IHCeasy® DAO Ready-To-Use IHC Kit

DAO Ready-to-use reagent kit for IHC.

Reactivity

Human, Rat

Sample Type

FFPE tissue

Cat no : KHC3184

Synonyms

DAAO, D-amino-acid oxidase, DAMOX, EC:1.4.3.3, OXDA



Product Information

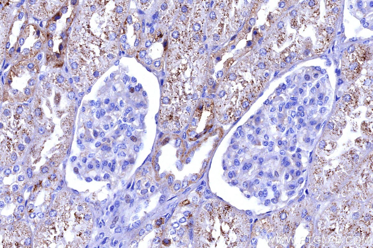
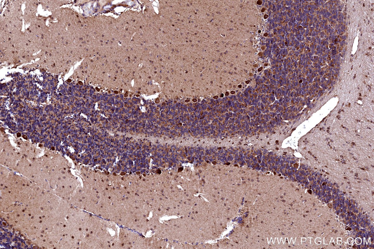
KHC3184 is a ready-to-use IHC kit for staining of DAO. The kit provides all reagents, from antigen retrieval to cover slip mounting, that require little to no diluting or handling prior to use. Simply apply the reagents to your sample slide according to the protocol and you're steps away from obtaining high-quality IHC data.

Product name IHCeasy® DAO Ready-To-Use IHC Kit
Sample type FFPE tissue
Assay type Immunohistochemistry
Primary antibody type Rabbit Polyclonal
Secondary antibody type Polymer-HRP-Goat anti-Rabbit
Reactivity Human, Rat

Kit components

ComponentSizeConcentration
Antigen Retrieval Buffer100 mL50×
Washing Buffer100 mL ×220×
Blocking Buffer5 mLRTU
Primary Antibody5 mLRTU
Secondary Antibody5 mLRTU
Chromogen Component A0.2 mLRTU
Chromogen Component B4 mLRTU
Signal Enhancer5 mLRTU
Counter Staining Reagent5 mLRTU
Mounting Media5 mLRTU
Datasheet1 Copy
Manual1 Copy

Background Information

D-amino acid oxidase (DAO) is a flavoprotein which uses flavin adenine dinucleotide as its prosthetic group. Its substrates include a wide variety of D-amino acids, but it is inactive on the naturally occurring L-amino acids. DAO may play a role in the pathophysiology of schizophrenia and act as a detoxifying agent which removes D-amino acids that accumulate during aging.

Properties

Storage Instructions All the reagents are stored at 2-8°C. The kit is stable for 6 months from the date of receipt.
Synonyms DAAO, D-amino-acid oxidase, DAMOX, EC:1.4.3.3, OXDA
||
New chat

Able

正在加载,请稍候...