IHCeasy® FARP1 Ready-To-Use IHC Kit
FARP1 Ready-to-use reagent kit for IHC.
Reactivity
Human
Sample Type
FFPE tissue
Cat no : KHC3072
Synonyms
CDEP, Chondrocyte-derived ezrin-like protein, FERM, ARHGEF and pleckstrin domain-containing protein 1, FERM, RhoGEF and pleckstrin domain-containing protein 1, PH domain-containing family C member 2
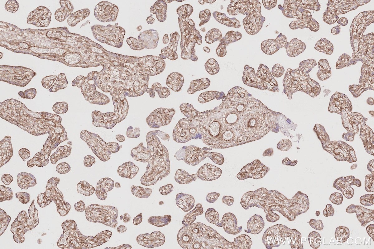
Validation Data Gallery
Product Information
KHC3072 is a ready-to-use IHC kit for staining of FARP1. The kit provides all reagents, from antigen retrieval to cover slip mounting, that require little to no diluting or handling prior to use. Simply apply the reagents to your sample slide according to the protocol and you're steps away from obtaining high-quality IHC data.
| Product name | IHCeasy® FARP1 Ready-To-Use IHC Kit |
| Sample type | FFPE tissue |
| Assay type | Immunohistochemistry |
| Primary antibody type | Rabbit Recombinant |
| Secondary antibody type | Polymer-HRP-Goat anti-Rabbit |
| Reactivity | Human |
Kit components
| Component | Size | Concentration |
|---|---|---|
| Antigen Retrieval Buffer | 100 mL | 50× |
| Washing Buffer | 100 mL ×2 | 20× |
| Blocking Buffer | 5 mL | RTU |
| Primary Antibody | 5 mL | RTU |
| Secondary Antibody | 5 mL | RTU |
| Chromogen Component A | 0.2 mL | RTU |
| Chromogen Component B | 4 mL | RTU |
| Signal Enhancer | 5 mL | RTU |
| Counter Staining Reagent | 5 mL | RTU |
| Mounting Media | 5 mL | RTU |
| Datasheet | 1 Copy | |
| Manual | 1 Copy |
Background Information
FARP1 is a protein containing a FERM (4.2, exrin, radixin, moesin) domain, a Dbl homology domain, and two pleckstrin homology domains. These domains are found in guanine nucleotide exchange factors and proteins that link the cytoskeleton to the cell membrane. The encoded protein functions in neurons to promote dendritic growth.
Properties
| Storage Instructions | All the reagents are stored at 2-8°C. The kit is stable for 6 months from the date of receipt. |
| Synonyms | CDEP, Chondrocyte-derived ezrin-like protein, FERM, ARHGEF and pleckstrin domain-containing protein 1, FERM, RhoGEF and pleckstrin domain-containing protein 1, PH domain-containing family C member 2 |


