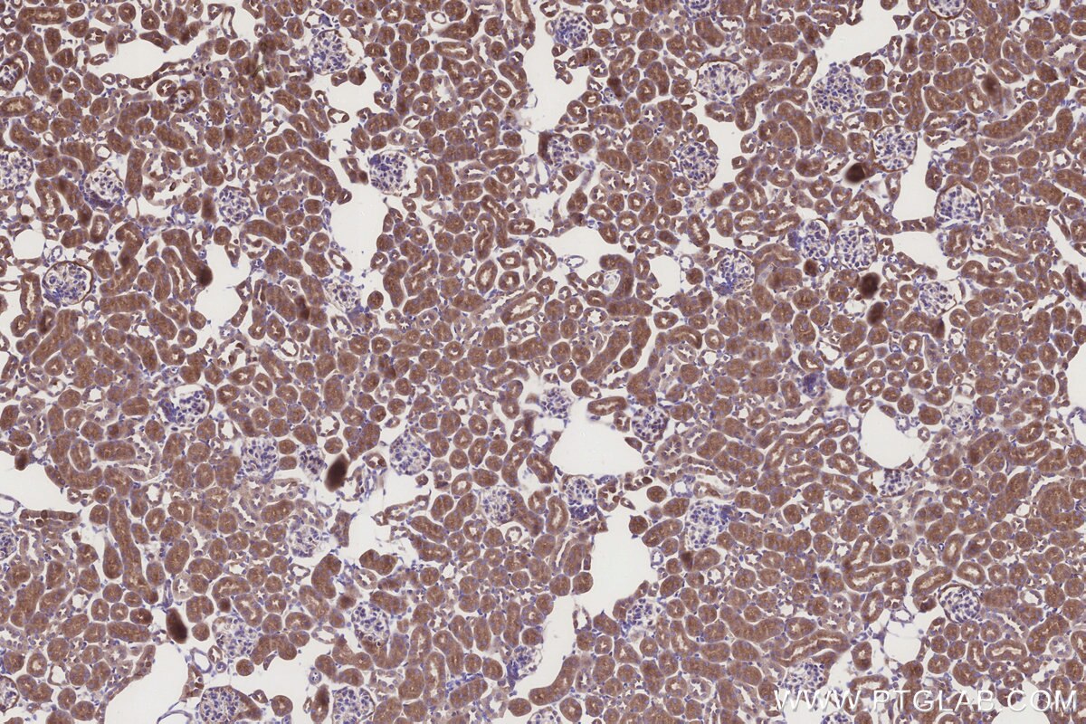
Human, Mouse
Sample Type
FFPE tissue
Cat no : KHC3274
Synonyms
Alpha-(1,3)-fucosyltransferase 10, EC:2.4.1.-, Fuc TX, FucT X, FucTX
Validation Data Gallery
Product Information
KHC3274 is a ready-to-use IHC kit for staining of FUT10. The kit provides all reagents, from antigen retrieval to cover slip mounting, that require little to no diluting or handling prior to use. Simply apply the reagents to your sample slide according to the protocol and you're steps away from obtaining high-quality IHC data.
| Product name | IHCeasy® FUT10 Ready-To-Use IHC Kit |
| Sample type | FFPE tissue |
| Assay type | Immunohistochemistry |
| Primary antibody type | Rabbit Polyclonal |
| Secondary antibody type | Polymer-HRP-Goat anti-Rabbit |
| Reactivity | Human, Mouse |
Kit components
| Component | Size | Concentration |
|---|---|---|
| Antigen Retrieval Buffer | 100 mL | 50× |
| Washing Buffer | 100 mL ×2 | 20× |
| Blocking Buffer | 5 mL | RTU |
| Primary Antibody | 5 mL | RTU |
| Secondary Antibody | 5 mL | RTU |
| Chromogen Component A | 0.2 mL | RTU |
| Chromogen Component B | 4 mL | RTU |
| Signal Enhancer | 5 mL | RTU |
| Counter Staining Reagent | 5 mL | RTU |
| Mounting Media | 5 mL | RTU |
| Datasheet | 1 Copy | |
| Manual | 1 Copy |
Properties
| Storage Instructions | All the reagents are stored at 2-8°C. The kit is stable for 6 months from the date of receipt. |
| Synonyms | Alpha-(1,3)-fucosyltransferase 10, EC:2.4.1.-, Fuc TX, FucT X, FucTX |


