IHCeasy® CIAPIN1 Ready-To-Use IHC Kit
CIAPIN1 Ready-to-use reagent kit for IHC.
Reactivity
Human, Mouse, Rat
Sample Type
FFPE tissue
Cat no : KHC3269
Synonyms
Anamorsin, CUA001, Cytokine-induced apoptosis inhibitor 1, DRE2, Fe-S cluster assembly protein DRE2 homolog
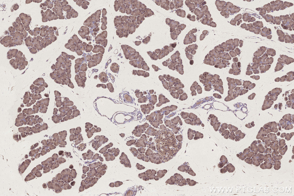
Validation Data Gallery
Product Information
KHC3269 is a ready-to-use IHC kit for staining of CIAPIN1. The kit provides all reagents, from antigen retrieval to cover slip mounting, that require little to no diluting or handling prior to use. Simply apply the reagents to your sample slide according to the protocol and you're steps away from obtaining high-quality IHC data.
| Product name | IHCeasy® CIAPIN1 Ready-To-Use IHC Kit |
| Sample type | FFPE tissue |
| Assay type | Immunohistochemistry |
| Primary antibody type | Mouse Monoclonal |
| Secondary antibody type | Polymer-HRP-Goat anti-Mouse |
| Reactivity | Human, Mouse, Rat |
Kit components
| Component | Size | Concentration |
|---|---|---|
| Antigen Retrieval Buffer | 100 mL | 50× |
| Washing Buffer | 100 mL ×2 | 20× |
| Blocking Buffer | 5 mL | RTU |
| Primary Antibody | 5 mL | RTU |
| Secondary Antibody | 5 mL | RTU |
| Chromogen Component A | 0.2 mL | RTU |
| Chromogen Component B | 4 mL | RTU |
| Signal Enhancer | 5 mL | RTU |
| Counter Staining Reagent | 5 mL | RTU |
| Mounting Media | 5 mL | RTU |
| Datasheet | 1 Copy | |
| Manual | 1 Copy |
Background Information
The cytokine-induced anti-apoptotic molecule (CIAPIN1, or DRE2) had been found to be a differentially-expressed gene involved in a variety of cancers, and it was also considered as a candidate tumor suppressor gene in gastric cancer, renal cancer and liver cancer. CIAPIN1 plays an important role in the differentiation of colorectal cancer (CRC) cells, and the differential expression of CIAPIN1 in CRC was closely related to prognosis. CIAPIN1 might play an important role in esophageal carcinogenesis, and it could be considered as a valuable prognostic indicator in esophageal squamous cell carcinoma (ESCC).
Properties
| Storage Instructions | All the reagents are stored at 2-8°C. The kit is stable for 6 months from the date of receipt. |
| Synonyms | Anamorsin, CUA001, Cytokine-induced apoptosis inhibitor 1, DRE2, Fe-S cluster assembly protein DRE2 homolog |





