IHCeasy® Cytochrome P450 Ready-To-Use IHC Kit
Cytochrome P450 Ready-to-use reagent kit for IHC.
Reactivity
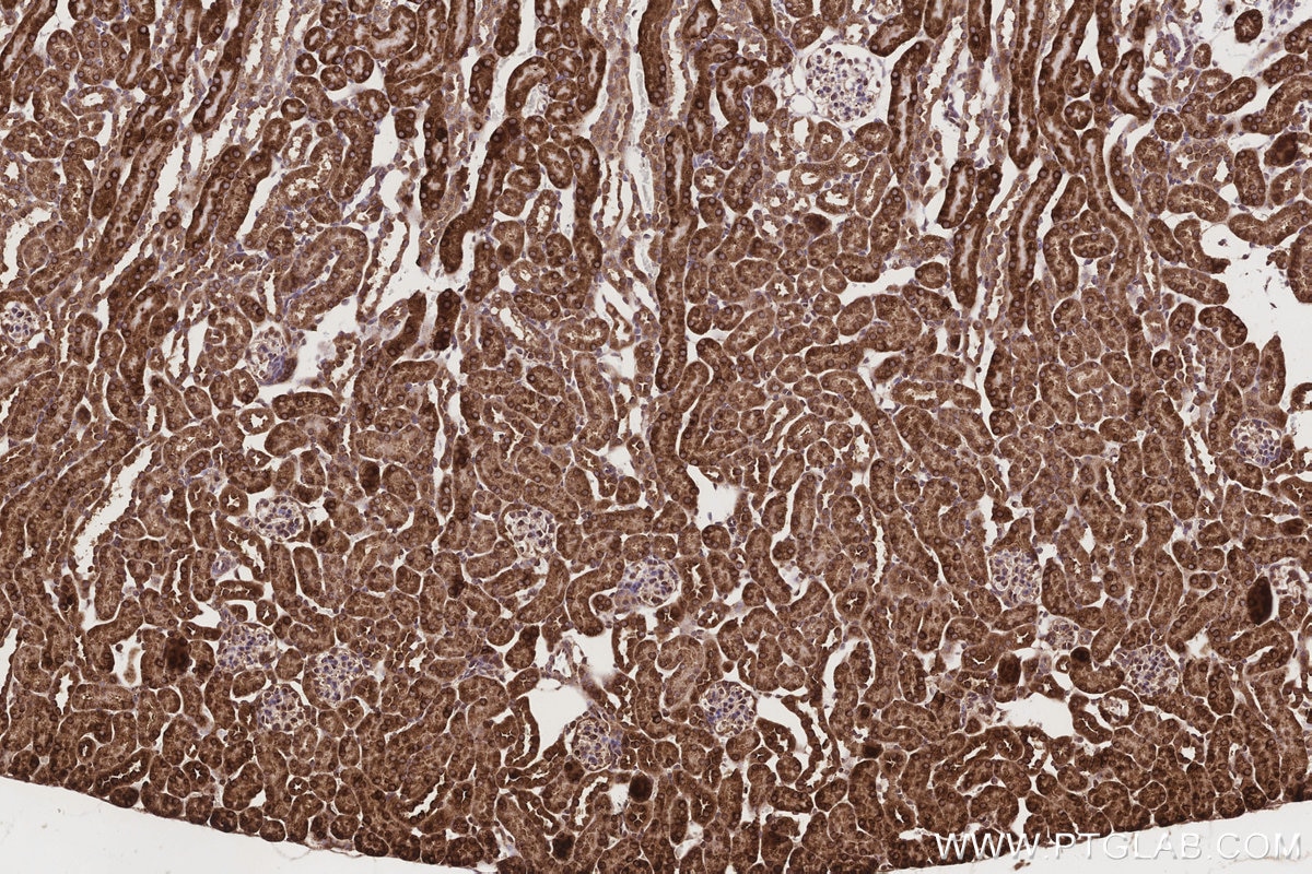
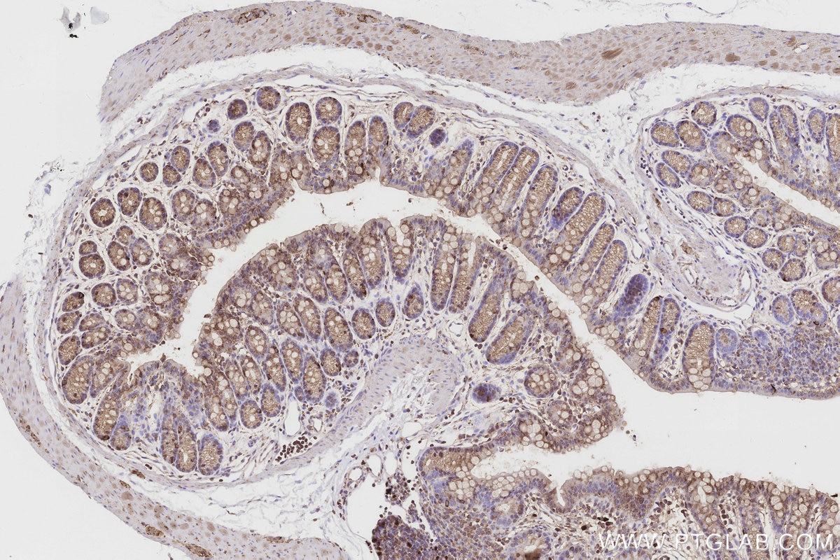
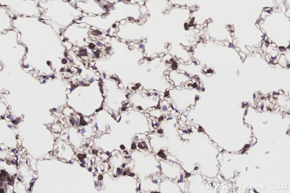
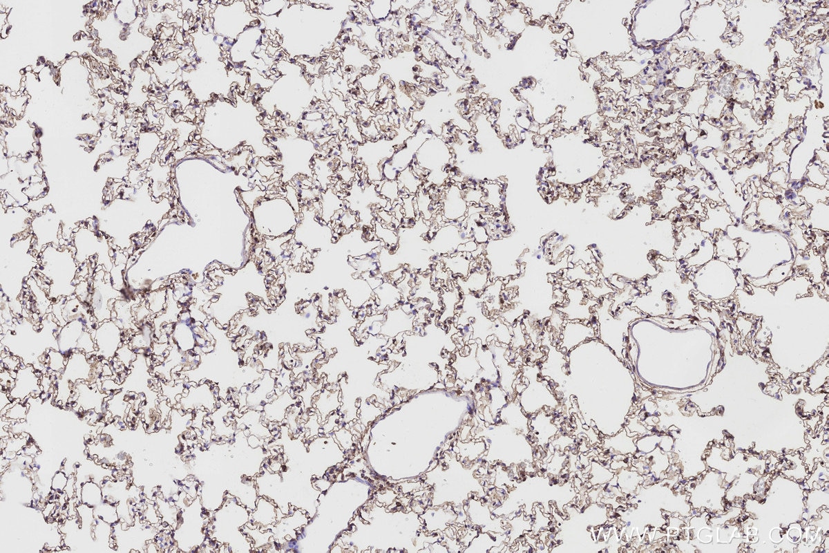
Human, Mouse, Rat
Sample Type
FFPE tissue
Cat no : KHC3190
Synonyms
Cytochrome P450 Reductase, CPR, CYPOR, P450R, POR
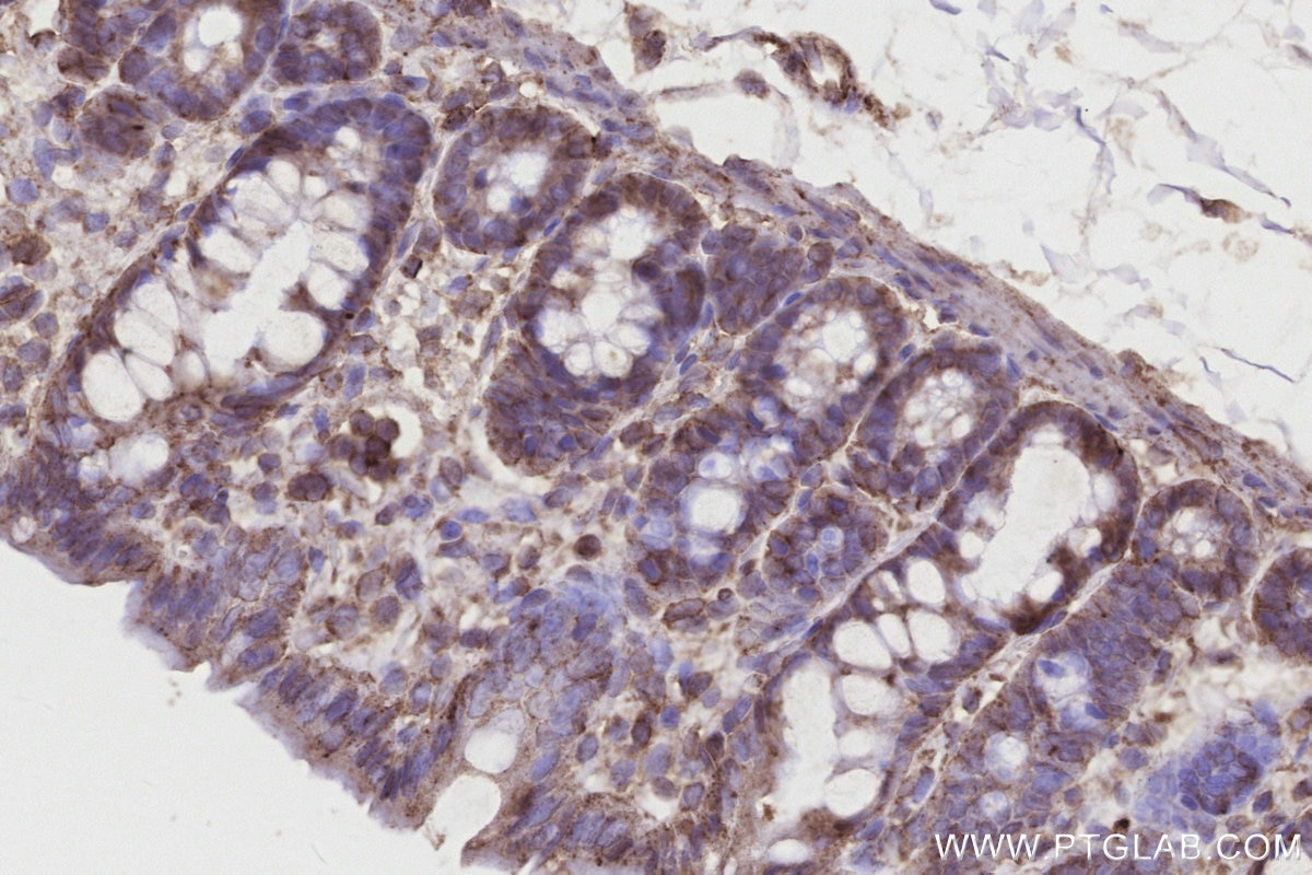
Validation Data Gallery
Product Information
KHC3190 is a ready-to-use IHC kit for staining of Cytochrome P450. The kit provides all reagents, from antigen retrieval to cover slip mounting, that require little to no diluting or handling prior to use. Simply apply the reagents to your sample slide according to the protocol and you're steps away from obtaining high-quality IHC data.
| Product name | IHCeasy® Cytochrome P450 Ready-To-Use IHC Kit |
| Sample type | FFPE tissue |
| Assay type | Immunohistochemistry |
| Primary antibody type | Rabbit Polyclonal |
| Secondary antibody type | Polymer-HRP-Goat anti-Rabbit |
| Reactivity | Human, Mouse, Rat |
Kit components
| Component | Size | Concentration |
|---|---|---|
| Antigen Retrieval Buffer | 100 mL | 50× |
| Washing Buffer | 100 mL ×2 | 20× |
| Blocking Buffer | 5 mL | RTU |
| Primary Antibody | 5 mL | RTU |
| Secondary Antibody | 5 mL | RTU |
| Chromogen Component A | 0.2 mL | RTU |
| Chromogen Component B | 4 mL | RTU |
| Signal Enhancer | 5 mL | RTU |
| Counter Staining Reagent | 5 mL | RTU |
| Mounting Media | 5 mL | RTU |
| Datasheet | 1 Copy | |
| Manual | 1 Copy |
Background Information
Cytochrome P450 Reductase (CYPOR) consists of the flavin mononucleotide (FMN) domain and the flavin adenine dinucleotide (FAD) domain, which bind the corresponding cofactors and transfer electrons from NADPH via FAD and FMN. CYPOR is an essential component of the microsomal P450 mixed-function oxidase system and is required for electron transfer from NADPH to cytochromes P450 in microsomes.
Properties
| Storage Instructions | All the reagents are stored at 2-8°C. The kit is stable for 6 months from the date of receipt. |
| Synonyms | Cytochrome P450 Reductase, CPR, CYPOR, P450R, POR |







