IHCeasy® FIRRM/C1orf112 Ready-To-Use IHC Kit

FIRRM/C1orf112 Ready-to-use reagent kit for IHC.

Reactivity

Human

Sample Type

FFPE tissue

Cat no : KHC2952

Synonyms

C1orf112, APOLO1, FIDGETIN-like-1 interacting protein, FIGNL1 Interacting Regulator Of Recombination And Mitosis, FIGNL1-interacting regulator of recombination and mitosis



Product Information

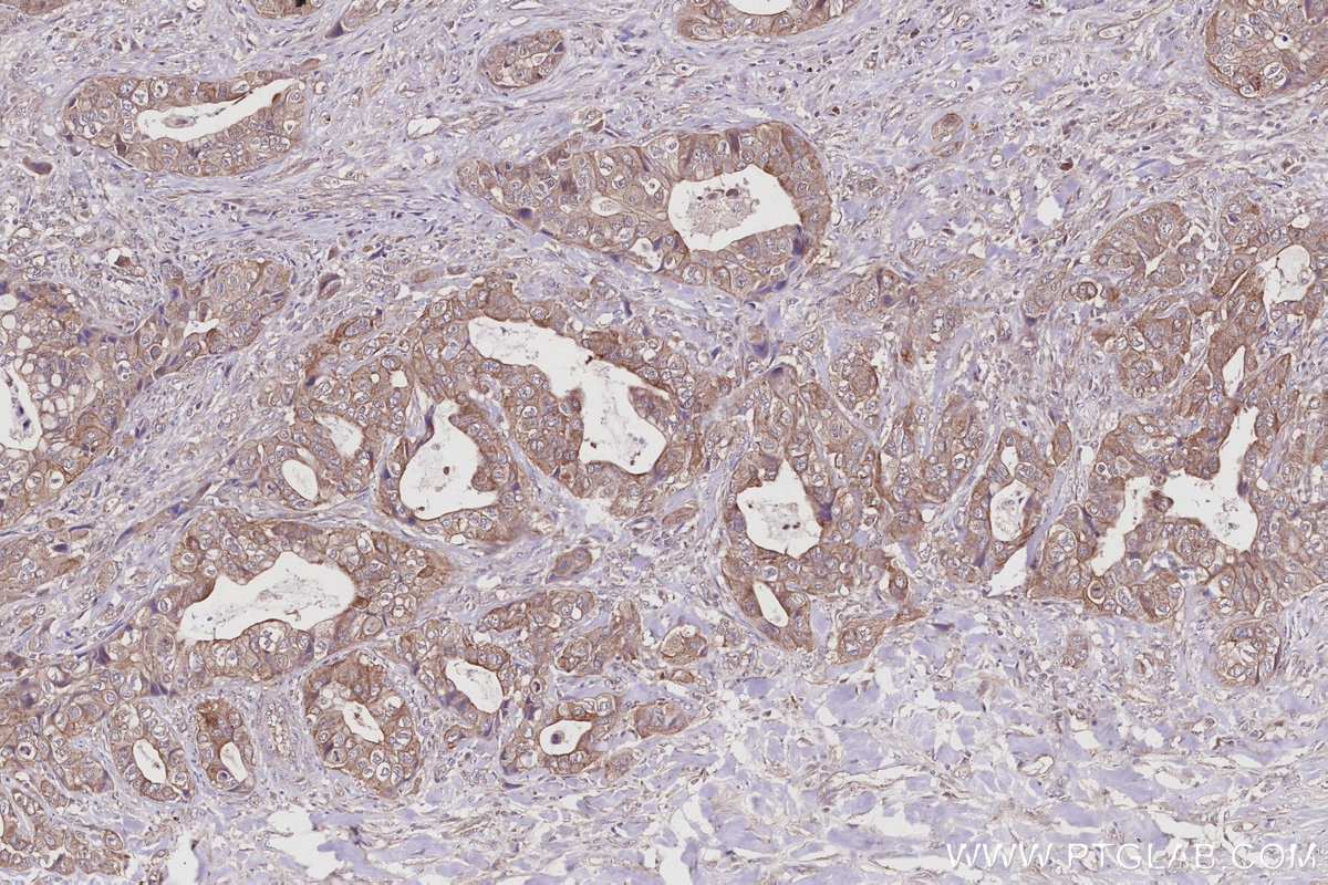
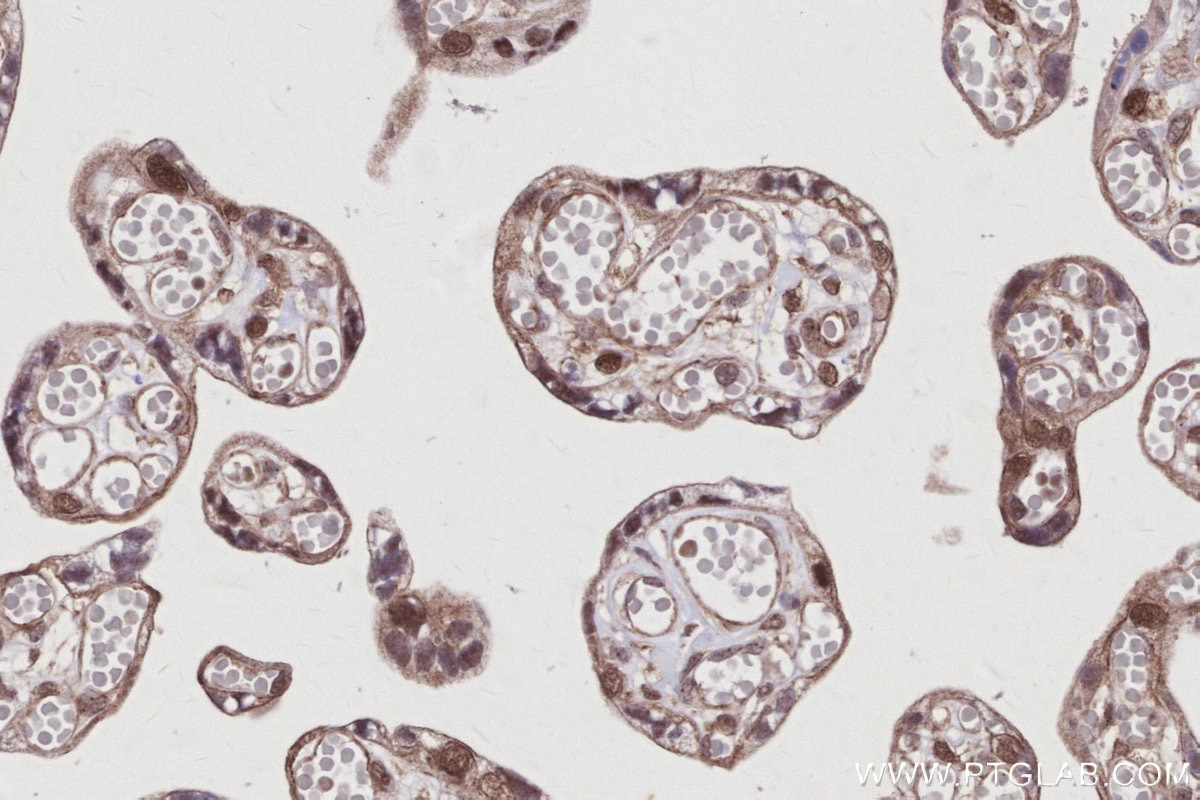
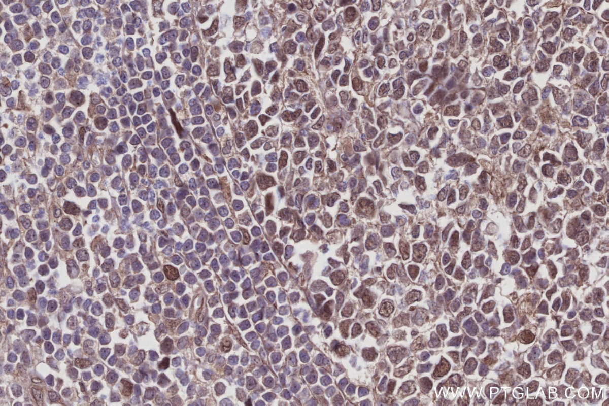
KHC2952 is a ready-to-use IHC kit for staining of FIRRM/C1orf112. The kit provides all reagents, from antigen retrieval to cover slip mounting, that require little to no diluting or handling prior to use. Simply apply the reagents to your sample slide according to the protocol and you're steps away from obtaining high-quality IHC data.

Product name IHCeasy FIRRM/C1orf112 Ready-To-Use IHC Kit
Sample type FFPE tissue
Assay type Immunohistochemistry
Primary antibody type Rabbit Polyclonal
Secondary antibody type Polymer-HRP-Goat anti-Rabbit
Reactivity Human

Kit components

ComponentSizeConcentration
Antigen Retrieval Buffer100 mL50×
Washing Buffer100 mL ×220×
Blocking Buffer5 mLRTU
Primary Antibody5 mLRTU
Secondary Antibody5 mLRTU
Chromogen Component A0.2 mLRTU
Chromogen Component B4 mLRTU
Signal Enhancer5 mLRTU
Counter Staining Reagent5 mLRTU
Mounting Media5 mLRTU
Datasheet1 Copy
Manual1 Copy

Background Information

FIRRM (Fanconi anemia pathway and RAD51-mediated DNA repair regulator, also known as C1orf112 or FLIP) is an evolutionarily conserved protein involved in DNA damage repair and homologous recombination. It ensures DNA cross-link (ICL) repair and genomic stability by regulating RAD51 activity. FIRRM expression is upregulated in a variety of tumors and correlates with poor prognosis. Its dysfunction leads to increased genomic instability, as evidenced by enhanced DNA damage signaling, chromosomal abnormalities, and micronucleus formation. The study of FIRRM is important for understanding the mechanisms of tumorigenesis and developing new therapeutic strategies.

Properties

Storage Instructions All the reagents are stored at 2-8°C. The kit is stable for 6 months from the date of receipt.
Synonyms C1orf112, APOLO1, FIDGETIN-like-1 interacting protein, FIGNL1 Interacting Regulator Of Recombination And Mitosis, FIGNL1-interacting regulator of recombination and mitosis
||
New chat

Able

正在加载,请稍候...