IHCeasy® FAM83B Ready-To-Use IHC Kit
FAM83B Ready-to-use reagent kit for IHC.
Reactivity
Human
Sample Type
FFPE tissue
Cat no : KHC2548
Synonyms
FAM83B,C6orf143
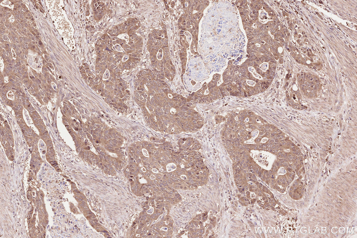
Validation Data Gallery
Product Information
KHC2548 is a ready-to-use IHC kit for staining of FAM83B. The kit provides all reagents, from antigen retrieval to cover slip mounting, that require little to no diluting or handling prior to use. Simply apply the reagents to your sample slide according to the protocol and you're steps away from obtaining high-quality IHC data.
| Product name | IHCeasy FAM83B Ready-To-Use IHC Kit |
| Sample type | FFPE tissue |
| Assay type | Immunohistochemistry |
| Primary antibody type | Rabbit Polyclonal |
| Secondary antibody type | Polymer-HRP-Goat anti-Rabbit |
| Reactivity | Human |
Kit components
| Component | Size | Concentration |
|---|---|---|
| Antigen Retrieval Buffer | 100 mL | 50× |
| Washing Buffer | 100 mL ×2 | 20× |
| Blocking Buffer | 5 mL | RTU |
| Primary Antibody | 5 mL | RTU |
| Secondary Antibody | 5 mL | RTU |
| Chromogen Component A | 0.2 mL | RTU |
| Chromogen Component B | 4 mL | RTU |
| Signal Enhancer | 5 mL | RTU |
| Counter Staining Reagent | 5 mL | RTU |
| Mounting Media | 5 mL | RTU |
| Datasheet | 1 Copy | |
| Manual | 1 Copy |
Background Information
FAM83B, also known as C6orf143, belongs to the FAM83 family. FAM83B is an oncogene and promotes cell transformation through activating various pathway in different kinds of tumors. FAM83B over expressed in several kinds of malignant tumors, such as breast cancer, cervical cancer, endometrial cancer, pancreatic ductal adenocarcinoma, etc. Overexpression of FAM83B could promote the malignant biological behaviors of these tumors.
Properties
| Storage Instructions | All the reagents are stored at 2-8°C. The kit is stable for 6 months from the date of receipt. |
| Synonyms | FAM83B,C6orf143 |

