IHCeasy® CLN3 Ready-To-Use IHC Kit
CLN3 Ready-to-use reagent kit for IHC.
Reactivity
Human, Mouse, Rat
Sample Type
FFPE tissue
Cat no : KHC3250
Synonyms
Batten disease protein, BATTENIN, BTS, JNCL, Protein CLN3
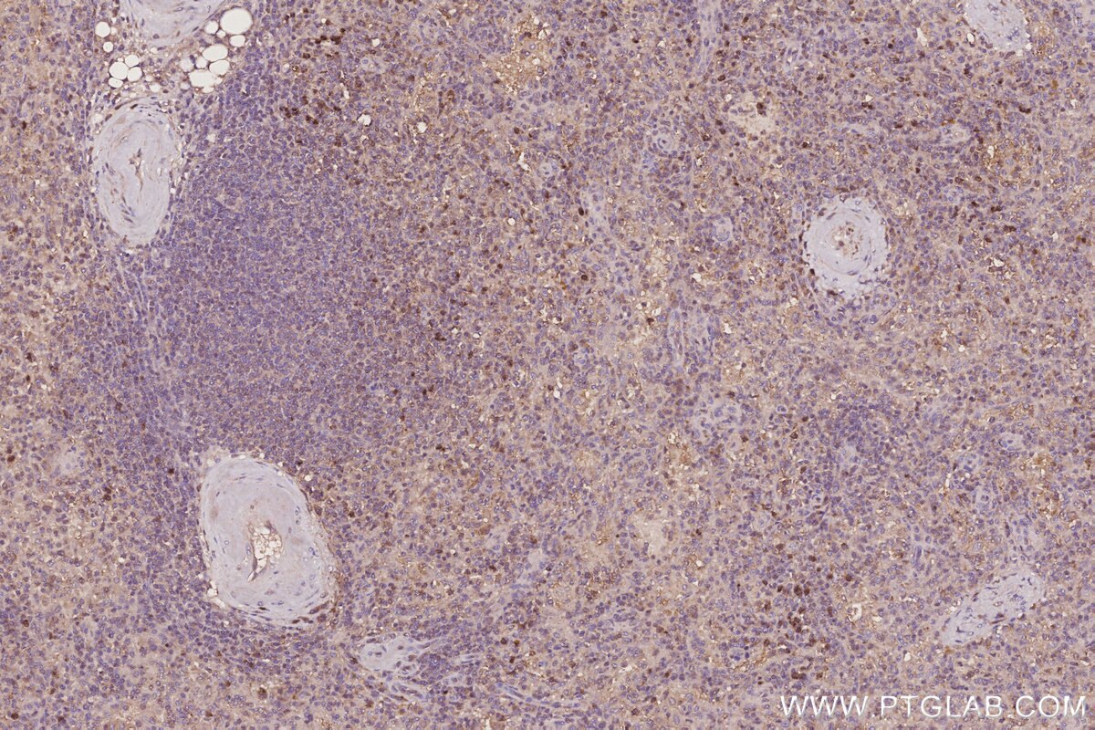
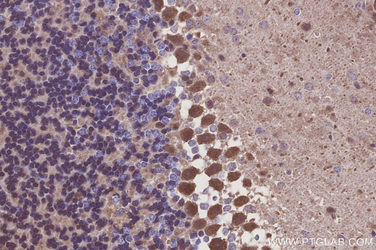
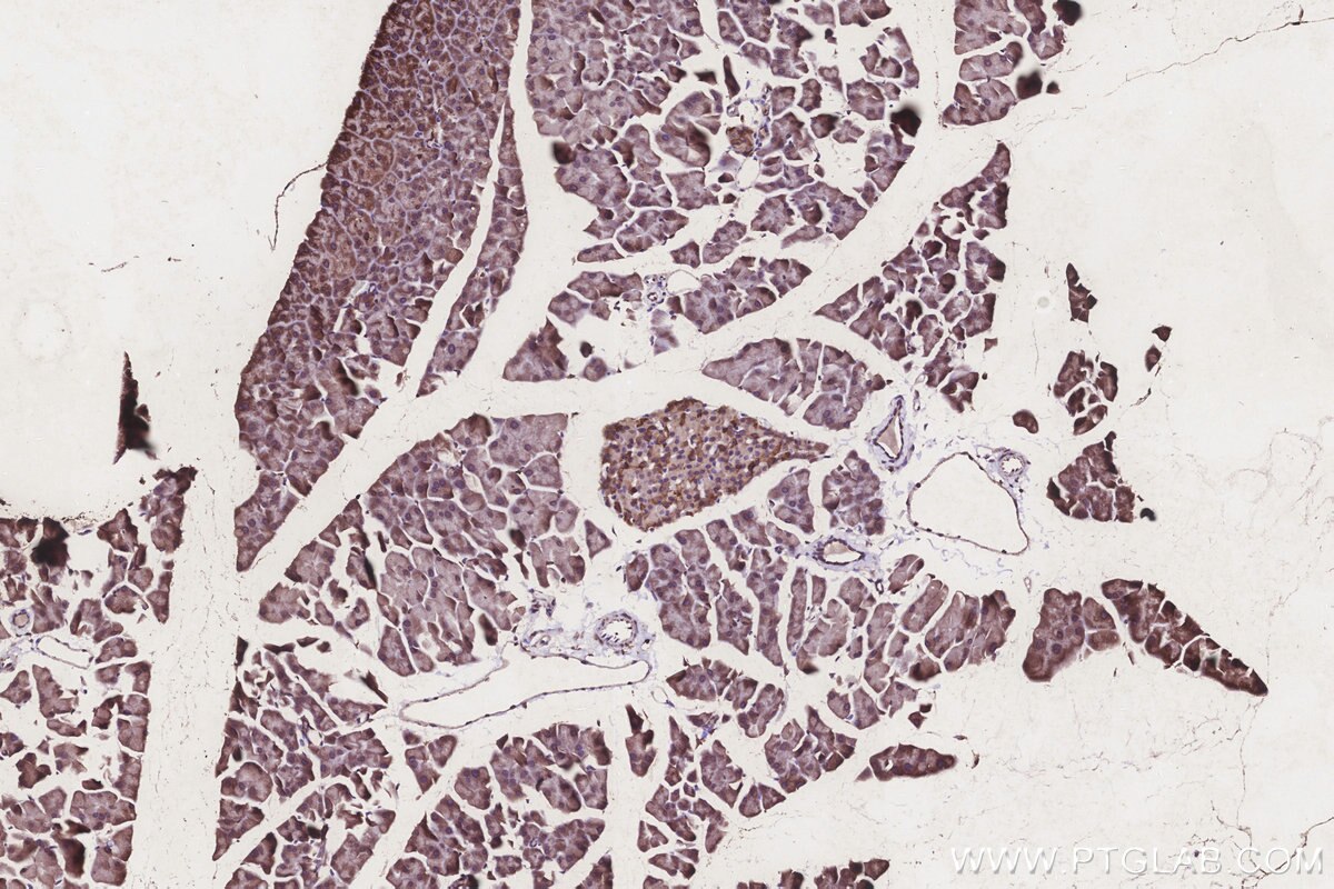
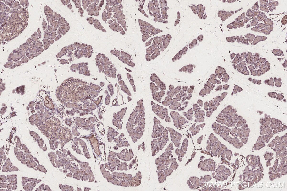
Validation Data Gallery
Product Information
KHC3250 is a ready-to-use IHC kit for staining of CLN3. The kit provides all reagents, from antigen retrieval to cover slip mounting, that require little to no diluting or handling prior to use. Simply apply the reagents to your sample slide according to the protocol and you're steps away from obtaining high-quality IHC data.
| Product name | IHCeasy® CLN3 Ready-To-Use IHC Kit |
| Sample type | FFPE tissue |
| Assay type | Immunohistochemistry |
| Primary antibody type | Rabbit Polyclonal |
| Secondary antibody type | Polymer-HRP-Goat anti-Rabbit |
| Reactivity | Human, Mouse, Rat |
Kit components
| Component | Size | Concentration |
|---|---|---|
| Antigen Retrieval Buffer | 100 mL | 50× |
| Washing Buffer | 100 mL ×2 | 20× |
| Blocking Buffer | 5 mL | RTU |
| Primary Antibody | 5 mL | RTU |
| Secondary Antibody | 5 mL | RTU |
| Chromogen Component A | 0.2 mL | RTU |
| Chromogen Component B | 4 mL | RTU |
| Signal Enhancer | 5 mL | RTU |
| Counter Staining Reagent | 5 mL | RTU |
| Mounting Media | 5 mL | RTU |
| Datasheet | 1 Copy | |
| Manual | 1 Copy |
Background Information
Neuronal ceroid lipofuscinosis (NCL, or Batten disease) refers to a group of lethal pediatric neurodegenerative diseases originating from mutations in one of the thus far identified 13 CLN genes (Ceroid Lipofuscinosis, Neuronal type; CLN1 to CLN14). CLN3 is a multi-membrane spanning protein that is involved in microtubule-dependent, anterograde transport of late endosomes and lysosomes. The CLN3 gene is located on chromosome 16p12.1and produces three mRNA splicing variants. It has been reported that CLN3 can be glycosylated and form homodimeric complex.
Properties
| Storage Instructions | All the reagents are stored at 2-8°C. The kit is stable for 6 months from the date of receipt. |
| Synonyms | Batten disease protein, BATTENIN, BTS, JNCL, Protein CLN3 |




