IHCeasy® CKMT1A Ready-To-Use IHC Kit
CKMT1A Ready-to-use reagent kit for IHC.
Reactivity
Human, Mouse, Rat
Sample Type
FFPE tissue
Cat no : KHC3181
Synonyms
Acidic-type mitochondrial creatine kinase, CKMiMi, CKMT, CKMT1, CKMT1B
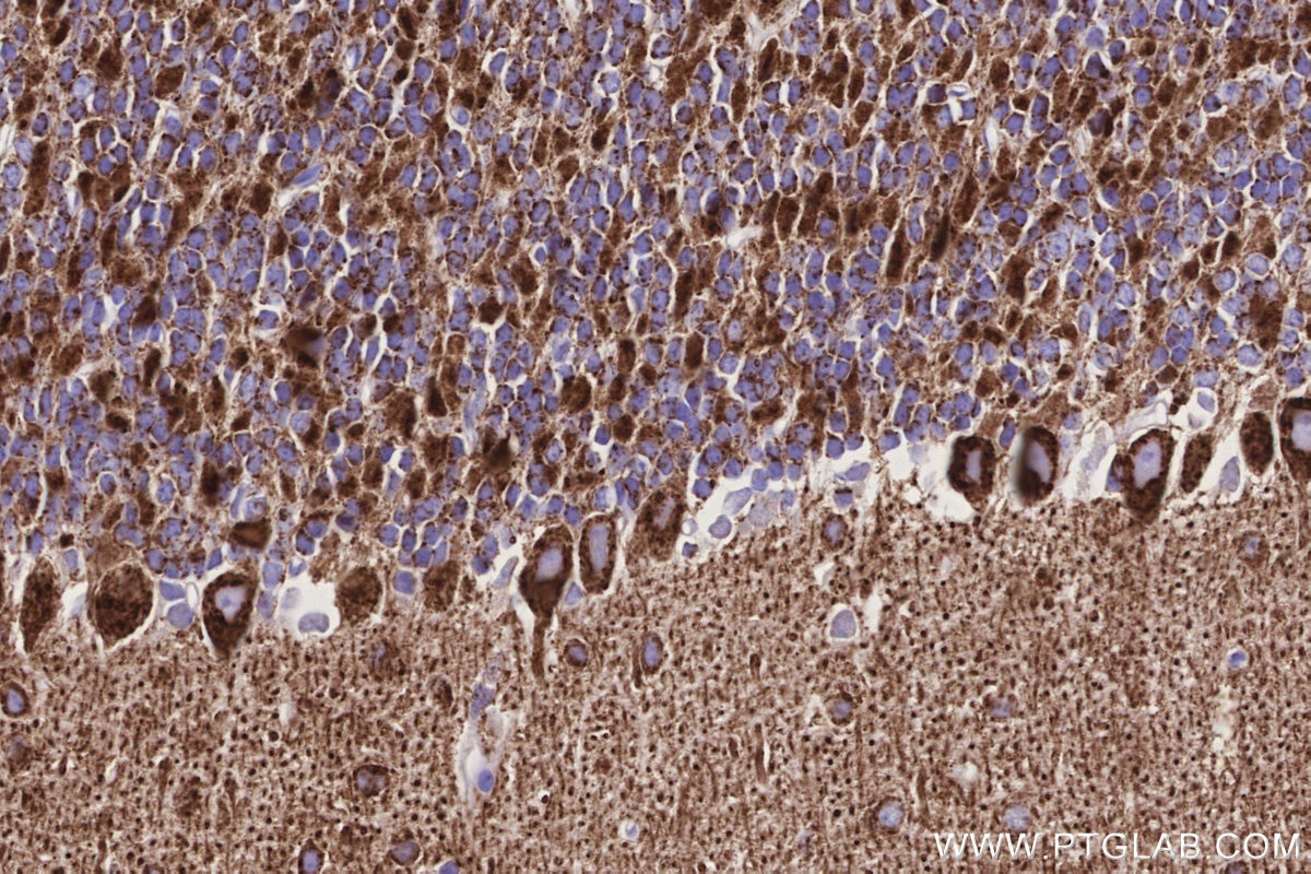
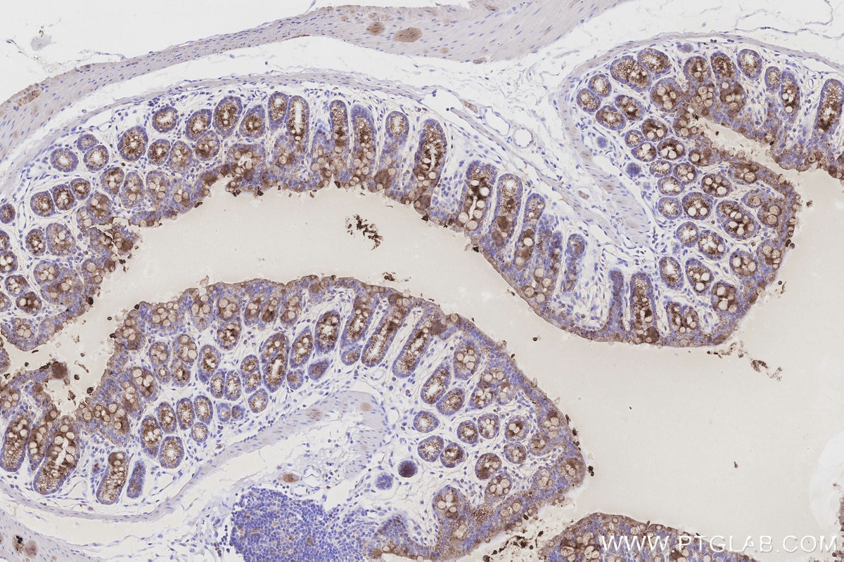
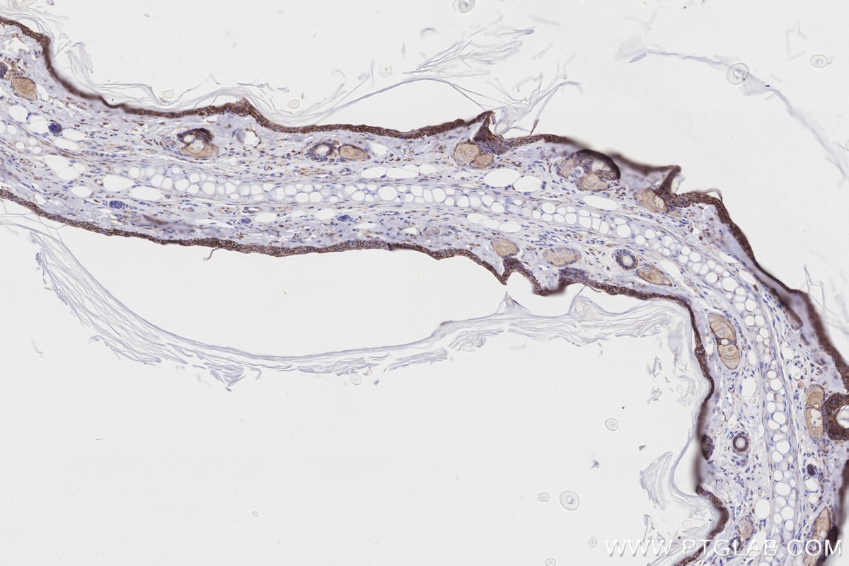
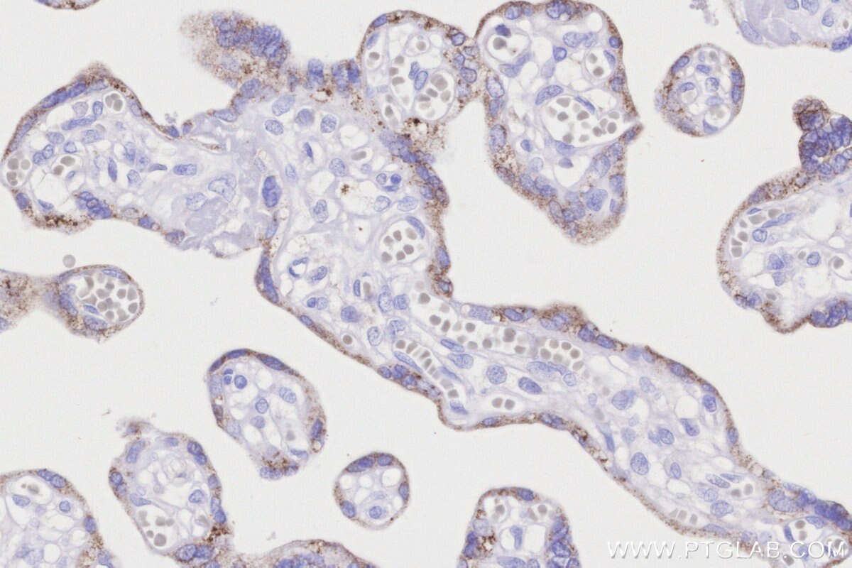
Validation Data Gallery
Product Information
KHC3181 is a ready-to-use IHC kit for staining of CKMT1A. The kit provides all reagents, from antigen retrieval to cover slip mounting, that require little to no diluting or handling prior to use. Simply apply the reagents to your sample slide according to the protocol and you're steps away from obtaining high-quality IHC data.
| Product name | IHCeasy® CKMT1A Ready-To-Use IHC Kit |
| Sample type | FFPE tissue |
| Assay type | Immunohistochemistry |
| Primary antibody type | Rabbit Polyclonal |
| Secondary antibody type | Polymer-HRP-Goat anti-Rabbit |
| Reactivity | Human, Mouse, Rat |
Kit components
| Component | Size | Concentration |
|---|---|---|
| Antigen Retrieval Buffer | 100 mL | 50× |
| Washing Buffer | 100 mL ×2 | 20× |
| Blocking Buffer | 5 mL | RTU |
| Primary Antibody | 5 mL | RTU |
| Secondary Antibody | 5 mL | RTU |
| Chromogen Component A | 0.2 mL | RTU |
| Chromogen Component B | 4 mL | RTU |
| Signal Enhancer | 5 mL | RTU |
| Counter Staining Reagent | 5 mL | RTU |
| Mounting Media | 5 mL | RTU |
| Datasheet | 1 Copy | |
| Manual | 1 Copy |
Background Information
CKMT1A(Creatine kinase U-type, mitochondrial) is also named CKMT and belongs to the ATP:guanido phosphotransferase family. CKMT1A is a nearly identical copy of the CKMT1B gene. Both genes encode an identical CKMT1 protein. It reversibly catalyzes the transfer of phosphate between ATP and various phosphates.
Properties
| Storage Instructions | All the reagents are stored at 2-8°C. The kit is stable for 6 months from the date of receipt. |
| Synonyms | Acidic-type mitochondrial creatine kinase, CKMiMi, CKMT, CKMT1, CKMT1B |




