IHCeasy® CDCA3 Ready-To-Use IHC Kit
CDCA3 Ready-to-use reagent kit for IHC.
Reactivity
Human
Sample Type
FFPE tissue
Cat no : KHC3112
Synonyms
C8, Cell division cycle-associated protein 3, Gene rich cluster protein C8, Gene-rich cluster protein C8, GRCC8
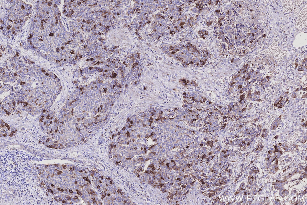
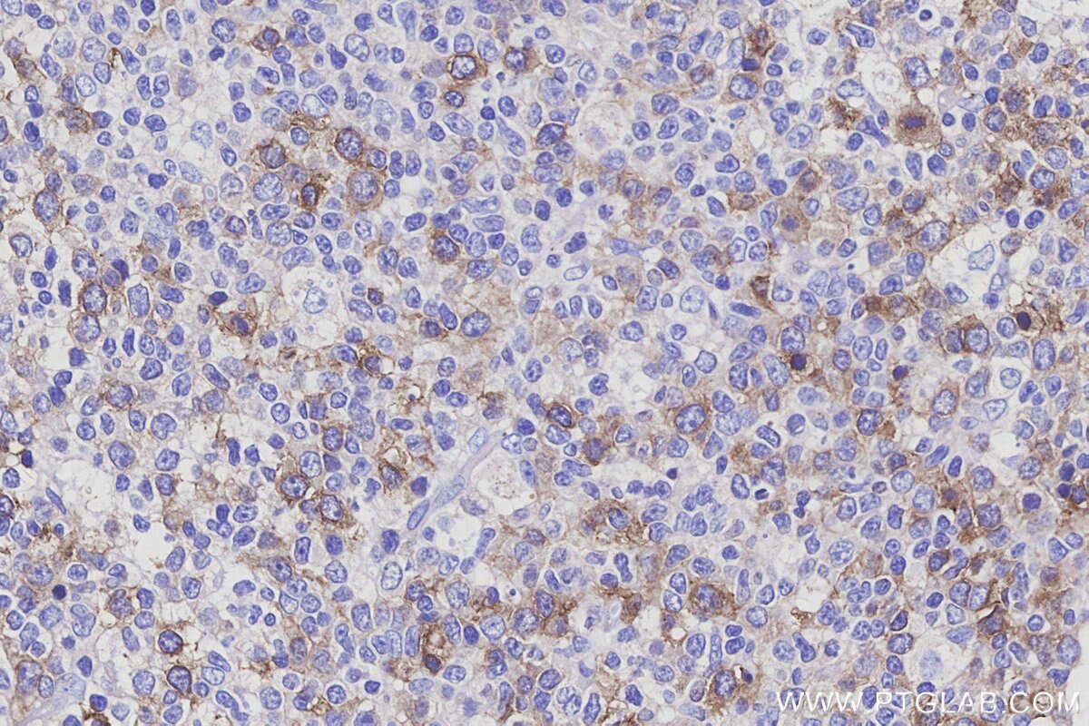
Validation Data Gallery
Product Information
KHC3112 is a ready-to-use IHC kit for staining of CDCA3. The kit provides all reagents, from antigen retrieval to cover slip mounting, that require little to no diluting or handling prior to use. Simply apply the reagents to your sample slide according to the protocol and you're steps away from obtaining high-quality IHC data.
| Product name | IHCeasy® CDCA3 Ready-To-Use IHC Kit |
| Sample type | FFPE tissue |
| Assay type | Immunohistochemistry |
| Primary antibody type | Rabbit Polyclonal |
| Secondary antibody type | Polymer-HRP-Goat anti-Rabbit |
| Reactivity | Human |
Kit components
| Component | Size | Concentration |
|---|---|---|
| Antigen Retrieval Buffer | 100 mL | 50× |
| Washing Buffer | 100 mL ×2 | 20× |
| Blocking Buffer | 5 mL | RTU |
| Primary Antibody | 5 mL | RTU |
| Secondary Antibody | 5 mL | RTU |
| Chromogen Component A | 0.2 mL | RTU |
| Chromogen Component B | 4 mL | RTU |
| Signal Enhancer | 5 mL | RTU |
| Counter Staining Reagent | 5 mL | RTU |
| Mounting Media | 5 mL | RTU |
| Datasheet | 1 Copy | |
| Manual | 1 Copy |
Background Information
CDCA3, also named C8, GRCC8, and TOME1, is an F-box-like protein required for entry into mitosis. It acts by participating in E3 ligase complexes that mediate the ubiquitination and degradation of WEE1 kinase at the G2/M phase.
Properties
| Storage Instructions | All the reagents are stored at 2-8°C. The kit is stable for 6 months from the date of receipt. |
| Synonyms | C8, Cell division cycle-associated protein 3, Gene rich cluster protein C8, Gene-rich cluster protein C8, GRCC8 |


