IHCeasy® FDX1L Ready-To-Use IHC Kit
FDX1L Ready-to-use reagent kit for IHC.
Reactivity
Human, Mouse
Sample Type
FFPE tissue
Cat no : KHC3271
Synonyms
Adrenodoxin-like protein, FDX2, Ferredoxin-1-like protein, Ferredoxin-2, mitochondrial
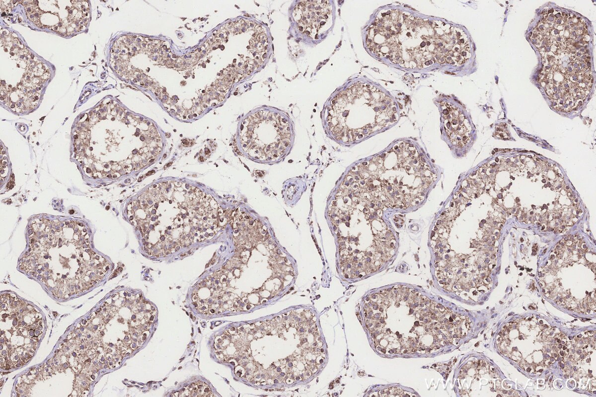
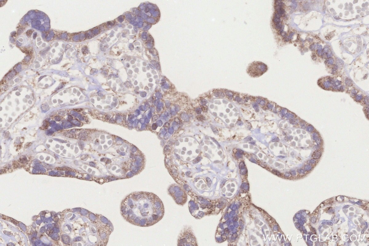
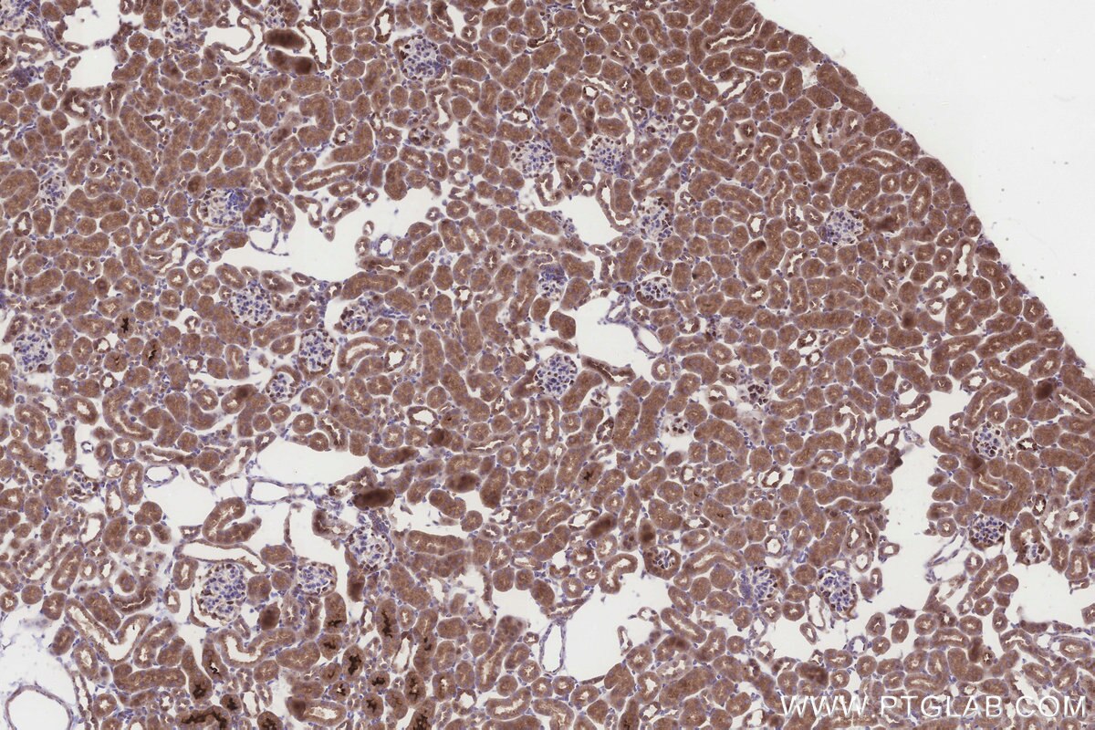
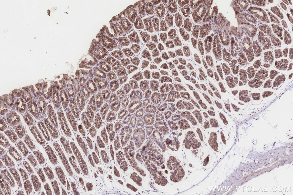
Validation Data Gallery
Product Information
KHC3271 is a ready-to-use IHC kit for staining of FDX1L. The kit provides all reagents, from antigen retrieval to cover slip mounting, that require little to no diluting or handling prior to use. Simply apply the reagents to your sample slide according to the protocol and you're steps away from obtaining high-quality IHC data.
| Product name | IHCeasy® FDX1L Ready-To-Use IHC Kit |
| Sample type | FFPE tissue |
| Assay type | Immunohistochemistry |
| Primary antibody type | Rabbit Polyclonal |
| Secondary antibody type | Polymer-HRP-Goat anti-Rabbit |
| Reactivity | Human, Mouse |
Kit components
| Component | Size | Concentration |
|---|---|---|
| Antigen Retrieval Buffer | 100 mL | 50× |
| Washing Buffer | 100 mL ×2 | 20× |
| Blocking Buffer | 5 mL | RTU |
| Primary Antibody | 5 mL | RTU |
| Secondary Antibody | 5 mL | RTU |
| Chromogen Component A | 0.2 mL | RTU |
| Chromogen Component B | 4 mL | RTU |
| Signal Enhancer | 5 mL | RTU |
| Counter Staining Reagent | 5 mL | RTU |
| Mounting Media | 5 mL | RTU |
| Datasheet | 1 Copy | |
| Manual | 1 Copy |
Background Information
FDX1L (ferredoxin 1-like) is a gene encoding mitochondrial protein whose primary function is to participate in the biosynthesis of iron-sulfur clusters (Fe-S clusters). FDX1L is closely related to the assembly of iron-sulfur clusters and is the second component in the biosynthesis mechanism of iron-sulfur clusters. Studies have shown that FDX1L is widely expressed in human cells, especially in the central nervous system. In addition, mutations in FDX1L can lead to mitochondrial myopathy, manifested by a significant reduction in the activity of respiratory chain complexes I, II, and III. The function of FDX1L is different from that of FDX1 (ferredoxin 1). FDX1 is mainly involved in the synthesis of steroid hormones, while FDX1L focuses on the biosynthesis of iron-sulfur clusters. This functional difference allows FDX1L to play an important role in maintaining homeostasis of iron-sulfur clusters in the cell.
Properties
| Storage Instructions | All the reagents are stored at 2-8°C. The kit is stable for 6 months from the date of receipt. |
| Synonyms | Adrenodoxin-like protein, FDX2, Ferredoxin-1-like protein, Ferredoxin-2, mitochondrial |




