IHCeasy® FAM65B Ready-To-Use IHC Kit
FAM65B Ready-to-use reagent kit for IHC.
Reactivity
Human, Mouse
Sample Type
FFPE tissue
Cat no : KHC3073
Synonyms
C6orf32, DIFF40, DIFF48, KIAA0386, PL48
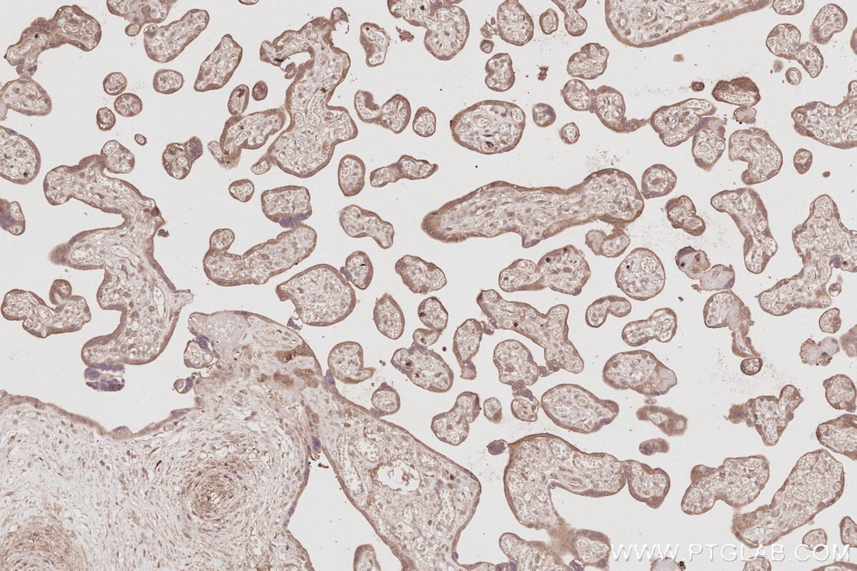
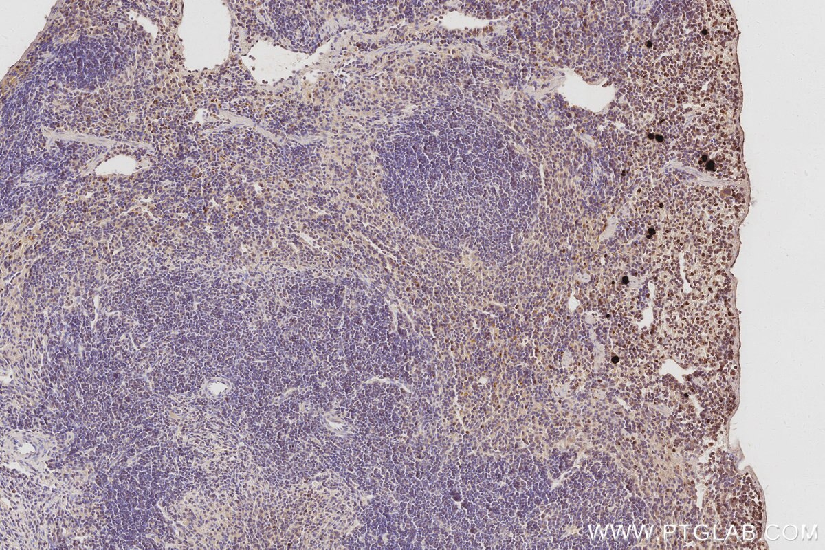
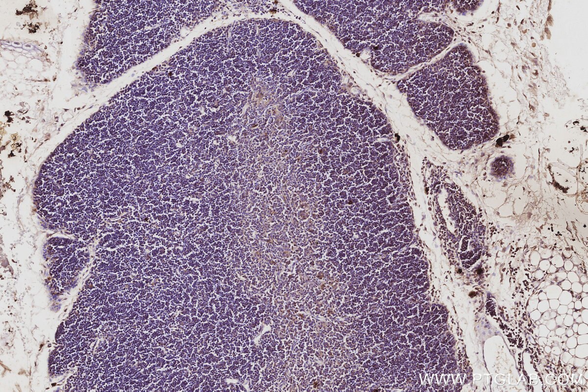
Validation Data Gallery
Product Information
KHC3073 is a ready-to-use IHC kit for staining of FAM65B. The kit provides all reagents, from antigen retrieval to cover slip mounting, that require little to no diluting or handling prior to use. Simply apply the reagents to your sample slide according to the protocol and you're steps away from obtaining high-quality IHC data.
| Product name | IHCeasy® FAM65B Ready-To-Use IHC Kit |
| Sample type | FFPE tissue |
| Assay type | Immunohistochemistry |
| Primary antibody type | Rabbit Polyclonal |
| Secondary antibody type | Polymer-HRP-Goat anti-Rabbit |
| Reactivity | Human, Mouse |
Kit components
| Component | Size | Concentration |
|---|---|---|
| Antigen Retrieval Buffer | 100 mL | 50× |
| Washing Buffer | 100 mL ×2 | 20× |
| Blocking Buffer | 5 mL | RTU |
| Primary Antibody | 5 mL | RTU |
| Secondary Antibody | 5 mL | RTU |
| Chromogen Component A | 0.2 mL | RTU |
| Chromogen Component B | 4 mL | RTU |
| Signal Enhancer | 5 mL | RTU |
| Counter Staining Reagent | 5 mL | RTU |
| Mounting Media | 5 mL | RTU |
| Datasheet | 1 Copy | |
| Manual | 1 Copy |
Background Information
FAM65B is also named as C6orf32, DIFF48, KIAA0386, PL48 and belongs to the FAM65 family.It has 2 isoforms produced by alternative splicing.Isoform 2 play a role in promoting myogenic cell differentiation, cytoskeletal rearrangement and filopodia formation. FAM65B is expressed in mononuclear cells, not in myotubes, upon induction of differentiation and cellular fusion, and expression is upregulated during human myoblast differentiation at both the mRNA and protein levels.
Properties
| Storage Instructions | All the reagents are stored at 2-8°C. The kit is stable for 6 months from the date of receipt. |
| Synonyms | C6orf32, DIFF40, DIFF48, KIAA0386, PL48 |




